相关产品推荐更多 >
万千商家帮你免费找货
0 人在求购买到急需产品
- 详细信息
- 技术资料
- 抗体名:
S100A4 Mouse Monoclonal Antibody抗体
- 抗体英文名:
S100A4 Mouse Monoclonal Antibody
- 靶点:
S100A4
- 浓度:
1mg/ml
- 应用范围:
IF, IHC-Fr, IHC-P
- 宿主:
Mouse
- 适应物种:
Human
- 保质期:
6-12个月
- 抗原来源:
详询
- 目录编号:
orb2563143
- 级别:
科研级
- 库存:
88
- 供应商:
biorbyt
- 标记物:
Unconjugated
- 克隆性:
Monoclonal
- 形态:
Liquid
- 亚型:
IgG2a kappa
- 免疫原:
KLH conjugated synthetic peptide derived from human S100A4
- 规格:
50 ul
产品描述:S100A4 Mouse Monoclonal Antibody
别名:FSP1; FSP-1; FSP 1; 18A2; 42A; calcium Placental protein; Calcium protein; Calvasculin; CAPL; Fibroblast specific protein 1; FSP1; Leukemia multidrug resistance associated protein; Malignant transformation suppression 1; Metastasin; MTS1; Mts1 protein; Murine placental homolog; OTTHUMP00000015467; OTTHUMP00000015468; P9KA; PEL98; Placental calcium binding protein; Placental calcium-binding protein; Protein Mts1; Protein S100 A4; Protein S100-A4; S100 calcium binding protein A4(calcium protein, calvasculin, metastasin, murine placental homolog); S100 calcium binding protein A4; S100 calcium-binding protein A4; S100a4; S10A4_HUMAN
免疫原:KLH conjugated synthetic peptide derived from human S100A4
克隆性:9E12
分子量:12 kDa
应用稀释比例:IHC-P=1:50-200, IHC-F=1:50-200, IF=1:50-200
防腐剂:0.01M TBS(pH7.4) with 1% rAlbumin, 0.02% Proclin300 and 50% Glycerol.
纯化:Affinity purified by Protein G
保存说明:Maintain refrigerated at 2-8°C for up to 2 weeks. For long term storage store at -20°C in small aliquots to prevent freeze-thaw cycles.
UniProt ID:P26447
Note:For research use only.








别名:FSP1; FSP-1; FSP 1; 18A2; 42A; calcium Placental protein; Calcium protein; Calvasculin; CAPL; Fibroblast specific protein 1; FSP1; Leukemia multidrug resistance associated protein; Malignant transformation suppression 1; Metastasin; MTS1; Mts1 protein; Murine placental homolog; OTTHUMP00000015467; OTTHUMP00000015468; P9KA; PEL98; Placental calcium binding protein; Placental calcium-binding protein; Protein Mts1; Protein S100 A4; Protein S100-A4; S100 calcium binding protein A4(calcium protein, calvasculin, metastasin, murine placental homolog); S100 calcium binding protein A4; S100 calcium-binding protein A4; S100a4; S10A4_HUMAN
免疫原:KLH conjugated synthetic peptide derived from human S100A4
克隆性:9E12
分子量:12 kDa
应用稀释比例:IHC-P=1:50-200, IHC-F=1:50-200, IF=1:50-200
防腐剂:0.01M TBS(pH7.4) with 1% rAlbumin, 0.02% Proclin300 and 50% Glycerol.
纯化:Affinity purified by Protein G
保存说明:Maintain refrigerated at 2-8°C for up to 2 weeks. For long term storage store at -20°C in small aliquots to prevent freeze-thaw cycles.
UniProt ID:P26447
Note:For research use only.

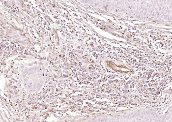
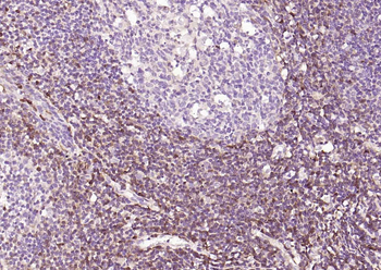
paraffin embedded (human cervical carcinoma), Antigen retrieval by boiling in sodium citrate buffer (pH6.0) for 15 min, Block endogenous peroxidase by 3% hydrogen peroxide for 20 minutes, Blocking buffer (normal goat serum) at 37°C for 30 min, Incubation with (S100A4) Monoclonal Antibody, Unconjugated (orb2563143) at 1:100 overnight at 4°C, followed by operating according to SP Kit (Mouse) instructionsand DAB staining.

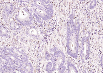
Fixative-fixed, paraffin embedded (human colon carcinoma), Antigen retrieval by boiling in sodium citrate buffer (pH6.0) for 15 min, Block endogenous peroxidase by 3% hydrogen peroxide for 20 minutes, Blocking buffer (normal goat serum) at 37°C for 30 min, Incubation with (S100A4) Monoclonal Antibody, Unconjugated (orb2563143) at 1:100 overnight at 4°C, followed by operating according to SP Kit (Mouse) instructionsand DAB staining.

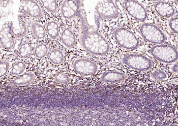
Fixative-fixed, paraffin embedded (human colon), Antigen retrieval by boiling in sodium citrate buffer (pH6.0) for 15 min, Block endogenous peroxidase by 3% hydrogen peroxide for 20 minutes, Blocking buffer (normal goat serum) at 37°C for 30 min, Incubation with (S100A4) Monoclonal Antibody, Unconjugated (orb2563143) at 1:100 overnight at 4°C, followed by operating according to SP Kit (Mouse) instructionsand DAB staining.

Fixative-fixed, paraffin embedded (human gastric carcinoma), Antigen retrieval by boiling in sodium citrate buffer (pH6.0) for 15 min, Block endogenous peroxidase by 3% hydrogen peroxide for 20 minutes, Blocking buffer (normal goat serum) at 37°C for 30 min, Incubation with (S100A4) Monoclonal Antibody, Unconjugated (orb2563143) at 1:100 overnight at 4°C, followed by operating according to SP Kit (Mouse) instructionsand DAB staining.

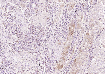
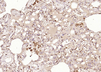
Fixative-fixed, paraffin embedded (human lung carcinoma), Antigen retrieval by boiling in sodium citrate buffer (pH6.0) for 15 min, Block endogenous peroxidase by 3% hydrogen peroxide for 20 minutes, Blocking buffer (normal goat serum) at 37°C for 30 min, Incubation with (S100A4) Monoclonal Antibody, Unconjugated (orb2563143) at 1:100 overnight at 4°C, followed by operating according to SP Kit (Mouse) instructionsand DAB staining.

Fixative-fixed, paraffin embedded (human lung), Antigen retrieval by boiling in sodium citrate buffer (pH6.0) for 15 min, Block endogenous peroxidase by 3% hydrogen peroxide for 20 minutes, Blocking buffer (normal goat serum) at 37°C for 30 min, Incubation with (S100A4) Monoclonal Antibody, Unconjugated (orb2563143) at 1:100 overnight at 4°C, followed by operating according to SP Kit (Mouse) instructionsand DAB staining.

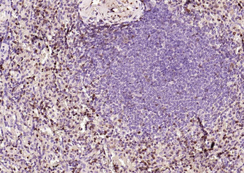
Fixative-fixed, paraffin embedded (human spleen), Antigen retrieval by boiling in sodium citrate buffer (pH6.0) for 15 min, Block endogenous peroxidase by 3% hydrogen peroxide for 20 minutes, Blocking buffer (normal goat serum) at 37°C for 30 min, Incubation with (S100A4) Monoclonal Antibody, Unconjugated (orb2563143) at 1:100 overnight at 4°C, followed by operating according to SP Kit (Mouse) instructionsand DAB staining.

Fixative-fixed, paraffin embedded (human tonsil), Antigen retrieval by boiling in sodium citrate buffer (pH6.0) for 15 min, Block endogenous peroxidase by 3% hydrogen peroxide for 20 minutes, Blocking buffer (normal goat serum) at 37°C for 30 min, Incubation with (S100A4) Monoclonal Antibody, Unconjugated (orb2563143) at 1:100 overnight at 4°C, followed by operating according to SP Kit (Mouse) instructionsand DAB staining.
风险提示:丁香通仅作为第三方平台,为商家信息发布提供平台空间。用户咨询产品时请注意保护个人信息及财产安全,合理判断,谨慎选购商品,商家和用户对交易行为负责。对于医疗器械类产品,请先查证核实企业经营资质和医疗器械产品注册证情况。
技术资料暂无技术资料 索取技术资料
S100A4 Mouse Monoclonal Antibody抗体,orb2563143,biorbyt
¥4160










