相关产品推荐更多 >
万千商家帮你免费找货
0 人在求购买到急需产品
- 详细信息
- 文献和实验
- 技术资料
- 抗体名:
TMEM45A Antibody抗体
- 抗体英文名:
TMEM45A Antibody
- 靶点:
TMEM45A
- 应用范围:
ELISA, IF, IHC
- 宿主:
Rabbit
- 适应物种:
Human
- 保质期:
6-12个月
- 抗原来源:
详询
- 目录编号:
orb357227
- 级别:
科研级
- 库存:
88
- 供应商:
biorbyt
- 标记物:
Unconjugated
- 克隆性:
Polyclonal
- 形态:
Liquid
- 亚型:
IgG
- 免疫原:
Recombinant Human Transmembrane protein 45A protein (171-217AA)
- 规格:
50 ug
产品描述:This TMEM45A Antibody is an unconjugated polyclonal product. It tagets TMEM45A using a Recombinant Human Transmembrane protein 45A protein (171-217AA) as the immunogen. This antibody is suitable for ELISA, IF, IHC. Purification: >95%, Protein G purified.
别名:anti-Transmembrane protein 45A antibody, anti-TMEM45A antibody, anti-DERP7 antibody, anti-DNAPTP4 antibody, anti-DNA polymerase-transactivated protein 4 antibody, anti-Dermal papilla-derived protein 7 antibody
免疫原:Recombinant Human Transmembrane protein 45A protein (171-217AA)
应用稀释比例:IHC-P:1:20-200, IF:1:50-200
防腐剂: 0.03% Proclin 300. Constituents: 50% Glycerol
纯化:>95%, Protein G purified
保存说明:Maintain refrigerated at 2-8°C for up to 2 weeks. For long term storage store at -20°C in small aliquots to prevent freeze-thaw cycles.
Pubmed:31527554, 34020244, 35008313
UniProt ID:Q9NWC5
Note:For research use only.



别名:anti-Transmembrane protein 45A antibody, anti-TMEM45A antibody, anti-DERP7 antibody, anti-DNAPTP4 antibody, anti-DNA polymerase-transactivated protein 4 antibody, anti-Dermal papilla-derived protein 7 antibody
免疫原:Recombinant Human Transmembrane protein 45A protein (171-217AA)
应用稀释比例:IHC-P:1:20-200, IF:1:50-200
防腐剂: 0.03% Proclin 300. Constituents: 50% Glycerol
纯化:>95%, Protein G purified
保存说明:Maintain refrigerated at 2-8°C for up to 2 weeks. For long term storage store at -20°C in small aliquots to prevent freeze-thaw cycles.
Pubmed:31527554, 34020244, 35008313
UniProt ID:Q9NWC5
Note:For research use only.

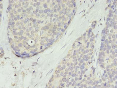
Immunohistochemistry staining of human gastric cancer using TMEM45A antibody

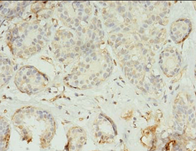
Immunohistochemistry staining of human breast cancer using TMEM45A antibody

Immunofluorescent analysis of A2780 cells using TMEM45A antibody
风险提示:丁香通仅作为第三方平台,为商家信息发布提供平台空间。用户咨询产品时请注意保护个人信息及财产安全,合理判断,谨慎选购商品,商家和用户对交易行为负责。对于医疗器械类产品,请先查证核实企业经营资质和医疗器械产品注册证情况。
文献和实验该产品被引用文献
Alföldi, Róbert et al. Single Cell Mass Cytometry of Non-Small Cell Lung Cancer Cells Reveals Complexity of In vivo And Three-Dimensional Models over the Petri-dish Cells, 8, (2019), Kulmány, Ágnes E. et al. Antiproliferative and antimetastatic characterization of an exo-heterocyclic androstane derivative against human breast cancer cell lines Biomed Pharmacother, 140, 111728 (2021), Neuperger, Patrícia et al. Analysis of the Single-Cell Heterogeneity of Adenocarcinoma Cell Lines and the Investigation of Intratumor Heterogeneity Reveals the Expression of Transmembrane Protein 45A (TMEM45A) in Lung Adenocarcinoma Cancer Patients Cancers (Basel), 14, 144 (2021)
技术资料暂无技术资料 索取技术资料
文献支持
TMEM45A Antibody抗体,orb357227,biorbyt
¥2990










