相关产品推荐更多 >
万千商家帮你免费找货
0 人在求购买到急需产品
- 详细信息
- 文献和实验
- 技术资料
- 抗体名:
Ankyrin R Antibody (FITC)抗体
- 抗体英文名:
Ankyrin R Antibody (FITC)
- 靶点:
Ankyrin R
- 浓度:
1 mg/ml
- 应用范围:
ICC, IF, IHC, WB
- 宿主:
Mouse
- 适应物种:
Human, Mouse, Rat
- 保质期:
6-12个月
- 抗原来源:
详询
- 目录编号:
orb376742
- 级别:
科研级
- 库存:
88
- 供应商:
biorbyt
- 标记物:
FITC
- 克隆性:
Monoclonal
- 亚型:
IgG2B
- 免疫原:
Fusion protein amino acids 1-1881 (full-length) of human Ankyrin-R
- 规格:
100 ug
别名:Ankyrin R, Ankyrin-R, Ankyrin-1, Ankyrin 1, ANK1, ANK-1, Ankyrin, Erythrocyte ankyrin, rCG_43073
免疫原:Fusion protein amino acids 1-1881 (full-length) of human Ankyrin-R
克隆性:N388A/10 (Formerly sold as S388A-10)
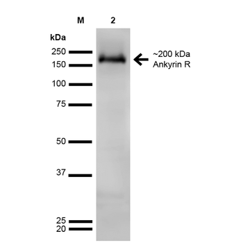
分子量:200kDa
应用稀释比例:WB (1:1000)
应用注释:A 1:100 dilution of SMC-487 was sufficient for detection of Ankyrin R in 20 µg of mouse brain lysate by ECL immunoblot analysis using Goat anti-mouse IgG:HRP as the secondary antibody.
防腐剂:640.91mM DMSO, 136.36 mM Ethanolamine, 126.89 mM chlorides, 9.09mM phosphates, 9.09mM NaHCO3
纯化:Protein G Purified
保存说明:Conjugated antibodies should be stored according to the product label
NCBI:NP_000028.3
Entrez:286
UniProt ID:P16157
Note:For research use only.


风险提示:丁香通仅作为第三方平台,为商家信息发布提供平台空间。用户咨询产品时请注意保护个人信息及财产安全,合理判断,谨慎选购商品,商家和用户对交易行为负责。对于医疗器械类产品,请先查证核实企业经营资质和医疗器械产品注册证情况。
文献和实验Immunoflourescence of Cultured Cells
L primary antibody (titer determined emperically ~10x the concentration used in a western). Cover with a glass slip and place in a humidified chamber at r.t. for 1 hr. 6) Float the coverslip off by dipping into a jar of PBS, and rinse
Cell Surface Immunofluorescence Staining Protocol
. In the mouse, purified anti-mouse CD16/CD32 antibody specific for Fcγ R III/II (BioLegend Cat. #101302, clone 93) can be used to block nonspecific staining of antibodies. In this case, block Fc receptors by pre-incubating cells with 5-10 μg/ml purified anti-CD
Protocol for intracytoplasmic staining of cytokines for FACS analysis
at 37 deg C. Harvest cells and wash into PBS + 0.1% BSA + 0.1% NaN3. 4) Perform any antibody staining of the cell surface that is sensitive to fixation at this stage. If you are using cells with high levels of Fc receptors, and entirely non
技术资料暂无技术资料 索取技术资料










