产品描述:Phospho-SGK1 (Ser78) Rabbit Polyclonal Antibody
别名:SGK1(phospho S78); p-SGK1(phospho S78); Serine/threonine protein kinase SGK; Serine/threonine protein kinase Sgk1; Serine/threonine-protein kinase Sgk1; Serum and glucocorticoid regulated kinase; Serum/glucocorticoid regulated kinase 1; Serum/glucocorticoid regulated kinase; Serum/glucocorticoid-regulated kinase 1; SGK 1; SGK; SGK1; SGK1_HUMAN.
免疫原:KLH conjugated Synthesised phosphopeptide derived from human SGK1 around the phosphorylation site of Ser78 PP(p-S)PS
预测反应性:Bovine, Canine, Equine, Porcine
分子量:49 kDa
应用稀释比例:WB=1:500-2000, IHC-P=1:100-500, IHC-F=1:100-500, IF=1:100-500
防腐剂:0.01M TBS (pH7.4) with 1% rAlbumin, 0.02% Proclin300 and 50% Glycerol.
纯化:Affinity purified by Protein A
保存说明:Maintain refrigerated at 2-8°C for up to 2 weeks. For long term storage store at -20°C in small aliquots to prevent freeze-thaw cycles.
UniProt ID:O00141
Note:For research use only.
Blank control: Mouse spleen. Primary Antibody (green line): Rabbit Anti-SGK1 antibody (orb6930), dilution: 2 µg/10^6 cells, Isotype Control Antibody (orange line): Rabbit IgG. Secondary Antibody: Goat anti-rabbit IgG-PE, dilution: 1 µg/Test. Protocol, The cells were fixed with 4% PFA (10 min at room temperature) and then permeabilized with 90% ice-cold methanol for 20 min at -20°C. The cells were then incubated in 5% BSA to block non-specific protein-protein interactions for 30 min at at room temperature. Cells stained with Primary Antibody for 30 min at room temperature. The secondary antibody used for 40 min at room temperature. Acquisition of 20000 events was performed.

Hela cell, 4% Fixative-fixed, Triton X-100 at room temperature for 20 min, Blocking buffer (normal goat serum) at 37°C for 20 min, Antibody incubation with (Phospho-SGK1 (Ser78)) polyclonal Antibody, Unconjugated (orb6930) 1:25, 90 minutes at 37°C, followed by a conjugated Goat Anti-Rabbit IgG antibody at 37°C for 90 minutes, DAPI (blue) was used to stain the cell nuclei.
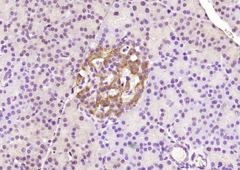
Fixative-fixed, paraffin embedded (mouse pancreas), Antigen retrieval by boiling in sodium citrate buffer (pH6.0) for 15 min, Block endogenous peroxidase by 3% hydrogen peroxide for 20 minutes, Blocking buffer (normal goat serum) at 37°C for 30 min, Antibody incubation with (Phospho-SGK1 (Ser78)) Polyclonal Antibody, Unconjugated (orb6930) at 1:200 overnight at 4°C, followed by operating according to SP Kit (Rabbit) instructionsand DAB staining.
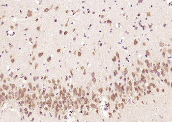
Fixative-fixed, paraffin embedded (rat brain), Antigen retrieval by boiling in sodium citrate buffer (pH6.0) for 15 min, Block endogenous peroxidase by 3% hydrogen peroxide for 20 minutes, Blocking buffer (normal goat serum) at 37°C for 30 min, Antibody incubation with (Phospho-SGK1 (Ser78)) Polyclonal Antibody, Unconjugated (orb6930) at 1:200 overnight at 4°C, followed by operating according to SP Kit (Rabbit) instructionsand DAB staining.
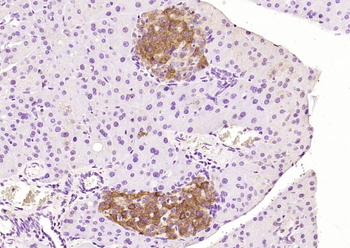
Fixative-fixed, paraffin embedded (rat pancreas), Antigen retrieval by boiling in sodium citrate buffer (pH6.0) for 15 min, Block endogenous peroxidase by 3% hydrogen peroxide for 20 minutes, Blocking buffer (normal goat serum) at 37°C for 30 min, Antibody incubation with (Phospho-SGK1 (Ser78)) Polyclonal Antibody, Unconjugated (orb6930) at 1:200 overnight at 4°C, followed by operating according to SP Kit (Rabbit) instructionsand DAB staining.
Sample: A431 lysate at 30 ug, Primary: Rabbit Anti-Phospho-SGK1 (orb6930) at 1:300, Secondary:IRDye800CW Goat Anti-Rabbit IgG at 1/20000 dilution, Predicted band size: 49 kD, Observed band size: 49 kD.
Sample: Lane 1: Mouse Cerebrum tissue lysates, Lane 2: Rat Cerebrum tissue lysates, Primary: Anti-Phospho-SGK1 (Ser78) (orb6930) at 1/1000 dilution, Secondary: IRDye800CW Goat Anti-Rabbit IgG at 1/20000 dilution, Predicted band size: 49 kDa, Observed band size: 49 kDa.
Sample: Pancreas (Mouse) Lysate at 40 ug, Primary: Anti-Phospho-SGK1 (Ser78) (orb6930) at 1/1000 dilution, Secondary: IRDye800CW Goat Anti-Rabbit IgG at 1/20000 dilution, Predicted band size: 49 kD, Observed band size: 50 kD.
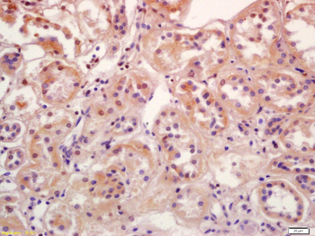
Tissue/Cell: human kidney tissue, 4% Fixative-fixed and paraffin-embedded, Antigen retrieval: citrate buffer (0.01M, pH6.0), Boiling bathing for 15 min, Block endogenous peroxidase by 3% Hydrogen peroxide for 30 min, Blocking buffer (normal goat serum) at 37°C for 20 min, Incubation: Anti-Phospho-SGK1 (Ser78) Polyclonal Antibody, Unconjugated (orb6930) 1:200, overnight at 4°C, followed by conjugation to the secondary antibody and DAB staining.