产品封面图

NOTCH4 Rabbit Polyclonal Antib

ody抗体,orb221726,biorbyt
收藏
  • ¥3120
  • biorbyt已认证
  • orb221726
  • 英国
  • 2025年12月04日
  • IF, IHC-Fr, IHC-P
  • Rabbit
  • Human, Mouse, Rat
avatar
品牌商
13钻石会员
  • 企业认证

    点击 QQ 联系

    • 详细信息
    • 文献和实验
    • 技术资料
    • 抗体名

      NOTCH4 Rabbit Polyclonal Antibody抗体

    • 抗体英文名

      NOTCH4 Rabbit Polyclonal Antibody

    • 靶点

      NOTCH4

    • 浓度

      1mg/ml

    • 应用范围

      IF, IHC-Fr, IHC-P

    • 宿主

      Rabbit

    • 适应物种

      Human, Mouse, Rat

    • 保质期

      6-12个月

    • 抗原来源

      详询

    • 目录编号

      orb221726

    • 级别

      科研级

    • 库存

      88

    • 供应商

      biorbyt

    • 标记物

      Unconjugated

    • 克隆性

      Polyclonal

    • 形态

      Liquid

    • 亚型

      IgG

    • 免疫原

      KLH conjugated synthetic peptide derived from human NOTCH4 (1151-1250/2003aa)

    • 规格

      50 ul

    产品描述:NOTCH4 Rabbit Polyclonal Antibody

    别名:Notch 4; FLJ16302; hNotch 4; hNotch4; INT 3; INT3; MGC74442; Neurogenic locus notch homolog protein 4; NOTC4_HUMAN; NOTCH 3; NOTCH 4; Notch 4 intracellular domain; Notch homolog 4; NOTCH3; Notch4; NOTCH4 protein; OTTHUMP00000062678.

    免疫原:KLH conjugated synthetic peptide derived from human NOTCH4 (1151-1250/2003aa)

    预测反应性:Bovine, Canine, Equine, Porcine, Rabbit, Sheep

    分子量:207 kDa

    应用稀释比例:IHC-P=1:100-500, IHC-F=1:100-500, IF=1:100-500

    防腐剂:0.01M TBS (pH7.4) with 1% rAlbumin, 0.02% Proclin300 and 50% Glycerol.

    纯化:Affinity purified by Protein A

    保存说明:Maintain refrigerated at 2-8°C for up to 2 weeks. For long term storage store at -20°C in small aliquots to prevent freeze-thaw cycles.

    UniProt ID:Q99466

    Note:For research use only.

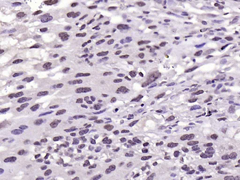
    产品细节图片1
    paraffin embedded (human myocardium), Antigen retrieval by boiling in sodium citrate buffer (pH6.0) for 15 min, Block endogenous peroxidase by 3% hydrogen peroxide for 20 minutes, Blocking buffer (normal goat serum) at 37°C for 30 min, Antibody incubation with (NOTCH4) Polyclonal Antibody, Unconjugated (orb221726) at 1:200 overnight at 4°C, followed by operating according to SP Kit (Rabbit) instructionsand DAB staining.

    产品细节图片2
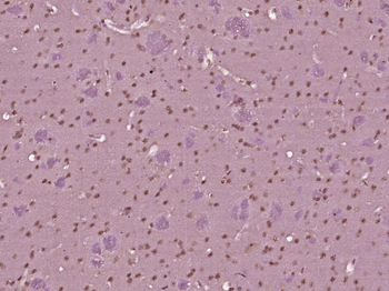
    Fixative-fixed, paraffin embedded (mouse brain), Antigen retrieval by boiling in sodium citrate buffer (pH6.0) for 15 min, Block endogenous peroxidase by 3% hydrogen peroxide for 20 minutes, Blocking buffer (normal goat serum) at 37°C for 30 min, Antibody incubation with (NOTCH4) Polyclonal Antibody, Unconjugated (orb221726) at 1:200 overnight at 4°C, followed by operating according to SP Kit (Rabbit) instructionsand DAB staining.

    产品细节图片3
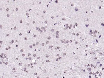
    Fixative-fixed, paraffin embedded (Mouse brain), Antigen retrieval by boiling in sodium citrate buffer (pH6.0) for 15 min, Block endogenous peroxidase by 3% hydrogen peroxide for 20 minutes, Blocking buffer (normal goat serum) at 37°C for 30 min, Antibody incubation with (NOTCH4) Polyclonal Antibody, Unconjugated (orb221726) at 1:400 overnight at 4°C, followed by operating according to SP Kit (Rabbit) instructionsand DAB staining.

    产品细节图片4
    Fixative-fixed, paraffin embedded (mouse lung), Antigen retrieval by boiling in sodium citrate buffer (pH6.0) for 15 min, Block endogenous peroxidase by 3% hydrogen peroxide for 20 minutes, Blocking buffer (normal goat serum) at 37°C for 30 min, Antibody incubation with (NOTCH4) Polyclonal Antibody, Unconjugated (orb221726) at 1:200 overnight at 4°C, followed by operating according to SP Kit (Rabbit) instructionsand DAB staining.

    产品细节图片5
    Fixative-fixed, paraffin embedded (mouse placenta), Antigen retrieval by boiling in sodium citrate buffer (pH6.0) for 15 min, Block endogenous peroxidase by 3% hydrogen peroxide for 20 minutes, Blocking buffer (normal goat serum) at 37°C for 30 min, Antibody incubation with (NOTCH4) Polyclonal Antibody, Unconjugated (orb221726) at 1:200 overnight at 4°C, followed by operating according to SP Kit (Rabbit) instructionsand DAB staining.

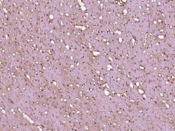
    产品细节图片6
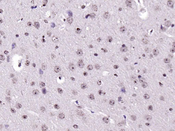
    Fixative-fixed, paraffin embedded (rat brain), Antigen retrieval by boiling in sodium citrate buffer (pH6.0) for 15 min, Block endogenous peroxidase by 3% hydrogen peroxide for 20 minutes, Blocking buffer (normal goat serum) at 37°C for 30 min, Antibody incubation with (NOTCH4) Polyclonal Antibody, Unconjugated (orb221726) at 1:200 overnight at 4°C, followed by operating according to SP Kit (Rabbit) instructionsand DAB staining.

    产品细节图片7
    Fixative-fixed, paraffin embedded (Rat heart), Antigen retrieval by boiling in sodium citrate buffer (pH6.0) for 15 min, Block endogenous peroxidase by 3% hydrogen peroxide for 20 minutes, Blocking buffer (normal goat serum) at 37°C for 30 min, Antibody incubation with (NOTCH4) Polyclonal Antibody, Unconjugated (orb221726) at 1:400 overnight at 4°C, followed by operating according to SP Kit (Rabbit) instructionsand DAB staining.

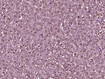
    产品细节图片8
    Fixative-fixed, paraffin embedded (Rat liver), Antigen retrieval by boiling in sodium citrate buffer (pH6.0) for 15 min, Block endogenous peroxidase by 3% hydrogen peroxide for 20 minutes, Blocking buffer (normal goat serum) at 37°C for 30 min, Antibody incubation with (NOTCH4) Polyclonal Antibody, Unconjugated (orb221726) at 1:400 overnight at 4°C, followed by operating according to SP Kit (Rabbit) instructionsand DAB staining.

    产品细节图片9
    Fixative-fixed, paraffin embedded (rat lung), Antigen retrieval by boiling in sodium citrate buffer (pH6.0) for 15 min, Block endogenous peroxidase by 3% hydrogen peroxide for 20 minutes, Blocking buffer (normal goat serum) at 37°C for 30 min, Antibody incubation with (NOTCH4) Polyclonal Antibody, Unconjugated (orb221726) at 1:200 overnight at 4°C, followed by operating according to SP Kit (Rabbit) instructionsand DAB staining.

    风险提示:丁香通仅作为第三方平台,为商家信息发布提供平台空间。用户咨询产品时请注意保护个人信息及财产安全,合理判断,谨慎选购商品,商家和用户对交易行为负责。对于医疗器械类产品,请先查证核实企业经营资质和医疗器械产品注册证情况。

    图标文献和实验
    相关实验
    • Polyclonal Antibody Production

      Zealand White Rabbits and have them delivered to the ARC. Don’t put all your eggs in one basket only using one rabbit. Let them get accustomed to there home there for two weeks before the first pre-bleed. Pre-bleed        

    • Polyclonal Antibody Production

        Polyclonal Antibody Production Very useful for rapid and simple generation of antibodies for western blots, ELISA assays, and immunoprecipitation.     Rabbit Immunization Initial Preparation Your antigen

    • Preparation of Polyclonal Antibodies to Retinoid Receptors

      rabbit-antibody production and affinity purification. Suggestions for potential applications in the study of retinoid-molecular biology are also discussed.

    图标技术资料

    暂无技术资料 索取技术资料

    同类产品报价

    产品名称
    产品价格
    公司名称
    报价日期
    ¥5112
    武汉博欧特生物科技有限公司
    2025年03月22日询价
    ¥1500
    爱必信(上海)生物科技有限公司
    2025年06月25日询价
    ¥1280
    湖北艾普蒂生物工程有限公司
    2025年07月08日询价
    ¥1450
    上海瑶韵生物科技有限公司
    2025年07月14日询价
    ¥3996
    北京智杰方远科技有限公司
    2025年06月01日询价
    NOTCH4 Rabbit Polyclonal Antibody抗体,orb221726,biorbyt
    ¥3120