相关产品推荐更多 >
万千商家帮你免费找货
0 人在求购买到急需产品
- 详细信息
- 技术资料
- 抗体名:
KCNV1 Antibody (N-term)抗体
- 抗体英文名:
KCNV1 Antibody (N-term)
- 靶点:
KCNV1
- 应用范围:
FC, IHC-P, WB
- 宿主:
Rabbit
- 适应物种:
Human, Mouse
- 保质期:
6-12个月
- 抗原来源:
详询
- 目录编号:
orb36076
- 级别:
科研级
- 库存:
88
- 供应商:
biorbyt
- 标记物:
Unconjugated
- 克隆性:
Polyclonal
- 形态:
Purified polyclonal antibody supplied in PBS with 0.09% (W/V) sodium azide. This antibody is purified through a protein A column, followed by peptide affinity purification.
- 亚型:
Rabbit IgG
- 免疫原:
Synthetic Peptide
- 规格:
80 ul
产品描述:Peptide affinity purified rabbit polyclonal antibody.
别名:Anti-Potassium voltage-gated channel subfamily V member 1 antibody, anti-KCNV1 antibody
免疫原:Synthetic Peptide
预测反应性:Rat
克隆性:RB27324
分子量:56304
应用稀释比例:WB: 1:1000, IHC-P: 1:50-100, FACS: 1:10-50
保存说明:Maintain refrigerated at 2-8°C for up to 2 weeks. For long term storage store at -20°C in small aliquots to prevent freeze-thaw cycles
NCBI:NP_055194.1
UniProt ID:Q6PIU1
Note:For research use only.



别名:Anti-Potassium voltage-gated channel subfamily V member 1 antibody, anti-KCNV1 antibody
免疫原:Synthetic Peptide
预测反应性:Rat
克隆性:RB27324
分子量:56304
应用稀释比例:WB: 1:1000, IHC-P: 1:50-100, FACS: 1:10-50
保存说明:Maintain refrigerated at 2-8°C for up to 2 weeks. For long term storage store at -20°C in small aliquots to prevent freeze-thaw cycles
NCBI:NP_055194.1
UniProt ID:Q6PIU1
Note:For research use only.

KCNV1 Antibody (N-term) western blot analysis in mouse heart tissue lysates (15ug/lane). This demonstrates the KCNV1 antibody detected KCNV1 protein (arrow).

KCNV1 Antibody (N-term) flow cytometric analysis of CEM cells (right histogram) compared to a negative control cell (left histogram). FITC-conjugated goat-anti-rabbit secondary antibodies were used for the analysis.

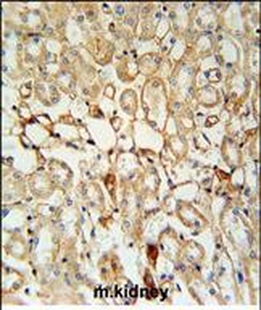
KCNV1 Antibody (N-term) immunohistochemistry analysis in formalin fixed and paraffin embedded mouse kidney tissue followed by peroxidase conjugation of the secondary antibody and DAB staining. This data demonstrates the use of the KCNV1 Antibody (N-term) for immunohistochemistry. Clinical relevance has not been evaluated.
风险提示:丁香通仅作为第三方平台,为商家信息发布提供平台空间。用户咨询产品时请注意保护个人信息及财产安全,合理判断,谨慎选购商品,商家和用户对交易行为负责。对于医疗器械类产品,请先查证核实企业经营资质和医疗器械产品注册证情况。
技术资料暂无技术资料 索取技术资料
KCNV1 Antibody (N-term)抗体,orb36076,biorbyt
¥3900










