相关产品推荐更多 >
万千商家帮你免费找货
0 人在求购买到急需产品
- 详细信息
- 技术资料
- 抗体名:
Phospho-RPS6KB1 (Ser417) Rabbit Polyclonal Antibody抗体
- 抗体英文名:
Phospho-RPS6KB1 (Ser417) Rabbit Polyclonal Antibody
- 靶点:
RPS6KB1
- 浓度:
1mg/ml
- 应用范围:
ICC, IF, IHC-Fr, IHC-P
- 宿主:
Rabbit
- 适应物种:
Human, Mouse, Rat
- 保质期:
6-12个月
- 抗原来源:
详询
- 目录编号:
orb6610
- 级别:
科研级
- 库存:
88
- 供应商:
biorbyt
- 标记物:
Unconjugated
- 克隆性:
Polyclonal
- 形态:
Liquid
- 亚型:
IgG
- 免疫原:
KLH conjugated Synthesised phosphopeptide derived from human RPS6KB1 around the phosphorylation site of Ser417 AP(p-S)VL
- 规格:
50 ul
产品描述:Phospho-RPS6KB1 (Ser417) Rabbit Polyclonal Antibody
别名:RPS6KB1(phospho S417); RPS6KB1(phospho Ser417); p-RPS6KB1(Ser417); p70(S6K)-alpha; ribosomal protein S6 kinase; p70 S6 Kinase; P70 beta1; KS6B1_HUMAN; Ribosomal protein S6 kinase beta-1; 70 kDa ribosomal protein S6 kinase 1; P70S6K1; p70-S6K 1; Ribosomal protein S6 kinase I; Serine/threonine-protein kinase 14A; p70 ribosomal S6 kinase alpha; p70 S6 kinase alpha; p70 S6K-alpha; p70 S6KA; S6K; PS6K; S6K1; STK14A; p70-S6K; p70 S6KA; p70-alpha; S6K-beta-1; p70(S6K)-alpha.
免疫原:KLH conjugated Synthesised phosphopeptide derived from human RPS6KB1 around the phosphorylation site of Ser417 AP(p-S)VL
预测反应性:Bovine, Equine, Gallus, Porcine
分子量:58 kDa
应用稀释比例:IHC-P=1:100-500, IHC-F=1:100-500, ICC/IF=1:100-500, IF=1:100-500
防腐剂:0.01M TBS (pH7.4) with 1% rAlbumin, 0.02% Proclin300 and 50% Glycerol.
纯化:Affinity purified by Protein A
保存说明:Maintain refrigerated at 2-8°C for up to 2 weeks. For long term storage store at -20°C in small aliquots to prevent freeze-thaw cycles.
UniProt ID:P23443
Note:For research use only.





别名:RPS6KB1(phospho S417); RPS6KB1(phospho Ser417); p-RPS6KB1(Ser417); p70(S6K)-alpha; ribosomal protein S6 kinase; p70 S6 Kinase; P70 beta1; KS6B1_HUMAN; Ribosomal protein S6 kinase beta-1; 70 kDa ribosomal protein S6 kinase 1; P70S6K1; p70-S6K 1; Ribosomal protein S6 kinase I; Serine/threonine-protein kinase 14A; p70 ribosomal S6 kinase alpha; p70 S6 kinase alpha; p70 S6K-alpha; p70 S6KA; S6K; PS6K; S6K1; STK14A; p70-S6K; p70 S6KA; p70-alpha; S6K-beta-1; p70(S6K)-alpha.
免疫原:KLH conjugated Synthesised phosphopeptide derived from human RPS6KB1 around the phosphorylation site of Ser417 AP(p-S)VL
预测反应性:Bovine, Equine, Gallus, Porcine
分子量:58 kDa
应用稀释比例:IHC-P=1:100-500, IHC-F=1:100-500, ICC/IF=1:100-500, IF=1:100-500
防腐剂:0.01M TBS (pH7.4) with 1% rAlbumin, 0.02% Proclin300 and 50% Glycerol.
纯化:Affinity purified by Protein A
保存说明:Maintain refrigerated at 2-8°C for up to 2 weeks. For long term storage store at -20°C in small aliquots to prevent freeze-thaw cycles.
UniProt ID:P23443
Note:For research use only.

Hela cell, Triton X-100 at room temperature for 20 min, Blocking buffer (normal goat serum) at 37°C for 20 min, Antibody incubation with (phospho-RPS6KB1 (Ser417)) polyclonal Antibody, Unconjugated (orb6610) 1:100, 90 minutes at 37°C, followed by a conjugated Goat Anti-Rabbit IgG antibody at 37°C for 90 minutes, DAPI (blue) was used to stain the cell nuclei.

NIH/3T3 cell, 4% Fixative-fixed, Triton X-100 at room temperature for 20 min, Blocking buffer (normal goat serum) at 37°C for 20 min, Antibody incubation with (phospho-RPS6KB1 (Ser417) polyclonal Antibody, Unconjugated (orb6610) 1:100, 90 minutes at 37°C, followed by a conjugated Goat Anti-Rabbit IgG antibody at 37°C for 90 minutes, DAPI (blue) was used to stain the cell nuclei.

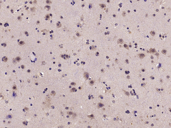
Fixative-fixed, paraffin embedded (Human brain glioma), Antigen retrieval by microwave in sodium citrate buffer (pH6.0), Block endogenous peroxidase by 3% hydrogen peroxide for 30 minutes, Blocking buffer (3% BSA) at RT for 30 min, Antibody incubation with (phospho-RPS6KB1 (Ser417)) Polyclonal Antibody, Unconjugated (orb6610) at 1:400 overnight at 4°C, followed by conjugation to the secondary antibody (labeled with HRP) and DAB staining.

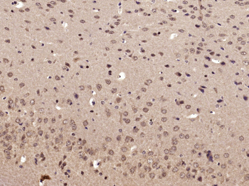
Fixative-fixed, paraffin embedded (Mouse brain), Antigen retrieval by microwave in sodium citrate buffer (pH6.0), Block endogenous peroxidase by 3% hydrogen peroxide for 30 minutes, Blocking buffer (3% BSA) at RT for 30 min, Antibody incubation with (phospho-RPS6KB1 (Ser417)) Polyclonal Antibody, Unconjugated (orb6610) at 1:400 overnight at 4°C, followed by conjugation to the secondary antibody (labeled with HRP) and DAB staining.

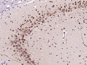
Fixative-fixed, paraffin embedded (Rat brain), Antigen retrieval by microwave in sodium citrate buffer (pH6.0), Block endogenous peroxidase by 3% hydrogen peroxide for 30 minutes, Blocking buffer (3% BSA) at RT for 30 min, Antibody incubation with (phospho-RPS6KB1 (Ser417)) Polyclonal Antibody, Unconjugated (orb6610) at 1:400 overnight at 4°C, followed by conjugation to the secondary antibody (labeled with HRP) and DAB staining.
风险提示:丁香通仅作为第三方平台,为商家信息发布提供平台空间。用户咨询产品时请注意保护个人信息及财产安全,合理判断,谨慎选购商品,商家和用户对交易行为负责。对于医疗器械类产品,请先查证核实企业经营资质和医疗器械产品注册证情况。
技术资料暂无技术资料 索取技术资料
Phospho-RPS6KB1 (Ser417) Rabbit Polyclonal Antibody抗体,orb6610,biorbyt
¥3120










