相关产品推荐更多 >
万千商家帮你免费找货
0 人在求购买到急需产品
- 详细信息
- 技术资料
- 抗体名:
MYH1 Rabbit Polyclonal Antibody抗体
- 抗体英文名:
MYH1 Rabbit Polyclonal Antibody
- 靶点:
MYH1
- 浓度:
1mg/ml
- 应用范围:
IF, IHC-Fr, IHC-P, WB
- 宿主:
Rabbit
- 适应物种:
Human, Mouse, Rat
- 保质期:
6-12个月
- 抗原来源:
详询
- 目录编号:
orb2563457
- 级别:
科研级
- 库存:
88
- 供应商:
biorbyt
- 标记物:
Unconjugated
- 克隆性:
Polyclonal
- 形态:
Liquid
- 亚型:
IgG
- 免疫原:
Recombinant human MYH1 protein (1-350/1939aa)
- 规格:
50 ul
产品描述:MYH1 Rabbit Polyclonal Antibody
别名:heavy chain Myosin; adult 1; MGC133384; Myh 1; Myh1; MYH1_HUMAN; Myosin heavy chain; Myosin heavy chain IIx/d; Myosin heavy chain skeletal muscle adult 1; Myosin light chain 1 alkali skeletal fast; Myosin-1; Myosin1; skeletal muscle; MYHa; MyHC-2x; MyHC-2X/D; MYHSA1; MYH1_HUMAN; MYL1; Myosin-1; Myosin heavy chain 1; Myosin heavy chain 2x; MyHC-2x; Myosin heavy chain IIx/d; MyHC-IIx/d; Myosin heavy chain, skeletal muscle, adult 1.
免疫原:Recombinant human MYH1 protein (1-350/1939aa)
预测反应性:Mouse, Rat
分子量:223 kDa
应用稀释比例:IHC-P=1:100-500, WB=1:500-2000, IHC-F=1:100-500, IF=1:100-500
防腐剂:0.01M TBS(pH7.4) with 1% rAlbumin, 0.02% Proclin300 and 50% Glycerol.
纯化:Affinity purified by Protein A
保存说明:Maintain refrigerated at 2-8°C for up to 2 weeks. For long term storage store at -20°C in small aliquots to prevent freeze-thaw cycles.
UniProt ID:P12882
Note:For research use only.








别名:heavy chain Myosin; adult 1; MGC133384; Myh 1; Myh1; MYH1_HUMAN; Myosin heavy chain; Myosin heavy chain IIx/d; Myosin heavy chain skeletal muscle adult 1; Myosin light chain 1 alkali skeletal fast; Myosin-1; Myosin1; skeletal muscle; MYHa; MyHC-2x; MyHC-2X/D; MYHSA1; MYH1_HUMAN; MYL1; Myosin-1; Myosin heavy chain 1; Myosin heavy chain 2x; MyHC-2x; Myosin heavy chain IIx/d; MyHC-IIx/d; Myosin heavy chain, skeletal muscle, adult 1.
免疫原:Recombinant human MYH1 protein (1-350/1939aa)
预测反应性:Mouse, Rat
分子量:223 kDa
应用稀释比例:IHC-P=1:100-500, WB=1:500-2000, IHC-F=1:100-500, IF=1:100-500
防腐剂:0.01M TBS(pH7.4) with 1% rAlbumin, 0.02% Proclin300 and 50% Glycerol.
纯化:Affinity purified by Protein A
保存说明:Maintain refrigerated at 2-8°C for up to 2 weeks. For long term storage store at -20°C in small aliquots to prevent freeze-thaw cycles.
UniProt ID:P12882
Note:For research use only.

Negative Sample: paraffin embedded (human brain), Antigen retrieval by boiling in sodium citrate buffer (pH6.0) for 15 min, paraffin embedded (human brain), Antigen retrieval by boiling in sodium citrate buffer (pH6.0) for 15 min, Block endogenous peroxidase by 3% hydrogen peroxide for 20 minutes, Blocking buffer (normal goat serum) at 37°C for 30 min, Incubation with (MYH1) Polyclonal Antibody, Unconjugated (orb2563457) at 1:400 overnight at 4°C, followed by operating according to SP Kit (Rabbit) instructionsand DAB staining.

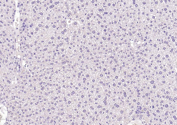
Negative Sample: Fixative-fixed, paraffin embedded (Mouse liver), Antigen retrieval by boiling in sodium citrate buffer (pH6.0) for 15 min, Fixative-fixed, paraffin embedded (Mouse liver), Antigen retrieval by boiling in sodium citrate buffer (pH6.0) for 15 min, Block endogenous peroxidase by 3% hydrogen peroxide for 20 minutes, Blocking buffer (normal goat serum) at 37°C for 30 min, Incubation with (MYH1) Polyclonal Antibody, Unconjugated (orb2563457) at 1:400 overnight at 4°C, followed by operating according to SP Kit (Rabbit) instructionsand DAB staining.

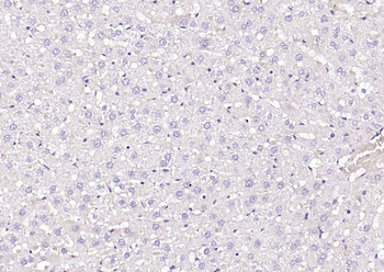
Negative Sample: Fixative-fixed, paraffin embedded (rat liver), Antigen retrieval by boiling in sodium citrate buffer (pH6.0) for 15 min, Fixative-fixed, paraffin embedded (rat liver), Antigen retrieval by boiling in sodium citrate buffer (pH6.0) for 15 min, Block endogenous peroxidase by 3% hydrogen peroxide for 20 minutes, Blocking buffer (normal goat serum) at 37°C for 30 min, Incubation with (MYH1) Polyclonal Antibody, Unconjugated (orb2563457) at 1:400 overnight at 4°C, followed by operating according to SP Kit (Rabbit) instructionsand DAB staining.

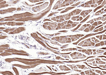
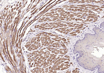
Fixative-fixed, paraffin embedded (human skeletal muscle), Antigen retrieval by boiling in sodium citrate buffer (pH6.0) for 15 min, Block endogenous peroxidase by 3% hydrogen peroxide for 20 minutes, Blocking buffer (normal goat serum) at 37°C for 30 min, Incubation with (MYH1) Polyclonal Antibody, Unconjugated (orb2563457) at 1:200 overnight at 4°C, followed by operating according to SP Kit (Rabbit) instructionsand DAB staining.

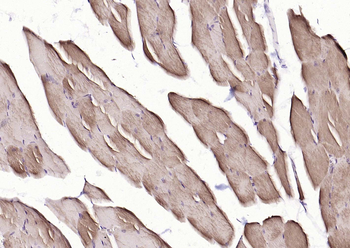
Fixative-fixed, paraffin embedded (Mouse skeletal muscle), Antigen retrieval by boiling in sodium citrate buffer (pH6.0) for 15 min, Block endogenous peroxidase by 3% hydrogen peroxide for 20 minutes, Blocking buffer (normal goat serum) at 37°C for 30 min, Incubation with (MYH1) Polyclonal Antibody, Unconjugated (orb2563457) at 1:400 overnight at 4°C, followed by operating according to SP Kit (Rabbit) instructionsand DAB staining.

Fixative-fixed, paraffin embedded (mouse tongue), Antigen retrieval by boiling in sodium citrate buffer (pH6.0) for 15 min, Block endogenous peroxidase by 3% hydrogen peroxide for 20 minutes, Blocking buffer (normal goat serum) at 37°C for 30 min, Incubation with (MYH1) Polyclonal Antibody, Unconjugated (orb2563457) at 1:200 overnight at 4°C, followed by operating according to SP Kit (Rabbit) instructionsand DAB staining.

Fixative-fixed, paraffin embedded (rat tongue), Antigen retrieval by boiling in sodium citrate buffer (pH6.0) for 15 min, Block endogenous peroxidase by 3% hydrogen peroxide for 20 minutes, Blocking buffer (normal goat serum) at 37°C for 30 min, Incubation with (MYH1) Polyclonal Antibody, Unconjugated (orb2563457) at 1:200 overnight at 4°C, followed by operating according to SP Kit (Rabbit) instructionsand DAB staining.

Sample: Lane 1: Recombinant human MYH1 protein, N-His (orb1974324), Primary: Anti-MYH1 (orb2563457) at 1/1000 dilution, Secondary: IRDye800CW Goat Anti-Rabbit IgG at 1/20000 dilution, Predicted band size: kDa, Observed band size: 44 kDa.
风险提示:丁香通仅作为第三方平台,为商家信息发布提供平台空间。用户咨询产品时请注意保护个人信息及财产安全,合理判断,谨慎选购商品,商家和用户对交易行为负责。对于医疗器械类产品,请先查证核实企业经营资质和医疗器械产品注册证情况。
技术资料暂无技术资料 索取技术资料
MYH1 Rabbit Polyclonal Antibody抗体,orb2563457,biorbyt
¥3120










