相关产品推荐更多 >

RABBIT ANTI HUMAN RNA POL II CTD (pThr4) 抗体,orb1784893,Biorbyt
¥9711![AKAP8 Antibody [KO/KD Validated]抗体,orb214972,biorbyt](https://img1.dxycdn.com/p/s14/2025/1204/980/6731451648691146991.jpg!wh200)
AKAP8 Antibody [KO/KD Validated]抗体,orb214972,biorbyt
¥1560
KCNG1 Antibody - N-terminal region : FITC 抗体,orb2133952,Biorbyt
¥8216
Mouse Sgk269 Antibody (Center)抗体,orb33119,biorbyt
¥3900
Cytochrome P450 19A1 Antibody抗体,orb666414,biorbyt
¥1560
万千商家帮你免费找货
0 人在求购买到急需产品
- 详细信息
- 技术资料
- 抗体名:
FUS Antibody抗体
- 抗体英文名:
FUS Antibody
- 靶点:
FUS
- 应用范围:
ELISA, IF, IHC, WB
- 宿主:
Mouse
- 适应物种:
Human, Mouse
- 保质期:
6-12个月
- 抗原来源:
详询
- 目录编号:
orb395058
- 级别:
科研级
- 库存:
88
- 供应商:
biorbyt
- 标记物:
Unconjugated
- 克隆性:
Monoclonal
- 形态:
liquid
- 亚型:
IgG1
- 免疫原:
fusion(involved in t(12;16) in malignant liposarcoma)
- 规格:
50 ug
产品描述:Mouse monoclonal antibody to TLS.
免疫原:fusion(involved in t(12;16) in malignant liposarcoma)
分子量:73 kDa
应用稀释比例:WB: 1:1000-1:5000; IHC: 1:500-1:3000; IF: 1:20-1:200
纯度:≥95% as determined by SDS-PAGE
纯化:Protein A+G purified
保存说明:Maintain refrigerated at 2-8°C for up to 2 weeks. For long term storage store at -20°C in small aliquots to prevent freeze-thaw cycles.
UniProt ID:P35637
Note:For research use only.


免疫原:fusion(involved in t(12;16) in malignant liposarcoma)
分子量:73 kDa
应用稀释比例:WB: 1:1000-1:5000; IHC: 1:500-1:3000; IF: 1:20-1:200
纯度:≥95% as determined by SDS-PAGE
纯化:Protein A+G purified
保存说明:Maintain refrigerated at 2-8°C for up to 2 weeks. For long term storage store at -20°C in small aliquots to prevent freeze-thaw cycles.
UniProt ID:P35637
Note:For research use only.

K-562 cells were subjected to SDS PAGE followed by western blot with orb395058 (FUS antibody) at dilution of 1:1000.

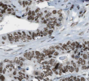
Immunohistochemistry of paraffin-embedded human gliomas tissue slide using orb395058 (FUS/TLS Antibody) at dilution of 1:1000.
风险提示:丁香通仅作为第三方平台,为商家信息发布提供平台空间。用户咨询产品时请注意保护个人信息及财产安全,合理判断,谨慎选购商品,商家和用户对交易行为负责。对于医疗器械类产品,请先查证核实企业经营资质和医疗器械产品注册证情况。
技术资料暂无技术资料 索取技术资料
FUS Antibody抗体,orb395058,biorbyt
¥3120





