相关产品推荐更多 >
万千商家帮你免费找货
0 人在求购买到急需产品
- 详细信息
- 技术资料
- 抗体名:
EIF4E Antibody (N-term)抗体
- 抗体英文名:
EIF4E Antibody (N-term)
- 靶点:
EIF4E
- 应用范围:
IHC-P, WB
- 宿主:
Rabbit
- 适应物种:
Human
- 保质期:
6-12个月
- 抗原来源:
详询
- 目录编号:
orb33520
- 级别:
科研级
- 库存:
88
- 供应商:
biorbyt
- 标记物:
Unconjugated
- 克隆性:
Polyclonal
- 保存条件:
参考说明书
- 形态:
Purified polyclonal antibody supplied in PBS with 0.09% (W/V) sodium azide. This antibody is prepared by Saturated Ammonium Sulfate (SAS) precipitation followed by dialysis against PBS.
- 亚型:
Rabbit IgG
- 免疫原:
Synthetic Peptide
- 规格:
80 ul
产品描述:Purified rabbit polyclonal antibody.
别名:Anti-Eukaryotic translation initiation factor 4E antibody, anti-eIF4E antibody, anti-eIF-4E antibody, anti-mRNA cap-binding protein antibody, anti-eIF-4F 25 kDa subunit antibody, anti-EIF4EL1 antibody, anti-EIF4F antibody
免疫原:Synthetic Peptide
预测反应性:Mouse, Other, Rabbit, Rat, Zebrafish
克隆性:RB11725
分子量:25097
应用稀释比例:WB: 1:1000, IHC-P: 1:50-100
保存说明:Maintain refrigerated at 2-8°C for up to 2 weeks. For long term storage store at -20°C in small aliquots to prevent freeze-thaw cycles
NCBI:NP_001124150.1, NP_001959.1, NP_001124151.1
UniProt ID:P06730
Note:For research use only.


别名:Anti-Eukaryotic translation initiation factor 4E antibody, anti-eIF4E antibody, anti-eIF-4E antibody, anti-mRNA cap-binding protein antibody, anti-eIF-4F 25 kDa subunit antibody, anti-EIF4EL1 antibody, anti-EIF4F antibody
免疫原:Synthetic Peptide
预测反应性:Mouse, Other, Rabbit, Rat, Zebrafish
克隆性:RB11725
分子量:25097
应用稀释比例:WB: 1:1000, IHC-P: 1:50-100
保存说明:Maintain refrigerated at 2-8°C for up to 2 weeks. For long term storage store at -20°C in small aliquots to prevent freeze-thaw cycles
NCBI:NP_001124150.1, NP_001959.1, NP_001124151.1
UniProt ID:P06730
Note:For research use only.

Western blot analysis of anti-EIF4E Antibody (N-term) Pab in HL60 cell line lysates. EIF4E Antibody (N-term) (arrow) was detected using the purified Pab.

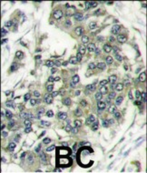
Formalin-fixed and paraffin-embedded human breast carcinoma reacted with EIF4E antibody (N-term), which was peroxidase-conjugated to the secondary antibody, followed by DAB staining. This data demonstrates the use of this antibody for immunohistochemistry; clinical relevance has not been evaluated.
风险提示:丁香通仅作为第三方平台,为商家信息发布提供平台空间。用户咨询产品时请注意保护个人信息及财产安全,合理判断,谨慎选购商品,商家和用户对交易行为负责。对于医疗器械类产品,请先查证核实企业经营资质和医疗器械产品注册证情况。
技术资料暂无技术资料 索取技术资料
EIF4E Antibody (N-term)抗体,orb33520,biorbyt
¥3900










