相关产品推荐更多 >
万千商家帮你免费找货
0 人在求购买到急需产品
- 详细信息
- 文献和实验
- 技术资料
- 抗体名:
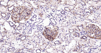
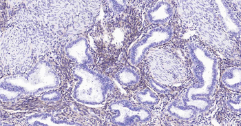
PDGF Receptor beta Recombinant Rabbit Monoclonal Antibody抗体
- 抗体英文名:
PDGF Receptor beta Recombinant Rabbit Monoclonal Antibody
- 靶点:
PDGFRB
- 应用范围:
IF, IHC-Fr, IHC-P, WB
- 宿主:
Rabbit
- 适应物种:
Human, Mouse, Rat
- 保质期:
6-12个月
- 抗原来源:
详询
- 目录编号:
orb2563055
- 级别:
科研级
- 库存:
88
- 供应商:
biorbyt
- 标记物:
Unconjugated
- 克隆性:
Recombinant
- 形态:
Liquid
- 亚型:
IgG
- 免疫原:
A synthesized peptide derived from human PDGFR beta (1051-1106aa)
- 规格:
25 ul
别名:Platelet-derived growth factor receptor beta; CD140B; beta platelet derived growth factor receptor; beta-type platelet-derived growth factor receptor; CD 140B; CD140 antigen-like family member B; CD140B; CD140b antigen; JTK12; OTTHUMP00000160528; PDGF R beta; PDGF-R-beta; PDGFR; PDGFR1; PDGFRB; PGFRB_HUMAN; Platelet derived growth factor receptor beta polypeptide; PDGF Receptor beta; beta-type platelet-derived growth factor receptor precursor;
免疫原:A synthesized peptide derived from human PDGFR beta (1051-1106aa)
预测反应性:Mouse, Rat
克隆性:3A3
分子量:118 kDa
应用稀释比例:WB=1:1000-5000, IHC-P=1:200-800, IF=1:200-800, IHC-F=1:200-800
防腐剂:0.01M TBS(pH7.4) with 1% rAlbumin, 0.02% Proclin300 and 50% Glycerol.
纯化:Affinity purified by Protein A
保存说明:Maintain refrigerated at 2-8°C for up to 2 weeks. For long term storage store at -20°C in small aliquots to prevent freeze-thaw cycles.
UniProt ID:P09619
Note:For research use only.




风险提示:丁香通仅作为第三方平台,为商家信息发布提供平台空间。用户咨询产品时请注意保护个人信息及财产安全,合理判断,谨慎选购商品,商家和用户对交易行为负责。对于医疗器械类产品,请先查证核实企业经营资质和医疗器械产品注册证情况。
文献和实验v468. chapter 4 WNT 细胞通路 检测细胞GSK3活性与表达水平
and has high inherent activity but is inhibited by activation of Wnt signalling oractivation of growth factor receptor tyrosine kinases (e.g. insulin, nerve growth factor [NGF], plateletderivedgrowth factor [PDGF], etc.). The degree of inhibition of GSK
v468.Chapter 3 分泌型跨膜相关蛋白提纯及Wnt抑制活性
). 9. Secondary antibody to use with goat polyclonal reagent: donkeyanti-goat IgG-horseradish peroxidase (HRP) (sc-2056;Santa Cruz Biotechnology). 10. Secondary antibody to use with rabbit polyclonal reagent: donkey anti-rabbit IgG-HRP (#NA934V, GE
PriCells: Introduction of Isolation and Culture of Human Alveolar Epithelial Cells
above. The epitope of some antibodies is not yet identified, an example being the rat type I cell-specific antibody, VIIIB2. Type I cells are also reported to express carbopeptidase membrane-bound enzyme (CP-M), intercellular adhesion molecule-1 (ICAM-1), &beta
技术资料暂无技术资料 索取技术资料










