相关产品推荐更多 >
万千商家帮你免费找货
0 人在求购买到急需产品
- 详细信息
- 技术资料
- 抗体名:
ITPA Antibody抗体
- 抗体英文名:
ITPA Antibody
- 靶点:
ITPA
- 应用范围:
ELISA, IF, IHC, IP, WB
- 宿主:
Rabbit
- 适应物种:
Human, Mouse, Rat
- 保质期:
6-12个月
- 抗原来源:
详询
- 目录编号:
orb628148
- 级别:
科研级
- 库存:
88
- 供应商:
biorbyt
- 标记物:
Unconjugated
- 克隆性:
Polyclonal
- 形态:
liquid
- 亚型:
IgG
- 免疫原:
inosine triphosphatase(nucleoside triphosphate pyrophosphatase)
- 规格:
50 ug
产品描述:Rabbit polyclonal antibody to ITPA
别名:C20orf37
免疫原:inosine triphosphatase(nucleoside triphosphate pyrophosphatase)
分子量:22 kDa
应用稀释比例:WB: 1:500-1:2000; IP: 1:200-1:1000; IHC: 1:20-1:200; IF: 1:20-1:200
纯度:≥95% as determined by SDS-PAGE
纯化:Immunogen affinity purified
保存说明:Maintain refrigerated at 2-8°C for up to 2 weeks. For long term storage store at -20°C in small aliquots to prevent freeze-thaw cycles.
UniProt ID:Q9BY32
Note:For research use only.



别名:C20orf37
免疫原:inosine triphosphatase(nucleoside triphosphate pyrophosphatase)
分子量:22 kDa
应用稀释比例:WB: 1:500-1:2000; IP: 1:200-1:1000; IHC: 1:20-1:200; IF: 1:20-1:200
纯度:≥95% as determined by SDS-PAGE
纯化:Immunogen affinity purified
保存说明:Maintain refrigerated at 2-8°C for up to 2 weeks. For long term storage store at -20°C in small aliquots to prevent freeze-thaw cycles.
UniProt ID:Q9BY32
Note:For research use only.

K-562 cells were subjected to SDS PAGE followed by western blot with orb628148 (ITPA antibody) at dilution of 1:1000.

IP Result of anti-ITPA (IP: orb628148, 4 ug; Detection: orb628148 1:1000) with mouse liver tissue lysate 4000 ug.

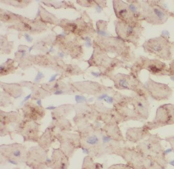
Immunohistochemistry of paraffin-embedded human heart tissue slide using orb628148 (ITPA Antibody) at dilution of 1:50.
风险提示:丁香通仅作为第三方平台,为商家信息发布提供平台空间。用户咨询产品时请注意保护个人信息及财产安全,合理判断,谨慎选购商品,商家和用户对交易行为负责。对于医疗器械类产品,请先查证核实企业经营资质和医疗器械产品注册证情况。
技术资料暂无技术资料 索取技术资料
ITPA Antibody抗体,orb628148,biorbyt
¥2860









