相关产品推荐更多 >

Cyclophilin B Recombinant Rabbit Monoclonal Antibody (Loading Control)抗体,orb704516,biorbyt
¥4160
Calponin-1 Antibody (N-term) 抗体,orb1929801,Biorbyt
¥7293
Phospho-PPAR Gamma (Ser112) Antibody (BF750) 抗体,orb1591734,Biorbyt
¥4796
PRR20A Antibody - N-terminal region : FITC 抗体,orb2085150,Biorbyt
¥8216
PHLDA1 Antibody (N-term) 抗体,orb1932797,Biorbyt
¥7293
万千商家帮你免费找货
0 人在求购买到急需产品
- 详细信息
- 文献和实验
- 技术资料
- 抗体名:
PIM3 Antibody抗体
- 抗体英文名:
PIM3 Antibody
- 靶点:
PIM3
- 应用范围:
ELISA, IF, IHC, WB
- 宿主:
Rabbit
- 适应物种:
Human, Mouse
- 保质期:
6-12个月
- 抗原来源:
详询
- 目录编号:
orb47119
- 级别:
科研级
- 库存:
88
- 供应商:
biorbyt
- 标记物:
Unconjugated
- 克隆性:
Polyclonal
- 形态:
Liquid
- 亚型:
IgG
- 免疫原:
Recombinant Human Serine/threonine-protein kinase pim-3 protein (278-326AA)
- 规格:
50 ug
产品描述:This PIM3 Antibody is an unconjugated polyclonal product. It tagets PIM3 using a Recombinant Human Serine/threonine-protein kinase pim-3 protein (278-326AA) as the immunogen. This antibody is suitable for ELISA, IF, IHC, WB. Purification: >95%, Protein G purified.
别名:Kid 1 antibody; Kid1 antibody; Kinase induced by depolarization antibody; ONCOGENE PIM3 antibody; PIM 3 antibody; Pim 3 oncogene antibody; Pim-3 proto-oncogene; serine/threonine kinase antibody; PIM3 antibody; Pim3 oncogene antibody; PIM3_HUMAN antibody; Protein kinase Kid 1 antibody; Protein kinase Kid1 antibody; Serine/threonine kinase Pim 3 antibody; Serine/threonine kinase Pim3 antibody; Serine/threonine protein kinase Pim 3 antibody; Serine/threonine protein kinase Pim3 antibody; Serine/threonine-protein kinase Pim-3 antibody
免疫原:Recombinant Human Serine/threonine-protein kinase pim-3 protein (278-326AA)
应用稀释比例:WB:1:500-5000, IHC-P:1:20-200, IF:1:50-200
防腐剂: 0.03% Proclin 300. Constituents: 50% Glycerol
纯化:>95%, Protein G purified
保存说明:Maintain refrigerated at 2-8°C for up to 2 weeks. For long term storage store at -20°C in small aliquots to prevent freeze-thaw cycles.
Pubmed:38128397
UniProt ID:Q86V86
Note:For research use only.




别名:Kid 1 antibody; Kid1 antibody; Kinase induced by depolarization antibody; ONCOGENE PIM3 antibody; PIM 3 antibody; Pim 3 oncogene antibody; Pim-3 proto-oncogene; serine/threonine kinase antibody; PIM3 antibody; Pim3 oncogene antibody; PIM3_HUMAN antibody; Protein kinase Kid 1 antibody; Protein kinase Kid1 antibody; Serine/threonine kinase Pim 3 antibody; Serine/threonine kinase Pim3 antibody; Serine/threonine protein kinase Pim 3 antibody; Serine/threonine protein kinase Pim3 antibody; Serine/threonine-protein kinase Pim-3 antibody
免疫原:Recombinant Human Serine/threonine-protein kinase pim-3 protein (278-326AA)
应用稀释比例:WB:1:500-5000, IHC-P:1:20-200, IF:1:50-200
防腐剂: 0.03% Proclin 300. Constituents: 50% Glycerol
纯化:>95%, Protein G purified
保存说明:Maintain refrigerated at 2-8°C for up to 2 weeks. For long term storage store at -20°C in small aliquots to prevent freeze-thaw cycles.
Pubmed:38128397
UniProt ID:Q86V86
Note:For research use only.

Western blot analysis of Mouse stomach tissue using PIM3 antibody

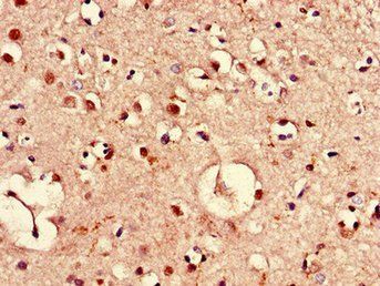
Immunohistochemical staining of human brain tissue using PIM3 antibody

Immunofluorescence analysis of HepG2 cells using PIM3 antibody

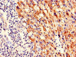
Immunohistochemical staining of human liver cancer using PIM3 antibody
风险提示:丁香通仅作为第三方平台,为商家信息发布提供平台空间。用户咨询产品时请注意保护个人信息及财产安全,合理判断,谨慎选购商品,商家和用户对交易行为负责。对于医疗器械类产品,请先查证核实企业经营资质和医疗器械产品注册证情况。
文献和实验该产品被引用文献
Yunshu Shi, Qiang Yuan, Yingying Chen, Xiaoyu Li, Yujuan Zhou, Hao Zhou, Feng Peng, Yanan Jiang, Yan Qiao, Jimin Zhao, Chi Zhang, Junyong Wang, Kangdong Liu, Zigang Dong Corynoline inhibits esophageal squamous cell carcinoma growth via targeting Pim-3 Phytomedicine, 123, 155235 (2024)
技术资料暂无技术资料 索取技术资料
文献支持
PIM3 Antibody抗体,orb47119,biorbyt
¥2990





