相关产品推荐更多 >
万千商家帮你免费找货
0 人在求购买到急需产品
- 详细信息
- 技术资料
- 抗体名:
MAPK14 Antibody抗体
- 抗体英文名:
MAPK14 Antibody
- 靶点:
MAPK14
- 应用范围:
ELISA, IHC, WB
- 宿主:
Mouse
- 适应物种:
Human, Porcine
- 保质期:
6-12个月
- 抗原来源:
详询
- 目录编号:
orb395398
- 级别:
科研级
- 库存:
88
- 供应商:
biorbyt
- 标记物:
Unconjugated
- 克隆性:
Monoclonal
- 形态:
liquid
- 亚型:
IgG1
- 免疫原:
mitogen-activated protein kinase 14
- 规格:
50 ug
产品描述:Mouse monoclonal antibody to p38 MAPK.
别名:CSAID binding protein, CSBP, CSBP1, CSBP2, CSPB1, EXIP, MAP kinase 14, MAP kinase MXI2, MAP kinase p38 alpha, MAPK 14, MAPK14, MAX interacting protein 2, Mxi2, p38, p38ALPHA, PRKM14, PRKM15, RK, SAPK2A
免疫原:mitogen-activated protein kinase 14
分子量:38 kDa
应用稀释比例:WB: 1:1000-1:4000; IHC: 1:100-1:400
纯度:≥95% as determined by SDS-PAGE
纯化:Protein A+G purified
保存说明:Maintain refrigerated at 2-8°C for up to 2 weeks. For long term storage store at -20°C in small aliquots to prevent freeze-thaw cycles.
UniProt ID:Q16539
Note:For research use only.


别名:CSAID binding protein, CSBP, CSBP1, CSBP2, CSPB1, EXIP, MAP kinase 14, MAP kinase MXI2, MAP kinase p38 alpha, MAPK 14, MAPK14, MAX interacting protein 2, Mxi2, p38, p38ALPHA, PRKM14, PRKM15, RK, SAPK2A
免疫原:mitogen-activated protein kinase 14
分子量:38 kDa
应用稀释比例:WB: 1:1000-1:4000; IHC: 1:100-1:400
纯度:≥95% as determined by SDS-PAGE
纯化:Protein A+G purified
保存说明:Maintain refrigerated at 2-8°C for up to 2 weeks. For long term storage store at -20°C in small aliquots to prevent freeze-thaw cycles.
UniProt ID:Q16539
Note:For research use only.

HEK-293 cells were subjected to SDS PAGE followed by western blot with orb395398 (p38 MAPK Antibody) at dilution of 1:1000.

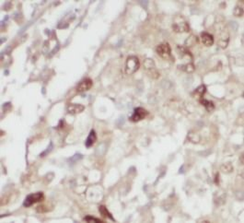
Immunohistochemistry of paraffin-embedded human lung cancer tissue slide using orb395398 (p38 Antibody) at dilution of 1:200.
风险提示:丁香通仅作为第三方平台,为商家信息发布提供平台空间。用户咨询产品时请注意保护个人信息及财产安全,合理判断,谨慎选购商品,商家和用户对交易行为负责。对于医疗器械类产品,请先查证核实企业经营资质和医疗器械产品注册证情况。
技术资料暂无技术资料 索取技术资料
MAPK14 Antibody抗体,orb395398,biorbyt
¥2860









