相关产品推荐更多 >
万千商家帮你免费找货
0 人在求购买到急需产品
- 详细信息
- 技术资料
- 抗体名:
Galectin 3 Mouse Monoclonal Antibody抗体
- 抗体英文名:
Galectin 3 Mouse Monoclonal Antibody
- 靶点:
LGALS3
- 浓度:
1mg/ml
- 应用范围:
ICC, WB
- 宿主:
Mouse
- 适应物种:
Human
- 保质期:
6-12个月
- 抗原来源:
详询
- 目录编号:
orb526490
- 级别:
科研级
- 库存:
88
- 供应商:
biorbyt
- 标记物:
Unconjugated
- 克隆性:
Monoclonal
- 形态:
Liquid
- 亚型:
IgG
- 免疫原:
Recombinant human Galectin-3 full length protein
- 规格:
50 ul
产品描述:Galectin 3 Mouse Monoclonal Antibody
别名:LEG3_HUMAN; Galectin-3; LGALS3; Gal-3; 35 kDa lectin; Carbohydrate-binding protein 35; CBP 35; CBP35; Galactose-specific lectin 3; Galactoside-binding protein ; GALBP; IgE-binding protein; L-31; Laminin-binding protein; Lectin L-29; Mac-2 antigen; MAC2; galectin 3; L31; GAL3; GALIG;
免疫原:Recombinant human Galectin-3 full length protein
克隆性:8A2
分子量:29 kDa
应用稀释比例:WB=1:500-2000, ICC/IF=1:100-500
防腐剂:0.01M TBS (pH7.4) with 1% rAlbumin, 0.02% Proclin300 and 50% Glycerol.
纯化:Affinity purified by Protein G
保存说明:Maintain refrigerated at 2-8°C for up to 2 weeks. For long term storage store at -20°C in small aliquots to prevent freeze-thaw cycles.
UniProt ID:P17931
Note:For research use only.






别名:LEG3_HUMAN; Galectin-3; LGALS3; Gal-3; 35 kDa lectin; Carbohydrate-binding protein 35; CBP 35; CBP35; Galactose-specific lectin 3; Galactoside-binding protein ; GALBP; IgE-binding protein; L-31; Laminin-binding protein; Lectin L-29; Mac-2 antigen; MAC2; galectin 3; L31; GAL3; GALIG;
免疫原:Recombinant human Galectin-3 full length protein
克隆性:8A2
分子量:29 kDa
应用稀释比例:WB=1:500-2000, ICC/IF=1:100-500
防腐剂:0.01M TBS (pH7.4) with 1% rAlbumin, 0.02% Proclin300 and 50% Glycerol.
纯化:Affinity purified by Protein G
保存说明:Maintain refrigerated at 2-8°C for up to 2 weeks. For long term storage store at -20°C in small aliquots to prevent freeze-thaw cycles.
UniProt ID:P17931
Note:For research use only.

paraffin embedded (Human brain glioma), Antigen retrieval by boiling in sodium citrate buffer (pH6.0) for 15 min, Block endogenous peroxidase by 3% hydrogen peroxide for 20 minutes, Blocking buffer (normal goat serum) at 37°C for 30 min, Antibody incubation with (Galectin 3) Monoclonal Antibody, Unconjugated (ascites of orb526490 8A2 Galectin 3) at 1:2000 overnight at 4°C, followed by a conjugated secondary for 20 minutes and DAB staining.

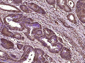
Fixative-fixed, paraffin embedded (Human colon cancer), Antigen retrieval by boiling in sodium citrate buffer (pH6.0) for 15 min, Block endogenous peroxidase by 3% hydrogen peroxide for 20 minutes, Blocking buffer (normal goat serum) at 37°C for 30 min, Antibody incubation with (Galectin 3) Monoclonal Antibody, Unconjugated (ascites of orb526490 8A2) at 1:2000 overnight at 4°C, followed by a conjugated secondary for 20 minutes and DAB staining.

Fixative-fixed, paraffin embedded (Human pancreatic cancer), Antigen retrieval by boiling in sodium citrate buffer (pH6.0) for 15 min, Block endogenous peroxidase by 3% hydrogen peroxide for 20 minutes, Blocking buffer (normal goat serum) at 37°C for 30 min, Antibody incubation with (Galectin 3) Monoclonal Antibody, Unconjugated (ascites of orb526490 8A2) at 1:2000 overnight at 4°C, followed by a conjugated secondary for 20 minutes and DAB staining.

Sample: A431 (Human) Cell Lysate at 30 ug, Primary: Anti-Galectin 3 (orb526490) at 1/1000 dilution, Secondary: IRDye800CW Goat Anti-Rabbit IgG at 1/20000 dilution, Predicted band size: 29 kD, Observed band size: 29 kD.

Sample: MCF-7 (Human) Cell Lysate at 30 ug, SW480 (Human) Cell Lysate at 30 ug, Primary: Anti-Galectin 3 (orb526490) at 1/1000 dilution, Secondary: IRDye800CW Goat Anti-Rabbit IgG at 1/20000 dilution, Predicted band size: 29 kD, Observed band size: 29 kD.

Sample: Siha (Human) Cell Lysate at 30 ug, A431 (Human) Cell Lysate at 30 ug, MCF-7 (Human) Cell Lysate at 30 ug, U251 (Mouse) Cell Lysate at 30 ug, Primary: Anti-Galectin 3 (orb526490) at 1/1000 dilution, Secondary: IRDye800CW Goat Anti-Mouse IgG at 1/20000 dilution, Predicted band size: 29 kD, Observed band size: 29 kD.
风险提示:丁香通仅作为第三方平台,为商家信息发布提供平台空间。用户咨询产品时请注意保护个人信息及财产安全,合理判断,谨慎选购商品,商家和用户对交易行为负责。对于医疗器械类产品,请先查证核实企业经营资质和医疗器械产品注册证情况。
技术资料暂无技术资料 索取技术资料
Galectin 3 Mouse Monoclonal Antibody抗体,orb526490,biorbyt
¥3120










