相关产品推荐更多 >
万千商家帮你免费找货
0 人在求购买到急需产品
- 详细信息
- 技术资料
- 抗体名:
PIK3R3 Recombinant Rabbit Monoclonal Antibody抗体
- 抗体英文名:
PIK3R3 Recombinant Rabbit Monoclonal Antibody
- 靶点:
PIK3R3
- 应用范围:
IF, IHC-Fr, IHC-P, WB
- 宿主:
Rabbit
- 适应物种:
Human, Mouse, Rat
- 保质期:
6-12个月
- 抗原来源:
详询
- 目录编号:
orb2563033
- 级别:
科研级
- 库存:
88
- 供应商:
biorbyt
- 标记物:
Unconjugated
- 克隆性:
Recombinant
- 形态:
Liquid
- 亚型:
IgG
- 免疫原:
A synthesized peptide derived from human PI3 kinase p55 gamma (412-461/461aa)
- 规格:
25 ul
产品描述:PIK3R3 Recombinant Rabbit Monoclonal Antibody
别名:P55G_HUMAN; Phosphatidylinositol 3-kinase regulatory subunit gamma; PI3-kinase regulatory subunit gamma; PI3K regulatory subunit gamma; PtdIns-3-kinase regulatory subunit gamma; Phosphatidylinositol 3-kinase 55 kDa regulatory subunit gamma; PI3-kinase subunit p55-gamma; PtdIns-3-kinase regulatory subunit p55-gamma; p55PIK; p55; p55-GAMMA; phosphoinositide-3-kinase, regulatory subunit 3(gamma); PI 3 Kinase p55 gamma.
免疫原:A synthesized peptide derived from human PI3 kinase p55 gamma (412-461/461aa)
预测反应性:Mouse, Rat
克隆性:19C18
分子量:54 kDa
应用稀释比例:WB=1:500-2000, IHC-P=1:100-500, IHC-F=1:100-500, IF=1:100-500
防腐剂:0.01M TBS(pH7.4) with 1% rAlbumin, 0.02% Proclin300 and 50% Glycerol.
纯化:Affinity purified by Protein A
保存说明:Maintain refrigerated at 2-8°C for up to 2 weeks. For long term storage store at -20°C in small aliquots to prevent freeze-thaw cycles.
Note:For research use only.





别名:P55G_HUMAN; Phosphatidylinositol 3-kinase regulatory subunit gamma; PI3-kinase regulatory subunit gamma; PI3K regulatory subunit gamma; PtdIns-3-kinase regulatory subunit gamma; Phosphatidylinositol 3-kinase 55 kDa regulatory subunit gamma; PI3-kinase subunit p55-gamma; PtdIns-3-kinase regulatory subunit p55-gamma; p55PIK; p55; p55-GAMMA; phosphoinositide-3-kinase, regulatory subunit 3(gamma); PI 3 Kinase p55 gamma.
免疫原:A synthesized peptide derived from human PI3 kinase p55 gamma (412-461/461aa)
预测反应性:Mouse, Rat
克隆性:19C18
分子量:54 kDa
应用稀释比例:WB=1:500-2000, IHC-P=1:100-500, IHC-F=1:100-500, IF=1:100-500
防腐剂:0.01M TBS(pH7.4) with 1% rAlbumin, 0.02% Proclin300 and 50% Glycerol.
纯化:Affinity purified by Protein A
保存说明:Maintain refrigerated at 2-8°C for up to 2 weeks. For long term storage store at -20°C in small aliquots to prevent freeze-thaw cycles.
Note:For research use only.

25 ug total protein per lane of various lysates probed with PIK3R3 monoclonal antibody, unconjugated (orb2563033) at 1:2000 dilution and 4°C overnight incubation. Followed by conjugated secondary antibody incubation at r.t. for 60 min.

Fixative-fixed, paraffin embedded Human Cerebrum, Antigen retrieval by boiling in sodium citrate buffer (pH6.0) for 15 min, Antibody incubation with PIK3R3 Monoclonal Antibody, Unconjugated (orb2563033) at 1:200 overnight at 4°C, followed by conjugation to the SP Kit (Rabbit) and DAB staining.

Fixative-fixed, paraffin embedded Human Kidney, Antigen retrieval by boiling in sodium citrate buffer (pH6.0) for 15 min, Antibody incubation with PIK3R3 Monoclonal Antibody, Unconjugated (orb2563033) at 1:200 overnight at 4°C, followed by conjugation to the SP Kit (Rabbit) and DAB staining.

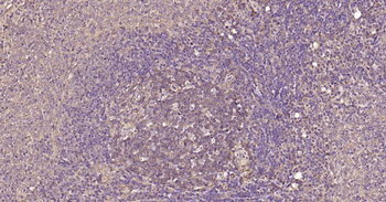
Fixative-fixed, paraffin embedded Mouse Spleen, Antigen retrieval by boiling in sodium citrate buffer (pH6.0) for 15 min, Antibody incubation with PIK3R3 Monoclonal Antibody, Unconjugated (orb2563033) at 1:200 overnight at 4°C, followed by conjugation to the SP Kit (Rabbit) and DAB staining.

Fixative-fixed, paraffin embedded Rat Spleen, Antigen retrieval by boiling in sodium citrate buffer (pH6.0) for 15 min, Antibody incubation with PIK3R3 Monoclonal Antibody, Unconjugated (orb2563033) at 1:200 overnight at 4°C, followed by conjugation to the SP Kit (Rabbit) and DAB staining.
风险提示:丁香通仅作为第三方平台,为商家信息发布提供平台空间。用户咨询产品时请注意保护个人信息及财产安全,合理判断,谨慎选购商品,商家和用户对交易行为负责。对于医疗器械类产品,请先查证核实企业经营资质和医疗器械产品注册证情况。
技术资料暂无技术资料 索取技术资料
PIK3R3 Recombinant Rabbit Monoclonal Antibody抗体,orb2563033,biorbyt
¥2210









![NDUFA5 antibody [N1C3]抗体,orb556724,biorbyt](https://img1.dxycdn.com/p/s14/2025/1204/381/8001351760443146991.jpg!wh200)
