相关产品推荐更多 >
万千商家帮你免费找货
0 人在求购买到急需产品
- 详细信息
- 文献和实验
- 技术资料
- 抗体名:
YWHAG Antibody抗体
- 抗体英文名:
YWHAG Antibody
- 靶点:
YWHAG
- 应用范围:
ELISA, IHC, IP, WB
- 宿主:
Rabbit
- 适应物种:
Human, Mouse, Rat
- 保质期:
6-12个月
- 抗原来源:
详询
- 目录编号:
orb44462
- 级别:
科研级
- 库存:
88
- 供应商:
biorbyt
- 标记物:
Unconjugated
- 克隆性:
Polyclonal
- 形态:
Liquid
- 亚型:
IgG
- 免疫原:
Recombinant Human 14-3-3 protein gamma protein (113-194AA)
- 规格:
50 ug
产品描述:This YWHAG Antibody is an unconjugated polyclonal product. It tagets YWHAG using a Recombinant Human 14-3-3 protein gamma protein (113-194AA) as the immunogen. This antibody is suitable for ELISA, IHC, IP, WB. Purification: >95%, Protein G purified.
别名:14 3 3 gamma antibody; 14 3 3 protein gamma antibody; 14 3 3 protein gamma subtype antibody; 14 3 3gamma antibody; 14-3-3 protein gamma antibody; 1433G_HUMAN antibody; 3 monooxygenase/tryptophan 5 monooxgenase activation protein gamma polypeptide antibody; KCIP 1 antibody; KCIP-1 antibody; KCIP1 antibody; N-terminally processed antibody; Protein kinase C inhibitor protein 1 antibody; Tyrosine 3 monooxygenase/tryptophan 5 monooxygenase activation protein gamma polypeptide antibody; Ywhag antibody
免疫原:Recombinant Human 14-3-3 protein gamma protein (113-194AA)
应用稀释比例:WB:1:500-2000, IHC-P:1:20-200, IP:1:200-2000
防腐剂: 0.03% Proclin 300. Constituents: 50% Glycerol
纯化:>95%, Protein G purified
保存说明:Maintain refrigerated at 2-8°C for up to 2 weeks. For long term storage store at -20°C in small aliquots to prevent freeze-thaw cycles.
Pubmed:36467694
UniProt ID:P61981
Note:For research use only.





别名:14 3 3 gamma antibody; 14 3 3 protein gamma antibody; 14 3 3 protein gamma subtype antibody; 14 3 3gamma antibody; 14-3-3 protein gamma antibody; 1433G_HUMAN antibody; 3 monooxygenase/tryptophan 5 monooxgenase activation protein gamma polypeptide antibody; KCIP 1 antibody; KCIP-1 antibody; KCIP1 antibody; N-terminally processed antibody; Protein kinase C inhibitor protein 1 antibody; Tyrosine 3 monooxygenase/tryptophan 5 monooxygenase activation protein gamma polypeptide antibody; Ywhag antibody
免疫原:Recombinant Human 14-3-3 protein gamma protein (113-194AA)
应用稀释比例:WB:1:500-2000, IHC-P:1:20-200, IP:1:200-2000
防腐剂: 0.03% Proclin 300. Constituents: 50% Glycerol
纯化:>95%, Protein G purified
保存说明:Maintain refrigerated at 2-8°C for up to 2 weeks. For long term storage store at -20°C in small aliquots to prevent freeze-thaw cycles.
Pubmed:36467694
UniProt ID:P61981
Note:For research use only.

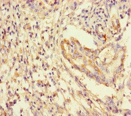
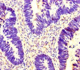
Immunohistochemistry of paraffin-embedded human pancreatic cancer tissue using YWHAG antibody

Western blot aanalysis of Mouse brain tissue, NIH/3T3 whole cell lysate, A431 whole cell lysate, K562 whole cell lysate, Jurkat whole cell lysate, human placenta tissueusing YWHAG antibody

Western blot aanalysis of Hela whole cell lysate, Jurkat whole cell lysate, NIH/3T3 whole cell lysate, U251 whole cell lysate, K562 whole cell lysate, Rat brain tissueusing YWHAG antibody

Immunoprecipitation analysis of NIH/3T3 whole cell lysate using YWHAG antibody

Immunohistochemistry of paraffin-embedded human ovarian cancer tissue using YWHAG antibody
风险提示:丁香通仅作为第三方平台,为商家信息发布提供平台空间。用户咨询产品时请注意保护个人信息及财产安全,合理判断,谨慎选购商品,商家和用户对交易行为负责。对于医疗器械类产品,请先查证核实企业经营资质和医疗器械产品注册证情况。
文献和实验该产品被引用文献
Sol������s, Christopher et al. Mechano-growth factor E-domain modulates cardiac contractile function through 14-3-3 protein interactomes Front Physiol, 13, 1028345 (2022)
技术资料暂无技术资料 索取技术资料
文献支持
YWHAG Antibody抗体,orb44462,biorbyt
¥2990










