相关产品推荐更多 >
万千商家帮你免费找货
0 人在求购买到急需产品
- 详细信息
- 技术资料
- 抗体名:
CD45 Mouse Monoclonal Antibody抗体
- 抗体英文名:
CD45 Mouse Monoclonal Antibody
- 靶点:
PTPRC
- 浓度:
1mg/ml
- 应用范围:
FC, WB
- 宿主:
Mouse
- 适应物种:
Human
- 保质期:
6-12个月
- 抗原来源:
详询
- 目录编号:
orb500902
- 级别:
科研级
- 库存:
88
- 供应商:
biorbyt
- 标记物:
Unconjugated
- 克隆性:
Monoclonal
- 形态:
Liquid
- 亚型:
IgG1
- 免疫原:
Recombinant human CD45
- 规格:
50 ul
产品描述:CD45 Mouse Monoclonal Antibody
别名:B220; CD 45; CD-45; CD45; cd45 antigen; ec3.1.3.48; CD45R; GP180; GP180; GP 180; L CA; LCA; L-CA; Leukocyte common antigen; LY5; Ly-5 glycoprotein; Protein tyrosine phosphatase receptor type C; Protein tyrosine phosphatase receptor type c polypeptide; protein tyrosine phosphatase, receptor type, C; Receptor-type tyrosine-protein phosphatase C; PTPRC; PTPRC_HUMAN; SCID due to PTPRC deficiency; T200; T200 glycoprotein; T200 leukocyte common antigen; Human homolog of severe combined immunodeficiency due to PTPRC deficiency.
免疫原:Recombinant human CD45
克隆性:14A9
分子量:143 kDa
应用稀释比例:WB=1:500-1000, Flow-Cyt=0.5ug/Test
防腐剂:0.01M TBS (pH7.4) with 1% rAlbumin, 0.02% Proclin300 and 50% Glycerol.
纯化:Affinity purified by Protein G
保存说明:Maintain refrigerated at 2-8°C for up to 2 weeks. For long term storage store at -20°C in small aliquots to prevent freeze-thaw cycles.
UniProt ID:P08575
Note:For research use only.






别名:B220; CD 45; CD-45; CD45; cd45 antigen; ec3.1.3.48; CD45R; GP180; GP180; GP 180; L CA; LCA; L-CA; Leukocyte common antigen; LY5; Ly-5 glycoprotein; Protein tyrosine phosphatase receptor type C; Protein tyrosine phosphatase receptor type c polypeptide; protein tyrosine phosphatase, receptor type, C; Receptor-type tyrosine-protein phosphatase C; PTPRC; PTPRC_HUMAN; SCID due to PTPRC deficiency; T200; T200 glycoprotein; T200 leukocyte common antigen; Human homolog of severe combined immunodeficiency due to PTPRC deficiency.
免疫原:Recombinant human CD45
克隆性:14A9
分子量:143 kDa
应用稀释比例:WB=1:500-1000, Flow-Cyt=0.5ug/Test
防腐剂:0.01M TBS (pH7.4) with 1% rAlbumin, 0.02% Proclin300 and 50% Glycerol.
纯化:Affinity purified by Protein G
保存说明:Maintain refrigerated at 2-8°C for up to 2 weeks. For long term storage store at -20°C in small aliquots to prevent freeze-thaw cycles.
UniProt ID:P08575
Note:For research use only.

Blank control: U937. Primary Antibody (green line): Mouse Anti-CD45 antibody (orb500902), dilution: 1:50, Secondary Antibody: Goat anti-mouse IgG-FITC, dilution: 0.5 ug/Test. Protocol, The cells were incubated in 5% BSA to block non-specific protein-protein interactions for 30 min at room temperature. Cells stained with Primary Antibody for 30 min at room temperature. The secondary antibody used for 40 min at room temperature. Acquisition of 20000 events was performed.

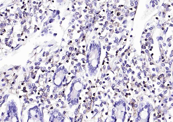
Fixative-fixed, paraffin embedded (human colon), Antigen retrieval by boiling in sodium citrate buffer (pH6.0) for 15 min, Block endogenous peroxidase by 3% hydrogen peroxide for 20 minutes, Blocking buffer (normal goat serum) at 37°C for 30 min, Antibody incubation with (CD45) Monoclonal Antibody, Unconjugated (orb500902) at 1:200 overnight at 4°C, followed by operating according to SP Kit (Mouse) instructionsand DAB staining.

Fixative-fixed, paraffin embedded (Human duodenum), Antigen retrieval by boiling in sodium citrate buffer (pH6.0) for 15 min, Block endogenous peroxidase by 3% hydrogen peroxide for 20 minutes, Blocking buffer (normal goat serum) at 37°C for 30 min, Antibody incubation with (CD45) Monoclonal Antibody, Unconjugated (orb500902) at 1:200 overnight at 4°C, followed by operating according to SP Kit (Mouse) instructionsand DAB staining.

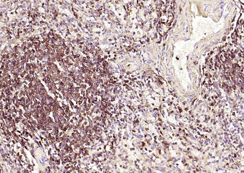
Fixative-fixed, paraffin embedded (human spleen), Antigen retrieval by boiling in sodium citrate buffer (pH6.0) for 15 min, Block endogenous peroxidase by 3% hydrogen peroxide for 20 minutes, Blocking buffer (normal goat serum) at 37°C for 30 min, Antibody incubation with (CD45) Monoclonal Antibody, Unconjugated (orb500902) at 1:200 overnight at 4°C, followed by operating according to SP Kit (Mouse) instructionsand DAB staining.

Fixative-fixed, paraffin embedded (human tonsil), Antigen retrieval by boiling in sodium citrate buffer (pH6.0) for 15 min, Block endogenous peroxidase by 3% hydrogen peroxide for 20 minutes, Blocking buffer (normal goat serum) at 37°C for 30 min, Antibody incubation with (CD45) Monoclonal Antibody, Unconjugated (orb500902) at 1:400 overnight at 4°C, followed by operating according to SP Kit (Mouse) instructionsand DAB staining.

Sample: Lane 1: Molt-4 (Human) Cell Lysate at 30 ug, Lane 2: K562 (Human) Cell Lysate at 30 ug, Primary: Anti-CD45 (orb500902) at 1/1000 dilution, Secondary: IRDye800CW Goat Anti-Mouse IgG at 1/20000 dilution, Predicted band size: 220 kD, Observed band size: 220 kD.
风险提示:丁香通仅作为第三方平台,为商家信息发布提供平台空间。用户咨询产品时请注意保护个人信息及财产安全,合理判断,谨慎选购商品,商家和用户对交易行为负责。对于医疗器械类产品,请先查证核实企业经营资质和医疗器械产品注册证情况。
技术资料暂无技术资料 索取技术资料
CD45 Mouse Monoclonal Antibody抗体,orb500902,biorbyt
¥3120









