相关产品推荐更多 >
万千商家帮你免费找货
0 人在求购买到急需产品
- 详细信息
- 技术资料
- 抗体名:
Phospho-PTPN6 (Ser591) Rabbit Polyclonal Antibody抗体
- 抗体英文名:
Phospho-PTPN6 (Ser591) Rabbit Polyclonal Antibody
- 靶点:
PTPN6
- 浓度:
1mg/ml
- 应用范围:
FC, IF, IHC-Fr, IHC-P, WB
- 宿主:
Rabbit
- 适应物种:
Human, Rat
- 保质期:
6-12个月
- 抗原来源:
详询
- 目录编号:
orb6957
- 级别:
科研级
- 库存:
88
- 供应商:
biorbyt
- 标记物:
Unconjugated
- 克隆性:
Polyclonal
- 形态:
Liquid
- 亚型:
IgG
- 免疫原:
KLH conjugated Synthesised phosphopeptide derived from human PTPN6 around the phosphorylation site of Ser591 KG(p-S)LK
- 规格:
50 ul
产品描述:Phospho-PTPN6 (Ser591) Rabbit Polyclonal Antibody
别名:PTPN6(phospho S591); SHP1(phospho S591); p-SHP1(Ser591); SHP-1(phospho-Tyr591); PTPN6(phospho Y591); PTPN6(phospho Y591); SHP1; 70 kda SHP 1L protein; 70 kda SHP1L protein; 70Z-SHP; EC 3.1.3.48; HCP; HCPH; Hematopoietic cell phosphatase; Hematopoietic cell protein tyrosine phosphatase; Hematopoietic cell protein-tyrosine phosphatase; HPTP 1C; HPTP1C; MGC124580; Protein tyrosine phosphatase 1C; Protein tyrosine phosphatase non receptor type 6; Protein tyrosine phosphatase SHP 1; Protein tyrosine phosphatase SHP1; Protein-tyrosine phosphatase 1C; Protein-tyrosine phosphatase SHP-1; PTN6_HUMAN; PTP 1C; PTP-1C; PTP1C; PTPN 6; PTPN6; SH PTP 1; SH PTP1; SH-PTP1; SHP 1; SHP 1L; SHP1L; SHPTP 1; SHPTP1; Tyrosine protein phosphatase non receptor type 6; Tyrosine-protein phosphatase non-receptor type 6.
免疫原:KLH conjugated Synthesised phosphopeptide derived from human PTPN6 around the phosphorylation site of Ser591 KG(p-S)LK
预测反应性:Canine, Equine, Mouse, Porcine
分子量:65 kDa
应用稀释比例:WB=1:500-2000, IHC-P=1:100-500, IHC-F=1:100-500, IF=1:100-500, Flow-Cyt=1μg/Test
防腐剂:0.01M TBS (pH7.4) with 1% rAlbumin, 0.02% Proclin300 and 50% Glycerol.
纯化:Affinity purified by Protein A
保存说明:Maintain refrigerated at 2-8°C for up to 2 weeks. For long term storage store at -20°C in small aliquots to prevent freeze-thaw cycles.
UniProt ID:P29350
Note:For research use only.



别名:PTPN6(phospho S591); SHP1(phospho S591); p-SHP1(Ser591); SHP-1(phospho-Tyr591); PTPN6(phospho Y591); PTPN6(phospho Y591); SHP1; 70 kda SHP 1L protein; 70 kda SHP1L protein; 70Z-SHP; EC 3.1.3.48; HCP; HCPH; Hematopoietic cell phosphatase; Hematopoietic cell protein tyrosine phosphatase; Hematopoietic cell protein-tyrosine phosphatase; HPTP 1C; HPTP1C; MGC124580; Protein tyrosine phosphatase 1C; Protein tyrosine phosphatase non receptor type 6; Protein tyrosine phosphatase SHP 1; Protein tyrosine phosphatase SHP1; Protein-tyrosine phosphatase 1C; Protein-tyrosine phosphatase SHP-1; PTN6_HUMAN; PTP 1C; PTP-1C; PTP1C; PTPN 6; PTPN6; SH PTP 1; SH PTP1; SH-PTP1; SHP 1; SHP 1L; SHP1L; SHPTP 1; SHPTP1; Tyrosine protein phosphatase non receptor type 6; Tyrosine-protein phosphatase non-receptor type 6.
免疫原:KLH conjugated Synthesised phosphopeptide derived from human PTPN6 around the phosphorylation site of Ser591 KG(p-S)LK
预测反应性:Canine, Equine, Mouse, Porcine
分子量:65 kDa
应用稀释比例:WB=1:500-2000, IHC-P=1:100-500, IHC-F=1:100-500, IF=1:100-500, Flow-Cyt=1μg/Test
防腐剂:0.01M TBS (pH7.4) with 1% rAlbumin, 0.02% Proclin300 and 50% Glycerol.
纯化:Affinity purified by Protein A
保存说明:Maintain refrigerated at 2-8°C for up to 2 weeks. For long term storage store at -20°C in small aliquots to prevent freeze-thaw cycles.
UniProt ID:P29350
Note:For research use only.

Blank control: Hela cells (fixed with 2% Fixative (10 min), then permeabilized with 90% ice-cold methanol for 30 min on ice). Primary Antibody: Rabbit Anti-phospho-PTPN6 (Ser591) antibody (orb6957), dilution: 1 µg in 100 µl 1X PBS containing 0.5% BSA, Isotype Control Antibody: Rabbit IgG (orange), used under the same conditions, Secondary Antibody: Goat anti-rabbit IgG-PE (white blue), dilution: 1:200 in 1X PBS containing 0.5% BSA.

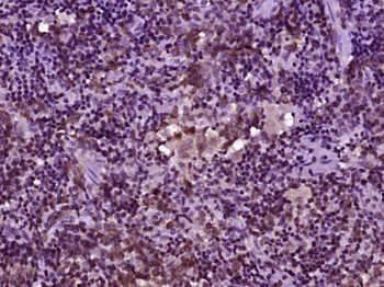
Fixative-fixed, paraffin embedded (rat spleen tissue), Antigen retrieval by boiling in sodium citrate buffer (pH6.0) for 15 min, Block endogenous peroxidase by 3% hydrogen peroxide for 20 minutes, Blocking buffer (normal goat serum) at 37°C for 30 min, Antibody incubation with (PTPN6 (Ser591)) Polyclonal Antibody, Unconjugated (orb6957) at 1:400 overnight at 4°C, followed by operating according to SP Kit (Rabbit) instructionsand DAB staining.

Sample: A549 Cell (Human) Lysate at 40 ug, MCF-7 Cell (Human) Lysate at 40 ug, Primary: Anti-phospho-PTPN6 (Ser591) (orb6957) at 1/300 dilution, Secondary: IRDye800CW Goat Anti-Rabbit IgG at 1/20000 dilution, Predicted band size: 65 kD, Observed band size: 65 kD.
风险提示:丁香通仅作为第三方平台,为商家信息发布提供平台空间。用户咨询产品时请注意保护个人信息及财产安全,合理判断,谨慎选购商品,商家和用户对交易行为负责。对于医疗器械类产品,请先查证核实企业经营资质和医疗器械产品注册证情况。
技术资料暂无技术资料 索取技术资料
Phospho-PTPN6 (Ser591) Rabbit Polyclonal Antibody抗体,orb6957,biorbyt
¥3120










