相关产品推荐更多 >

phospho-AKT1 + AKT2 + AKT3 (Thr308+Thr309+Thr305) Antibody (BF555) 抗体,orb1586397,Biorbyt
¥4796
MEAF6 Antibody - C-terminal region : FITC 抗体,orb2136936,Biorbyt
¥8216
MAGEB16 Antibody (C-term) 抗体,orb1934454,Biorbyt
¥7293
B3GALNT2 Antibody抗体,orb625019,biorbyt
¥2860
RPN1 Antibody - N-terminal region : Biotin 抗体,orb2125621,Biorbyt
¥8216
万千商家帮你免费找货
0 人在求购买到急需产品
- 详细信息
- 文献和实验
- 技术资料
- 抗体名:
GRP78 Antibody (Biotin)抗体
- 抗体英文名:
GRP78 Antibody (Biotin)
- 靶点:
GRP78
- 浓度:
1 mg/ml
- 应用范围:
ELISA, ICC, IF, WB
- 宿主:
Mouse
- 适应物种:
Human, Mouse, Rat
- 保质期:
6-12个月
- 抗原来源:
详询
- 目录编号:
orb181937
- 级别:
科研级
- 库存:
88
- 供应商:
biorbyt
- 标记物:
Biotin
- 克隆性:
Monoclonal
- 亚型:
IgG1 Kappa
- 免疫原:
Full-length recombinant rat GRP78
- 规格:
100 ug
别名:GRP78, GRP-78, Grp78, GRP 78, HSPA5, HSPA 5, Heat shock 70 kDa protein 5, Heat Shock 70kDa Protein 5, BiP, BIP, Binding immunoglobulin protein, Immunoglobulin heavy chain-binding protein, Immunoglobulin Heavy Chain Binding Protein, Endoplasmic reticulum lumenal Ca(2+)-binding protein grp78, Endoplasmic reticulum lumenal, Ca2+ binding protein grp78, Glucose Regulated Protein 78kDa, 78 kDa glucose-regulated protein, 78 kDa glucose regulated protein, HSCe70, MIF2, mBiP, Sez7, AL022860, AU019543, D2Wsu141e, D2Wsu17e, FLJ26106, GRP78_HUMAN
免疫原:Full-length recombinant rat GRP78
克隆性:3G12-1G11
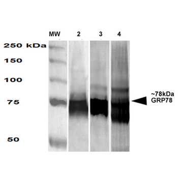
分子量:78kDa
应用稀释比例:WB (1:1000), ICC/IF (1:100)
应用注释:1 µg/ml of SMC-211 was sufficient for detection of GRP78 in 20 µg of HEK-293 lysate by colorimetric immunoblot analysis using Goat anti-mouse IgG:HRP as the secondary antibody.
防腐剂:136.36mM Ethanolamine, 133.23 mM Chlorides, 9.55mM Phosphates, 9.55mM Sodium Bicarbonate
纯化:Protein G Purified
保存说明:Conjugated antibodies should be stored according to the product label
NCBI:NP_037215.1
Entrez:25617
UniProt ID:P06761
Note:For research use only.



风险提示:丁香通仅作为第三方平台,为商家信息发布提供平台空间。用户咨询产品时请注意保护个人信息及财产安全,合理判断,谨慎选购商品,商家和用户对交易行为负责。对于医疗器械类产品,请先查证核实企业经营资质和医疗器械产品注册证情况。
文献和实验The Avidin-Biotin Complex (ABC) Method and Other Avidin-Biotin Binding Methods
These methods involve, at their core, the vitamin biotin and the protein avidin, which bind together irreversibly. By establishing a biotin link, through avidin, between the horseradish peroxidase enzyme and a secondary antibody reagent
The Avidin-Biotin Complex(ABC) Method
, between the horseradish peroxidase enzyme and a secondary antibody reagent, enzyme localization can be achieved at the site of primary antibody interaction with the specimen (see ) Fig. 1 ). The biotin molecule is small and can be easily conjugated to immunoglobulin
sample to 1 mg/ml (or less). Prepare 1 mg/ml solution of NHS-Biotin in DMSO. Add NHS-Biotin in DMSO to antibody at desired ratio e.g. for 1:8 ratio add 125 ml of NHS-Biotin to 1mg of Ab Incubate on rotator for 4 hours at room
技术资料暂无技术资料 索取技术资料






