相关产品推荐更多 >
万千商家帮你免费找货
0 人在求购买到急需产品
- 详细信息
- 文献和实验
- 技术资料
- 抗体名:
HO-1 Antibody (APC)抗体
- 抗体英文名:
HO-1 Antibody (APC)
- 靶点:
HO-1
- 浓度:
1 mg/ml
- 应用范围:
ICC, IF, WB
- 宿主:
Mouse
- 适应物种:
Human, Mouse, Rat
- 保质期:
6-12个月
- 抗原来源:
详询
- 目录编号:
orb376893
- 级别:
科研级
- 库存:
88
- 供应商:
biorbyt
- 标记物:
APC
- 克隆性:
Monoclonal
- 亚型:
IgG1 Kappa
- 免疫原:
His-tagged Rat HO-1
- 规格:
100 ug
别名:HSP32, HMOX1, Heme oxygenase 1, HO, HO1, 32 kD, bK286B10, D8Wsu38e, heat shock protein 32 kD, heat shock protein 32kD, Heat shock protein, Heme oxygenase (decycling) 1, Hemox, HMOX 1, Hmox, Hmox1, HMOX1_HUMAN, HO 1, HO-1, Heme Oxygenase-1, Haem Oxygenase-1, Heat Shock Protein 32, Heme Oxygenase (Decyclizing), EC 1.14.14.18
免疫原:His-tagged Rat HO-1
克隆性:6B8-2F2
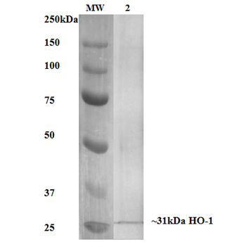
分子量:32kDa
应用稀释比例:WB (1:1000), ICC/IF (1:100)
应用注释:1 µg/ml of SMC-234 was sufficient for detection of HO-1 in 10 µg of rat kidney lysate by colorimetric immunoblot analysis using Goat anti-mouse IgG:HRP as the secondary antibody.
防腐剂:95.46mM Phosphate, 2.48mM MES and 2mM EDTA
纯化:Protein G Purified
保存说明:Conjugated antibodies should be stored according to the product label
NCBI:NP_036712.1
Entrez:24451
UniProt ID:P06762
Note:For research use only.


风险提示:丁香通仅作为第三方平台,为商家信息发布提供平台空间。用户咨询产品时请注意保护个人信息及财产安全,合理判断,谨慎选购商品,商家和用户对交易行为负责。对于医疗器械类产品,请先查证核实企业经营资质和医疗器械产品注册证情况。
文献和实验上海西唐生物科技有限公司 021-55229872, 65333639 www.westang.com 兔血红素氧化酶 (HO-1)ELISA 试剂盒 ( 用于血清、血浆、细胞培养上清液和其它生物体液内 ) 原理 本实验采用双抗体夹心 ABC-ELISA 法。用抗兔 HO-1( Thrombopoietin ) 单抗包被于酶标板上,标准品和样品中的 HO-1与单抗
上海西唐生物科技有限公司 021-55229872, 65333639 www.westang.com 大鼠血红素氧化酶 (HO-1)ELISA 试剂盒 ( 用于血清、血浆、细胞培养上清液和其它生物体液内 ) 原理 本实验采用双抗体夹心 ABC-ELISA 法。用抗大鼠 HO-1 ( Thrombopoietin ) 单抗包被于酶标板上,标准品和样品中的 HO-1 与单抗结合,加入生物素化的抗大鼠 HO-1
上海西唐生物科技有限公司 021-55229872, 65333639 www.westang.com 人血红素氧化酶 (HO-1)ELISA 试剂盒 ( 用于血清、血浆、细胞培养上清液和其它生物体液内 ) 原理 本实验采用双抗体夹心 ABC-ELISA 法。用抗人 HO-1( Thrombopoietin ) 单抗包被于酶标板上,标准品和样品中的 HO-1与单抗
技术资料暂无技术资料 索取技术资料











