产品描述:Phospho-PKC delta (Ser645) Rabbit Polyclonal Antibody
别名:PKC delta(phospho S645); p-PKC delta(phospho S645); PRKCD(phospho S645); PKCδ(phospho-Ser645); MAY 1; MAY1; nPKC delta; PCKd; PKC d; PKC delta; PKC-d; PKCD; PKCdelta; PRKC D; PRKC delta; PRKC-d; PRKCd; Protein Kinase C delta; Protein kinase C delta type; Protein Kinase Cdelta; KPCD_HUMAN; PKC δ.
免疫原:KLH conjugated Synthesised phosphopeptide derived from human PKC delta around the phosphorylation site of Ser645 RL(p-S)YS
预测反应性:Mouse, Rat
分子量:77 kDa
应用稀释比例:IHC-P=1:100-500, IHC-F=1:100-500, IF=1:100-500, Flow-Cyt=1:100-500
防腐剂:0.01M TBS (pH7.4) with 1% rAlbumin, 0.02% Proclin300 and 50% Glycerol.
纯化:Affinity purified by Protein A
保存说明:Maintain refrigerated at 2-8°C for up to 2 weeks. For long term storage store at -20°C in small aliquots to prevent freeze-thaw cycles.
UniProt ID:Q05655
Note:For research use only.
Blank control (Black line): Raji (Black). Primary Antibody (green line): Rabbit Anti-phospho-PKC delta (Ser645) antibody, dilution: 1 µg/10^6 cells, Isotype Control Antibody (orange line): Rabbit IgG. Secondary Antibody (white blue line): Goat anti-rabbit IgG-PE, dilution: 1 µg/Test. Protocol, The cells were fixed with 4% PFA (10 min) and then permeabilized with 90% ice-cold methanol for 20 min on ice. Cells stained with Primary Antibody for 30 min at room temperature. The cells were then incubated in 1X PBS/2% BSA/10% goat serum to block non-specific protein-protein interactions followed by the antibody for 15 min at room temperature. The secondary antibody used for 40 min at room temperature. Acquisition of 20000 events was performed.

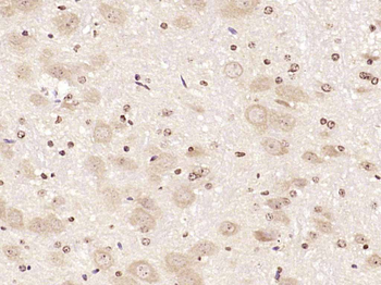
Fixative-fixed, paraffin embedded (human brain glioma), Antigen retrieval by boiling in sodium citrate buffer (pH6.0) for 15 min, Block endogenous peroxidase by 3% hydrogen peroxide for 20 minutes, Blocking buffer (normal goat serum) at 37°C for 30 min, Antibody incubation with (PKC delta (Ser645)) Polyclonal Antibody, Unconjugated (orb6753) at 1:400 overnight at 4°C, followed by operating according to SP Kit (Rabbit) instructionsand DAB staining.
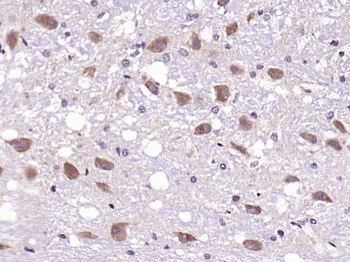
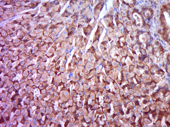
Fixative-fixed, paraffin embedded (mouse brain), Antigen retrieval by boiling in sodium citrate buffer (pH6.0) for 15 min, Block endogenous peroxidase by 3% hydrogen peroxide for 20 minutes, Blocking buffer (normal goat serum) at 37°C for 30 min, Antibody incubation with (phospho-PKC delta (Ser645)) Polyclonal Antibody, Unconjugated (orb6753) at 1:200 overnight at 4°C, followed by operating according to SP Kit (Rabbit) instructionsand DAB staining.
Fixative-fixed, paraffin embedded (mouse cerebellum), Antigen retrieval by boiling in sodium citrate buffer (pH6.0) for 15 min, Block endogenous peroxidase by 3% hydrogen peroxide for 20 minutes, Blocking buffer (normal goat serum) at 37°C for 30 min, Antibody incubation with (phospho-PKC delta (Ser645)) Polyclonal Antibody, Unconjugated (orb6753) at 1:200 overnight at 4°C, followed by operating according to SP Kit (Rabbit) instructionsand DAB staining.
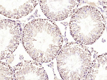
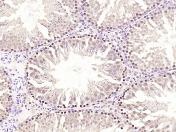
Fixative-fixed, paraffin embedded (mouse testis), Antigen retrieval by boiling in sodium citrate buffer (pH6.0) for 15 min, Block endogenous peroxidase by 3% hydrogen peroxide for 20 minutes, Blocking buffer (normal goat serum) at 37°C for 30 min, Antibody incubation with (phospho-PKC delta (Ser645)) Polyclonal Antibody, Unconjugated (orb6753) at 1:200 overnight at 4°C, followed by operating according to SP Kit (Rabbit) instructionsand DAB staining.
Fixative-fixed, paraffin embedded (rat cerebellum), Antigen retrieval by boiling in sodium citrate buffer (pH6.0) for 15 min, Block endogenous peroxidase by 3% hydrogen peroxide for 20 minutes, Blocking buffer (normal goat serum) at 37°C for 30 min, Antibody incubation with (phospho-PKC delta (Ser645)) Polyclonal Antibody, Unconjugated (orb6753) at 1:200 overnight at 4°C, followed by operating according to SP Kit (Rabbit) instructionsand DAB staining.
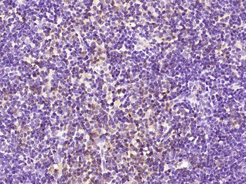
Fixative-fixed, paraffin embedded (rat lymphoid), Antigen retrieval by boiling in sodium citrate buffer (pH6.0) for 15 min, Block endogenous peroxidase by 3% hydrogen peroxide for 20 minutes, Blocking buffer (normal goat serum) at 37°C for 30 min, Antibody incubation with (phospho-PKC delta (Ser645)) Polyclonal Antibody, Unconjugated (orb6753) at 1:200 overnight at 4°C, followed by operating according to SP Kit (Rabbit) instructionsand DAB staining.
Fixative-fixed, paraffin embedded (rat testis), Antigen retrieval by boiling in sodium citrate buffer (pH6.0) for 15 min, Block endogenous peroxidase by 3% hydrogen peroxide for 20 minutes, Blocking buffer (normal goat serum) at 37°C for 30 min, Antibody incubation with (phospho-PKC delta (Ser645)) Polyclonal Antibody, Unconjugated (orb6753) at 1:200 overnight at 4°C, followed by operating according to SP Kit (Rabbit) instructionsand DAB staining.
Tissue/Cell: mouse stomach tissue, 4% Fixative-fixed and paraffin-embedded, Antigen retrieval: citrate buffer (0.01M, pH6.0), Boiling bathing for 15 min, Block endogenous peroxidase by 3% Hydrogen peroxide for 30 min, Blocking buffer (normal goat serum) at 37°C for 20 min, Incubation: Anti-phospho-PKC delta Polyclonal Antibody, Unconjugated (orb6753) 1:200, overnight at 4°C, followed by conjugation to the secondary antibody and DAB staining.