相关产品推荐更多 >
万千商家帮你免费找货
0 人在求购买到急需产品
- 详细信息
- 技术资料
- 抗体名:
ACK1 Antibody (N-term)抗体
- 抗体英文名:
ACK1 Antibody (N-term)
- 靶点:
TNK2
- 应用范围:
FC, IHC-P, WB
- 宿主:
Rabbit
- 适应物种:
Human
- 保质期:
6-12个月
- 抗原来源:
详询
- 目录编号:
orb38403
- 级别:
科研级
- 库存:
88
- 供应商:
biorbyt
- 标记物:
Unconjugated
- 克隆性:
Polyclonal
- 保存条件:
参考说明书
- 形态:
Purified polyclonal antibody supplied in PBS with 0.09% (W/V) sodium azide. This antibody is prepared by Saturated Ammonium Sulfate (SAS) precipitation followed by dialysis against PBS.
- 亚型:
Rabbit IgG
- 免疫原:
Synthetic Peptide
- 规格:
80 ul
产品描述:Rabbit polyclonal antibody to ACK1
别名:anti-Acetate kinase 1 antibody, anti- Acetokinase 1 antibody, anti- ACK 1 antibody, anti- ACK antibody, anti- ACK-1 antibody, anti- ACK1 antibody, anti- ACK1_HUMAN antibody, anti- Activated Cdc42 associated kinase 1 antibody, anti- Activated CDC42 kinase 1 antibody, anti- Activated p21cdc42Hs kinase antibody, anti- FLJ44758 antibody, anti- FLJ45547 antibody, anti- p21cdc42Hs antibody, anti- TNK 2 antibody, anti- TNK2 antibody, anti- Tyrosine kinase non receptor 2 antibody, anti- Tyrosine kinase non receptor protein 2 antibody, anti- Tyrosine kinase non-receptor protein 2 antibody
免疫原:Synthetic Peptide
克隆性:RB15601
分子量:114569
应用稀释比例:WB: 1:1000, IHC-P: 1:50-100, FACS: 1:10-50
保存说明:Maintain refrigerated at 2-8°C for up to 2 weeks. For long term storage store at -20°C in small aliquots to prevent freeze-thaw cycles
NCBI:NP_001010938.1, NP_005772.3
UniProt ID:Q07912
Note:For research use only.




别名:anti-Acetate kinase 1 antibody, anti- Acetokinase 1 antibody, anti- ACK 1 antibody, anti- ACK antibody, anti- ACK-1 antibody, anti- ACK1 antibody, anti- ACK1_HUMAN antibody, anti- Activated Cdc42 associated kinase 1 antibody, anti- Activated CDC42 kinase 1 antibody, anti- Activated p21cdc42Hs kinase antibody, anti- FLJ44758 antibody, anti- FLJ45547 antibody, anti- p21cdc42Hs antibody, anti- TNK 2 antibody, anti- TNK2 antibody, anti- Tyrosine kinase non receptor 2 antibody, anti- Tyrosine kinase non receptor protein 2 antibody, anti- Tyrosine kinase non-receptor protein 2 antibody
免疫原:Synthetic Peptide
克隆性:RB15601
分子量:114569
应用稀释比例:WB: 1:1000, IHC-P: 1:50-100, FACS: 1:10-50
保存说明:Maintain refrigerated at 2-8°C for up to 2 weeks. For long term storage store at -20°C in small aliquots to prevent freeze-thaw cycles
NCBI:NP_001010938.1, NP_005772.3
UniProt ID:Q07912
Note:For research use only.

Western blot analysis of ACK1 Antibody (N-term) in K562 cell line lysates (35 ug/lane). ACK1 (arrow) was detected using the purified Pab.

Flow cytometric analysis of NCI-H292 cells using ACK1 Antibody (N-term) (bottom histogram) compared to a negative control cell (top histogram). FITC-conjugated goat-anti-rabbit secondary antibodies were used for the analysis.

Western blot analysis of ACK1 (arrow) using rabbit polyclonal ACK1 Antibody (N-term). 293 cell lysates (2 ug/lane) either nontransfected (Lane 1) or transiently transfected with the ACK1 gene (Lane 2) (60 KD recombinant protein).

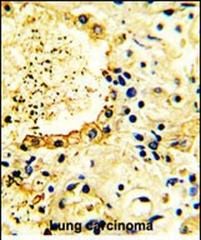
Formalin-fixed and paraffin-embedded human Lung carcinoma reacted with ACK1 Antibody (N-term), which was peroxidase-conjugated to the secondary antibody, followed by DAB staining. This data demonstrates the use of this antibody for immunohistochemistry; clinical relevance has not been evaluated.
风险提示:丁香通仅作为第三方平台,为商家信息发布提供平台空间。用户咨询产品时请注意保护个人信息及财产安全,合理判断,谨慎选购商品,商家和用户对交易行为负责。对于医疗器械类产品,请先查证核实企业经营资质和医疗器械产品注册证情况。
技术资料暂无技术资料 索取技术资料
ACK1 Antibody (N-term)抗体,orb38403,biorbyt
¥3900









