相关产品推荐更多 >

Anti-alpha smooth muscle Actin/RBITC 抗体,orb1081902,Biorbyt
¥4796
Thyroglobulin Antibody抗体,orb668396,biorbyt
¥1560
Aromatase Antibody 抗体,orb1732290,Biorbyt
¥3795
Metabotropic Glutamate Receptor 5 (GPRC1E) Antibody (C-term T1003) 抗体,orb1930074,Biorbyt
¥7293
ZFP57 Antibody - N-terminal region : FITC 抗体,orb2126244,Biorbyt
¥7345
万千商家帮你免费找货
0 人在求购买到急需产品
- 详细信息
- 文献和实验
- 技术资料
- 抗体名:
Anti-Tumor associated glycoprotein (TAG) 72 [B72.3 (Satumomab)]抗体
- 抗体英文名:
Anti-Tumor associated glycoprotein (TAG) 72 [B72.3 (Satumomab)]
- 靶点:
Tumor associated glycoprotein (TAG) 72
- 浓度:
1 mg/ml
- 应用范围:
FC, IHC
- 宿主:
Mouse
- 适应物种:
Human
- 保质期:
6-12个月
- 抗原来源:
详询
- 目录编号:
orb348881
- 级别:
科研级
- 库存:
88
- 供应商:
biorbyt
- 标记物:
Unconjugated
- 克隆性:
Monoclonal
- 亚型:
Mouse IgG
- 免疫原:
Tumour-associated glycoprotein 72 is a glycoprotein found on the surface of many cancer cells, including ovary, breast, colon, and pancreatic cells.
- 规格:
0.2 mg
产品描述:Rabbit monoclonal antibody to TAG 72
别名:TAG-72
免疫原:Tumour-associated glycoprotein 72 is a glycoprotein found on the surface of many cancer cells, including ovary, breast, colon, and pancreatic cells.
克隆性:B72.3 (Satumomab)
纯度:Purified
防腐剂:PBS with 0.02% Proclin 300.
保存说明:Maintain refrigerated at 2-8°C for up to 2 weeks. For long term storage store at -20°C in small aliquots to prevent freeze-thaw cycles.
Pubmed:2315476
Note:For research use only.



别名:TAG-72
免疫原:Tumour-associated glycoprotein 72 is a glycoprotein found on the surface of many cancer cells, including ovary, breast, colon, and pancreatic cells.
克隆性:B72.3 (Satumomab)
纯度:Purified
防腐剂:PBS with 0.02% Proclin 300.
保存说明:Maintain refrigerated at 2-8°C for up to 2 weeks. For long term storage store at -20°C in small aliquots to prevent freeze-thaw cycles.
Pubmed:2315476
Note:For research use only.

Immunofluorescent staining of human rectal carcinoma using anti-TAG72 antibody. Formaldehyde-fixed human rectal carcinoma slices were stained with orb348841 at 5 µg/ml and detected with a Cy3-conjugated secondary antibody.

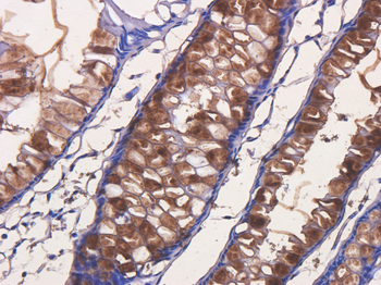
Immunohistochemical staining of human ovarian cancer using anti-TAG72 antibody. Formalin fixed human ovarian cancer slices were were stained with orb348841 at 5 µg/ml.

Immunohistochemical staining of human rectal carcinoma using anti-TAG72 antibody. Formalin fixed human rectal carcinoma slices were were stained with orb348841 at 5 µg/ml.
风险提示:丁香通仅作为第三方平台,为商家信息发布提供平台空间。用户咨询产品时请注意保护个人信息及财产安全,合理判断,谨慎选购商品,商家和用户对交易行为负责。对于医疗器械类产品,请先查证核实企业经营资质和医疗器械产品注册证情况。
文献和实验该产品被引用文献
Abdel-Nabi, H. et al. In-111-labeled monoclonal antibody immunoscintigraphy in colorectal carcinoma: safety, sensitivity, and preliminary clinical results Radiology, 175, 163-171 (1990)
技术资料暂无技术资料 索取技术资料
文献支持
Anti-Tumor associated glycoprotein (TAG) 72 [B72.3 (Satumomab)]抗体,orb348881,biorbyt
¥6890


![Anti-Tumor associated glycoprotein (TAG) 72 [B72.3 (Satumomab)]抗体,orb348881,biorbyt](https://img1.dxycdn.com/p/s14/2025/1203/171/0004241594798316991.jpg)


