相关产品推荐更多 >
万千商家帮你免费找货
0 人在求购买到急需产品
- 详细信息
- 技术资料
- 抗体名:
BIRC2 Antibody (Center)抗体
- 抗体英文名:
BIRC2 Antibody (Center)
- 靶点:
BIRC2
- 应用范围:
IHC-P, WB
- 宿主:
Rabbit
- 适应物种:
Human
- 保质期:
6-12个月
- 抗原来源:
详询
- 目录编号:
orb32566
- 级别:
科研级
- 库存:
88
- 供应商:
biorbyt
- 标记物:
Unconjugated
- 克隆性:
Polyclonal
- 保存条件:
参考说明书
- 形态:
Purified polyclonal antibody supplied in PBS with 0.09% (W/V) sodium azide. This antibody is purified through a protein A column, followed by peptide affinity purification.
- 亚型:
Rabbit IgG
- 免疫原:
Synthetic Peptide
- 规格:
80 ul
产品描述:Peptide affinity purified rabbit polyclonal antibody.
别名:Anti-Baculoviral IAP repeat-containing protein 2 antibody, anti-BIRC2 antibody, anti-API1 antibody, anti-IAP2 antibody, anti-MIHB antibody, anti-RNF48 antibody
免疫原:Synthetic Peptide
预测反应性:Mouse
克隆性:RB34387
分子量:69900
应用稀释比例:WB: 1:1000, IHC-P: 1:10-50
保存说明:Maintain refrigerated at 2-8°C for up to 2 weeks. For long term storage store at -20°C in small aliquots to prevent freeze-thaw cycles
NCBI:NP_001157.1, NP_001243095.1, NP_001243092.1
UniProt ID:Q13490
Note:For research use only.


别名:Anti-Baculoviral IAP repeat-containing protein 2 antibody, anti-BIRC2 antibody, anti-API1 antibody, anti-IAP2 antibody, anti-MIHB antibody, anti-RNF48 antibody
免疫原:Synthetic Peptide
预测反应性:Mouse
克隆性:RB34387
分子量:69900
应用稀释比例:WB: 1:1000, IHC-P: 1:10-50
保存说明:Maintain refrigerated at 2-8°C for up to 2 weeks. For long term storage store at -20°C in small aliquots to prevent freeze-thaw cycles
NCBI:NP_001157.1, NP_001243095.1, NP_001243092.1
UniProt ID:Q13490
Note:For research use only.

BIRC2 Antibody (Center) western blot analysis in MDA-MB231 cell line lysates (35 ug/lane). This demonstrates the BIRC2 antibody detected the BIRC2 protein (arrow).

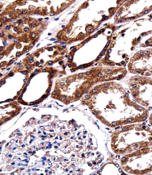
BIRC2 Antibody (Center) immunohistochemistry analysis in formalin fixed and paraffin embedded human kidney tissue followed by peroxidase conjugation of the secondary antibody and DAB staining.This data demonstrates the use of BIRC2 Antibody (Center) for immunohistochemistry. Clinical relevance has not been evaluated.
风险提示:丁香通仅作为第三方平台,为商家信息发布提供平台空间。用户咨询产品时请注意保护个人信息及财产安全,合理判断,谨慎选购商品,商家和用户对交易行为负责。对于医疗器械类产品,请先查证核实企业经营资质和医疗器械产品注册证情况。
技术资料暂无技术资料 索取技术资料
BIRC2 Antibody (Center)抗体,orb32566,biorbyt
¥3900










