相关产品推荐更多 >
万千商家帮你免费找货
0 人在求购买到急需产品
- 详细信息
- 技术资料
- 抗体名:
ATP1B1 Recombinant Rabbit Monoclonal Antibody抗体
- 抗体英文名:
ATP1B1 Recombinant Rabbit Monoclonal Antibody
- 靶点:
ATP1B1
- 浓度:
1mg/ml
- 应用范围:
IF, IHC-Fr, IHC-P
- 宿主:
Rabbit
- 适应物种:
Human, Mouse, Rat
- 保质期:
6-12个月
- 抗原来源:
详询
- 目录编号:
orb2563037
- 级别:
科研级
- 库存:
88
- 供应商:
biorbyt
- 标记物:
Unconjugated
- 克隆性:
Recombinant
- 形态:
Liquid
- 亚型:
IgG
- 免疫原:
A synthesized peptide derived from human ATP1B1 (261-303aa)
- 规格:
25 ul
产品描述:ATP1B1 Recombinant Rabbit Monoclonal Antibody
别名:beta 1 Sodium Potassium ATPase; Adenosinetriphosphatase; AT1B1_HUMAN; ATP 1B; ATP1B; ATP1B1; ATPase Na+/K+transporting beta 1 polypeptide; Atpb 1; ATPBS; beta 1 subunit of Na(+) K(+) ATPase; Na K ATPase beta 1 polypeptide; Na+/K+ATPase beta 1 subunit; Sodium/potassium dependent ATPase beta 1 subunit; Sodium/potassium transporting ATPase beta 1 chain; Sodium/potassium transporting ATPase subunit beta 1; Sodium/potassium-dependent ATPase subunit beta-1; Sodium/potassium-transporting ATPase subunit beta-1.
免疫原:A synthesized peptide derived from human ATP1B1 (261-303aa)
预测反应性:Mouse, Rat
克隆性:2B9
分子量:35 kDa
应用稀释比例:IHC-P=1:50-200, IF=1:50-200, IHC-F=1:50-200
防腐剂:0.01M TBS(pH7.4) with 1% rAlbumin, 0.02% Proclin300 and 50% Glycerol.
纯化:Affinity purified by Protein A
保存说明:Maintain refrigerated at 2-8°C for up to 2 weeks. For long term storage store at -20°C in small aliquots to prevent freeze-thaw cycles.
UniProt ID:P05026
Note:For research use only.
别名:beta 1 Sodium Potassium ATPase; Adenosinetriphosphatase; AT1B1_HUMAN; ATP 1B; ATP1B; ATP1B1; ATPase Na+/K+transporting beta 1 polypeptide; Atpb 1; ATPBS; beta 1 subunit of Na(+) K(+) ATPase; Na K ATPase beta 1 polypeptide; Na+/K+ATPase beta 1 subunit; Sodium/potassium dependent ATPase beta 1 subunit; Sodium/potassium transporting ATPase beta 1 chain; Sodium/potassium transporting ATPase subunit beta 1; Sodium/potassium-dependent ATPase subunit beta-1; Sodium/potassium-transporting ATPase subunit beta-1.
免疫原:A synthesized peptide derived from human ATP1B1 (261-303aa)
预测反应性:Mouse, Rat
克隆性:2B9
分子量:35 kDa
应用稀释比例:IHC-P=1:50-200, IF=1:50-200, IHC-F=1:50-200
防腐剂:0.01M TBS(pH7.4) with 1% rAlbumin, 0.02% Proclin300 and 50% Glycerol.
纯化:Affinity purified by Protein A
保存说明:Maintain refrigerated at 2-8°C for up to 2 weeks. For long term storage store at -20°C in small aliquots to prevent freeze-thaw cycles.
UniProt ID:P05026
Note:For research use only.
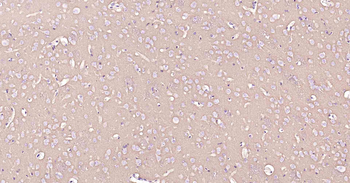
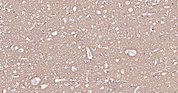
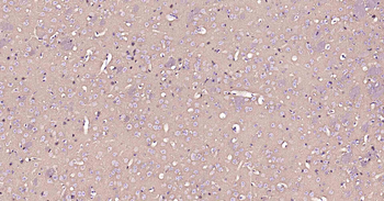
paraffin embedded Human Cerebrum, Antigen retrieval by boiling in sodium citrate buffer (pH6.0) for 15 min, Antibody incubation with ATP1B1 Monoclonal Antibody, Unconjugated (orb2563037) at 1:100 overnight at 4°C, followed by conjugation to the SP Kit (Rabbit) and DAB staining.
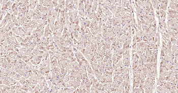
Fixative-fixed, paraffin embedded Human Heart, Antigen retrieval by boiling in sodium citrate buffer (pH6.0) for 15 min, Antibody incubation with ATP1B1 Monoclonal Antibody, Unconjugated (orb2563037) at 1:100 overnight at 4°C, followed by conjugation to the SP Kit (Rabbit) and DAB staining.
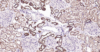
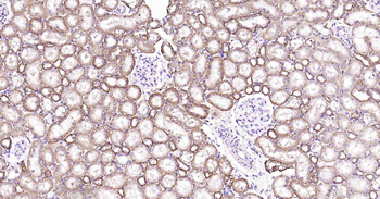
Fixative-fixed, paraffin embedded Human Kidney, Antigen retrieval by boiling in sodium citrate buffer (pH6.0) for 15 min, Antibody incubation with ATP1B1 Monoclonal Antibody, Unconjugated (orb2563037) at 1:100 overnight at 4°C, followed by conjugation to the SP Kit (Rabbit) and DAB staining.
Fixative-fixed, paraffin embedded Human Liver, Antigen retrieval by boiling in sodium citrate buffer (pH6.0) for 15 min, Antibody incubation with ATP1B1 Monoclonal Antibody, Unconjugated (orb2563037) at 1:100 overnight at 4°C, followed by conjugation to the SP Kit (Rabbit) and DAB staining.
Fixative-fixed, paraffin embedded Mouse Cerebrum, Antigen retrieval by boiling in sodium citrate buffer (pH6.0) for 15 min, Antibody incubation with ATP1B1 Monoclonal Antibody, Unconjugated (orb2563037) at 1:100 overnight at 4°C, followed by conjugation to the SP Kit (Rabbit) and DAB staining.
Fixative-fixed, paraffin embedded Mouse Heart, Antigen retrieval by boiling in sodium citrate buffer (pH6.0) for 15 min, Antibody incubation with ATP1B1 Monoclonal Antibody, Unconjugated (orb2563037) at 1:100 overnight at 4°C, followed by conjugation to the SP Kit (Rabbit) and DAB staining.
Fixative-fixed, paraffin embedded Mouse Kidney, Antigen retrieval by boiling in sodium citrate buffer (pH6.0) for 15 min, Antibody incubation with ATP1B1 Monoclonal Antibody, Unconjugated (orb2563037) at 1:100 overnight at 4°C, followed by conjugation to the SP Kit (Rabbit) and DAB staining.
Fixative-fixed, paraffin embedded Rat Cerebrum, Antigen retrieval by boiling in sodium citrate buffer (pH6.0) for 15 min, Antibody incubation with ATP1B1 Monoclonal Antibody, Unconjugated (orb2563037) at 1:100 overnight at 4°C, followed by conjugation to the SP Kit (Rabbit) and DAB staining.
Fixative-fixed, paraffin embedded Rat Heart, Antigen retrieval by boiling in sodium citrate buffer (pH6.0) for 15 min, Antibody incubation with ATP1B1 Monoclonal Antibody, Unconjugated (orb2563037) at 1:100 overnight at 4°C, followed by conjugation to the SP Kit (Rabbit) and DAB staining.
Fixative-fixed, paraffin embedded Rat Kidney, Antigen retrieval by boiling in sodium citrate buffer (pH6.0) for 15 min, Antibody incubation with ATP1B1 Monoclonal Antibody, Unconjugated (orb2563037) at 1:100 overnight at 4°C, followed by conjugation to the SP Kit (Rabbit) and DAB staining.
风险提示:丁香通仅作为第三方平台,为商家信息发布提供平台空间。用户咨询产品时请注意保护个人信息及财产安全,合理判断,谨慎选购商品,商家和用户对交易行为负责。对于医疗器械类产品,请先查证核实企业经营资质和医疗器械产品注册证情况。
技术资料暂无技术资料 索取技术资料
ATP1B1 Recombinant Rabbit Monoclonal Antibody抗体,orb2563037,biorbyt
¥2210









