相关产品推荐更多 >
万千商家帮你免费找货
0 人在求购买到急需产品
- 详细信息
- 文献和实验
- 技术资料
- 抗体名:
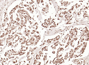
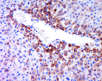
Phospho-Beta Catenin (Thr41 + Ser45) Rabbit Polyclonal Antibody抗体
- 抗体英文名:
Phospho-Beta Catenin (Thr41 + Ser45) Rabbit Polyclonal Antibody
- 靶点:
CTNNB1
- 浓度:
1mg/ml
- 应用范围:
FC, ICC, IF, IHC-Fr, IHC-P
- 宿主:
Rabbit
- 适应物种:
Human, Rat
- 保质期:
6-12个月
- 抗原来源:
详询
- 目录编号:
orb5772
- 级别:
科研级
- 库存:
88
- 供应商:
biorbyt
- 标记物:
Unconjugated
- 克隆性:
Polyclonal
- 形态:
Liquid
- 亚型:
IgG
- 免疫原:
KLH conjugated Synthesised phosphopeptide derived from human Beta-Catenin around the phosphorylation site of Thr41/Ser45 AT(p-T)TAP(p-S)LS
- 规格:
50 ul
别名:CTNB1_HUMAN; Catenin beta-1; catenin beta 1; CTNNB1; Catenin beta; Beta-catenin; CTNNB; OK/SW-cl.35; PRO2286; EVR7; MRD19; NEDSDV; armadillo; βcatenin; β catenin; β-catenin;
免疫原:KLH conjugated Synthesised phosphopeptide derived from human Beta-Catenin around the phosphorylation site of Thr41/Ser45 AT(p-T)TAP(p-S)LS
预测反应性:Bovine, Equine, Gallus, Mouse, Porcine, Rabbit
分子量:86 kDa
应用稀释比例:IHC-P=1:100-500, IHC-F=1:100-500, ICC/IF=1:100-500, IF=1:100-500, Flow-Cyt=1μg /test
防腐剂:0.01M TBS (pH7.4) with 1% rAlbumin, 0.02% Proclin300 and 50% Glycerol.
纯化:Affinity purified by Protein A
保存说明:Maintain refrigerated at 2-8°C for up to 2 weeks. For long term storage store at -20°C in small aliquots to prevent freeze-thaw cycles.
UniProt ID:P35222
Note:For research use only.





风险提示:丁香通仅作为第三方平台,为商家信息发布提供平台空间。用户咨询产品时请注意保护个人信息及财产安全,合理判断,谨慎选购商品,商家和用户对交易行为负责。对于医疗器械类产品,请先查证核实企业经营资质和医疗器械产品注册证情况。
文献和实验的关系理不出头绪。GSK-3 beta 总蛋白减少,p-GSK-3 beta (ser 9)增加,是不是足以说明有活性的GSK-3 beta 减少更多,这样理解不知道对不对,希望给以指点。 galaxy22 楼主你好,请问你做出结果的tyr216的抗体是哪个公司的。。。我做出来总量是减少的,active B catenin是减少的,那我有必要做ser9 和tyr216的磷酸化形式吗?我想研究wnt和akt。。。 棉花糖的温柔
around the phosphorylation site of serine 33 (L-D-SP-G-I)。 http://www.genscript.com/product_001/rec_antibody/code/A00584/category/antibody/Rabbit_Anti_beta-Catenin_Ab-33_polyclonal.html bettyzyj http://www.signalwayantibody.com/resurgam/uppdf/21211.pdf
antibody dilution buffer: TBS-T supplemented with2% (w/v) BSA. 6. Antibodies: Phospho-b-catenin Ser33/Ser37/Thr41, phospho-glycogen synthase Ser641, and glycogen synthase (CellSignaling Technologies, Beverly, MA); b-catenin and GSK-3b(BD PharMingen, San
技术资料暂无技术资料 索取技术资料









