相关产品推荐更多 >
万千商家帮你免费找货
0 人在求购买到急需产品
- 详细信息
- 技术资料
- 抗体名:
Phospho-HDAC4 (Ser246) + HDAC5 (Ser259) + HDAC7 (Ser155) Rabbit Polyclonal Antibody抗体
- 抗体英文名:
Phospho-HDAC4 (Ser246) + HDAC5 (Ser259) + HDAC7 (Ser155) Rabbit Polyclonal Antibody
- 靶点:
HDAC4
- 浓度:
1mg/ml
- 应用范围:
IF, IHC-Fr, IHC-P, WB
- 宿主:
Rabbit
- 适应物种:
Human, Mouse
- 保质期:
6-12个月
- 抗原来源:
详询
- 目录编号:
orb6132
- 级别:
科研级
- 库存:
88
- 供应商:
biorbyt
- 标记物:
Unconjugated
- 克隆性:
Polyclonal
- 形态:
Liquid
- 亚型:
IgG
- 免疫原:
KLH conjugated Synthesised phosphopeptide derived from human HDAC4 around the phosphorylation site of Ser246 TA(p-S)EP
- 规格:
50 ul
产品描述:Phospho-HDAC4 (Ser246) + HDAC5 (Ser259) + HDAC7 (Ser155) Rabbit Polyclonal Antibody
别名:HDAC4(phospho-Ser246); HDAC5(phospho-Ser259); HDAC7(phospho-Ser155); HD 4; HD4; HDAC 4; HDAC A; HDACA; Histone Deacetylase 4; Histone Deacetylase A; KIAA0288; EC 3.5.1.98; HA6116; p-HDAC4(Ser246); p-HDAC5(Ser259); p-HDAC7(Ser155).
免疫原:KLH conjugated Synthesised phosphopeptide derived from human HDAC4 around the phosphorylation site of Ser246 TA(p-S)EP
预测反应性:Bovine, Equine, Gallus, Rabbit, Rat
分子量:119 kDa
应用稀释比例:WB=1:500-2000, IHC-P=1:100-500, IHC-F=1:100-500, IF=1:100-500
防腐剂:0.01M TBS (pH7.4) with 1% rAlbumin, 0.02% Proclin300 and 50% Glycerol.
纯化:Affinity purified by Protein A
保存说明:Maintain refrigerated at 2-8°C for up to 2 weeks. For long term storage store at -20°C in small aliquots to prevent freeze-thaw cycles.
UniProt ID:P56524
Note:For research use only.



别名:HDAC4(phospho-Ser246); HDAC5(phospho-Ser259); HDAC7(phospho-Ser155); HD 4; HD4; HDAC 4; HDAC A; HDACA; Histone Deacetylase 4; Histone Deacetylase A; KIAA0288; EC 3.5.1.98; HA6116; p-HDAC4(Ser246); p-HDAC5(Ser259); p-HDAC7(Ser155).
免疫原:KLH conjugated Synthesised phosphopeptide derived from human HDAC4 around the phosphorylation site of Ser246 TA(p-S)EP
预测反应性:Bovine, Equine, Gallus, Rabbit, Rat
分子量:119 kDa
应用稀释比例:WB=1:500-2000, IHC-P=1:100-500, IHC-F=1:100-500, IF=1:100-500
防腐剂:0.01M TBS (pH7.4) with 1% rAlbumin, 0.02% Proclin300 and 50% Glycerol.
纯化:Affinity purified by Protein A
保存说明:Maintain refrigerated at 2-8°C for up to 2 weeks. For long term storage store at -20°C in small aliquots to prevent freeze-thaw cycles.
UniProt ID:P56524
Note:For research use only.

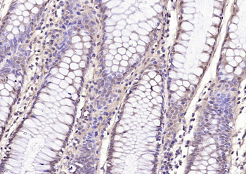
paraffin embedded (Human colon cancer), Antigen retrieval by boiling in sodium citrate buffer (pH6.0) for 15 min, Block endogenous peroxidase by 3% hydrogen peroxide for 20 minutes, Blocking buffer (normal goat serum) at 37°C for 30 min, Antibody incubation with (Phospho-HDAC4 (Ser246) + HDAC5 (Ser259) + HDAC7 (Ser155)) Polyclonal Antibody, Unconjugated (orb6132) at 1:200 overnight at 4°C, followed by operating according to SP Kit (Rabbit) instructions and DAB staining.

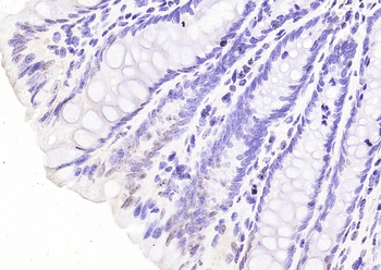
Fixative-fixed, paraffin embedded (Mouse colon), Antigen retrieval by boiling in sodium citrate buffer (pH6.0) for 15 min, Block endogenous peroxidase by 3% hydrogen peroxide for 20 minutes, Blocking buffer (normal goat serum) at 37°C for 30 min, Antibody incubation with (Phospho-HDAC4 (Ser246) + HDAC5 (Ser259) + HDAC7 (Ser155)) Polyclonal Antibody, Unconjugated (orb6132) at 1:200 overnight at 4°C, followed by operating according to SP Kit (Rabbit) instructions and DAB staining.

Sample: Hela (Human) Cell Lysate at 30 ug, 293T (Human) Cell Lysate at 30 ug, Primary: Anti-Phospho-HDAC4 (Ser246) + HDAC5 (Ser259) + HDAC7 (Ser155) (orb6132) at 1/1000 dilution, Secondary: IRDye800CW Goat Anti-Rabbit IgG at 1/20000 dilution, Predicted band size: 119 kD, Observed band size: 119 kD.
风险提示:丁香通仅作为第三方平台,为商家信息发布提供平台空间。用户咨询产品时请注意保护个人信息及财产安全,合理判断,谨慎选购商品,商家和用户对交易行为负责。对于医疗器械类产品,请先查证核实企业经营资质和医疗器械产品注册证情况。
技术资料暂无技术资料 索取技术资料
Phospho-HDAC4 (Ser246) + HDAC5 (Ser259) + HDAC7 (Ser155) Rabbit Polyclonal Antibody抗体,orb6132,biorbyt
¥3120










