相关产品推荐更多 >
万千商家帮你免费找货
0 人在求购买到急需产品
- 详细信息
- 技术资料
- 抗体名:
Phospho-IKK beta (S474) Rabbit Polyclonal Antibody抗体
- 抗体英文名:
Phospho-IKK beta (S474) Rabbit Polyclonal Antibody
- 靶点:
IKBKB
- 浓度:
1mg/ml
- 应用范围:
ICC, IF, IHC-Fr, IHC-P
- 宿主:
Rabbit
- 适应物种:
Human
- 保质期:
6-12个月
- 抗原来源:
详询
- 目录编号:
orb5525
- 级别:
科研级
- 库存:
88
- 供应商:
biorbyt
- 标记物:
Unconjugated
- 克隆性:
Polyclonal
- 形态:
Liquid
- 亚型:
IgG
- 免疫原:
KLH conjugated Synthesised phosphopeptide derived from human IKK beta around the phosphorylation site of S474 MA(p-S)MS
- 规格:
50 ul
产品描述:Phospho-IKK beta (S474) Rabbit Polyclonal Antibody
别名:IKK beta(phospho S474); IKK beta(phospho Ser474); p-IKK beta(Ser474); IKKI kappa B kinase 2; IKKβ; IKK β; I kappa B kinase beta; IkBKB; IKK 2; IKK B; IKK2; IKKB; Inhibitor of kappa light chain gene enhancer in B cells; Inhibitor of kappa light polypeptide gene enhancer in B cells; Inhibitor of kappa light polypeptide gene enhancer in B cells kinase beta; Inhibitor of nuclear factor kappa B kinase beta subunit; Inhibitor of nuclear factor kappa B kinase subunit beta; MGC131801; NFKBIKB; Nuclear factor NF kappa B inhibitor kinase beta; Nuclear factor of kappa light chain gene enhancer in B cells inhibitor; IKKB_HUMAN.
免疫原:KLH conjugated Synthesised phosphopeptide derived from human IKK beta around the phosphorylation site of S474 MA(p-S)MS
预测反应性:Bovine, Canine, Porcine, Rabbit
分子量:87 kDa
应用稀释比例:IHC-P=1:100-500, IHC-F=1:100-500, ICC/IF=1:100-500, IF=1:100-500
防腐剂:0.01M TBS (pH7.4) with 1% rAlbumin, 0.02% Proclin300 and 50% Glycerol.
纯化:Affinity purified by Protein A
保存说明:Maintain refrigerated at 2-8°C for up to 2 weeks. For long term storage store at -20°C in small aliquots to prevent freeze-thaw cycles.
UniProt ID:O14920
Note:For research use only.


别名:IKK beta(phospho S474); IKK beta(phospho Ser474); p-IKK beta(Ser474); IKKI kappa B kinase 2; IKKβ; IKK β; I kappa B kinase beta; IkBKB; IKK 2; IKK B; IKK2; IKKB; Inhibitor of kappa light chain gene enhancer in B cells; Inhibitor of kappa light polypeptide gene enhancer in B cells; Inhibitor of kappa light polypeptide gene enhancer in B cells kinase beta; Inhibitor of nuclear factor kappa B kinase beta subunit; Inhibitor of nuclear factor kappa B kinase subunit beta; MGC131801; NFKBIKB; Nuclear factor NF kappa B inhibitor kinase beta; Nuclear factor of kappa light chain gene enhancer in B cells inhibitor; IKKB_HUMAN.
免疫原:KLH conjugated Synthesised phosphopeptide derived from human IKK beta around the phosphorylation site of S474 MA(p-S)MS
预测反应性:Bovine, Canine, Porcine, Rabbit
分子量:87 kDa
应用稀释比例:IHC-P=1:100-500, IHC-F=1:100-500, ICC/IF=1:100-500, IF=1:100-500
防腐剂:0.01M TBS (pH7.4) with 1% rAlbumin, 0.02% Proclin300 and 50% Glycerol.
纯化:Affinity purified by Protein A
保存说明:Maintain refrigerated at 2-8°C for up to 2 weeks. For long term storage store at -20°C in small aliquots to prevent freeze-thaw cycles.
UniProt ID:O14920
Note:For research use only.

A549 cell, Triton X-100 at room temperature for 20 min, Blocking buffer (normal goat serum) at 37°C for 20 min, Antibody incubation with (phospho-IKK beta (S474)) polyclonal Antibody, Unconjugated (orb5525) 1:100, 90 minutes at 37°C, followed by a conjugated Goat Anti-Rabbit IgG antibody at 37°C for 90 minutes, DAPI (blue) was used to stain the cell nuclei.

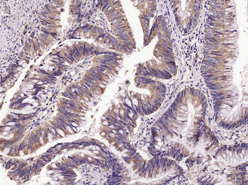
Fixative-fixed, paraffin embedded (Human cervical carcinoma), Antigen retrieval by microwave in sodium citrate buffer (pH6.0), Block endogenous peroxidase by 3% hydrogen peroxide for 30 minutes, Blocking buffer (3% BSA) at RT for 30 min, Antibody incubation with (phospho-IKK beta (S474)) Polyclonal Antibody, Unconjugated (orb5525) at 1:400 overnight at 4°C, followed by conjugation to the secondary antibody (labeled with HRP) and DAB staining.
风险提示:丁香通仅作为第三方平台,为商家信息发布提供平台空间。用户咨询产品时请注意保护个人信息及财产安全,合理判断,谨慎选购商品,商家和用户对交易行为负责。对于医疗器械类产品,请先查证核实企业经营资质和医疗器械产品注册证情况。
技术资料暂无技术资料 索取技术资料
Phospho-IKK beta (S474) Rabbit Polyclonal Antibody抗体,orb5525,biorbyt
¥3120










