相关产品推荐更多 >

BAT1 Antibody - C-terminal region : Biotin 抗体,orb2131949,Biorbyt
¥8216
Rat IgA heavy chain Antibody (Biotin) 抗体,orb1735347,Biorbyt
¥6357
Esrp2 Antibody - C-terminal region : FITC 抗体,orb2122089,Biorbyt
¥8216
TIGD3 Antibody - N-terminal region : FITC 抗体,orb2113572,Biorbyt
¥7345
IFNA1 Antibody (BF647) 抗体,orb1600689,Biorbyt
¥4796
万千商家帮你免费找货
0 人在求购买到急需产品
- 详细信息
- 文献和实验
- 技术资料
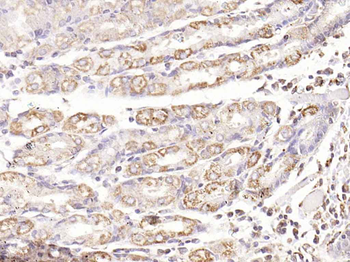
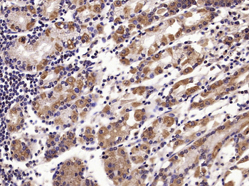
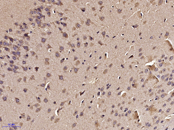
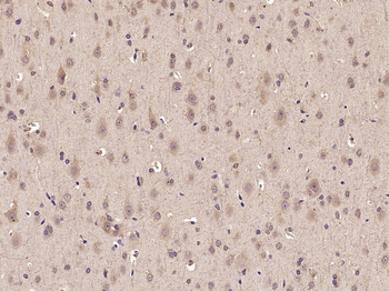
- 抗体名:
Phospho-TAK1 (Thr187) Rabbit Polyclonal Antibody抗体
- 抗体英文名:
Phospho-TAK1 (Thr187) Rabbit Polyclonal Antibody
- 靶点:
MAP3K7
- 浓度:
1mg/ml
- 应用范围:
FC, IF, IHC-Fr, IHC-P, WB
- 宿主:
Rabbit
- 适应物种:
Human, Mouse, Rat
- 保质期:
6-12个月
- 抗原来源:
详询
- 目录编号:
orb7049
- 级别:
科研级
- 库存:
88
- 供应商:
biorbyt
- 标记物:
Unconjugated
- 克隆性:
Polyclonal
- 形态:
Liquid
- 亚型:
IgG
- 免疫原:
KLH conjugated Synthesised phosphopeptide derived from human TAK1 around the phosphorylation site of Thr187 HM(p-T)NN
- 规格:
50 ul
别名:TAK1(phospho T187); TAK1(phospho Thr187); TAK1(phospho T187); MAP3K7; Mitogen-activated protein kinase kinase kinase 7; Transforming growth factor-beta-activated kinase 1; TGF-beta-activated kinase 1; MAP3K 7; MAPKKK7; Mitogen activated protein kinase kinase kinase 7; TAK1; TGF beta activated kinase 1; TGF1a; Transforming growth factor beta activated kinase 1; M3K7_HUMAN; Map3k7; MEKK7; TGF-beta-activated kinase 1; TGF1a; Transforming growth factor-beta-activated kinase 1.
免疫原:KLH conjugated Synthesised phosphopeptide derived from human TAK1 around the phosphorylation site of Thr187 HM(p-T)NN
预测反应性:Bovine, Equine, Gallus, Porcine, Rabbit
分子量:67 kDa
应用稀释比例:WB=1:500-2000, IHC-P=1:100-500, IHC-F=1:100-500, IF=1:100-500, Flow-Cyt=1μg/Test
防腐剂:0.01M TBS (pH7.4) with 1% rAlbumin, 0.02% Proclin300 and 50% Glycerol.
纯化:Affinity purified by Protein A
保存说明:Maintain refrigerated at 2-8°C for up to 2 weeks. For long term storage store at -20°C in small aliquots to prevent freeze-thaw cycles.
UniProt ID:O43318
Note:For research use only.







风险提示:丁香通仅作为第三方平台,为商家信息发布提供平台空间。用户咨询产品时请注意保护个人信息及财产安全,合理判断,谨慎选购商品,商家和用户对交易行为负责。对于医疗器械类产品,请先查证核实企业经营资质和医疗器械产品注册证情况。
文献和实验到 PVDF 膜上,同时减少蛋白不必要降解,这对于最终获得清晰、可信结果也是需要考虑因素。抗体信息:1.ACC1, Recombinant Rabbit monoclonal IgG. HuaAn. HuaAn biotechnology , inc.2.ATGL, Mouse mAb IgG1, Cat#:RT1058. HuaAn biotechnology , inc.3.p-PERK(Thr981), Rabbit Polyclonal IgG primary antibodies, Cat
dongreyuan 有的抗体名称上面写着Ab-33,比如,β-catenin(Ab-33)antibody,请问,Ab-33是什么意思? bettyzyj 这个抗体是非磷酸化的抗体non-phospho-antibody ,33 代表的是基因位点 dongreyuan 谢谢了 yhwangcams bettyzyj wrote
(Ser473)(193H12)Rabbit mAb,1:300,稀释,二抗是驴抗兔,1:2000,我是实验室的新手,刚呆俩月,受 此挫折,一头雾水,请过来人或者有经验的同学帮忙解答怎样解决,非常感谢! 碧峤 pAkt有两个位点,Ser473和Thr308,其中Ser473相对容易显色。如果显色失败,可能的原因:1 上样量过少,我们一般都是30μg;2 一抗孵育时间过短,我们一般24h~48h;3 一抗是否工作有待排除 米宝
技术资料暂无技术资料 索取技术资料






