相关产品推荐更多 >
万千商家帮你免费找货
0 人在求购买到急需产品
- 详细信息
- 技术资料
- 抗体名:
STAT4 Rabbit Polyclonal Antibody抗体
- 抗体英文名:
STAT4 Rabbit Polyclonal Antibody
- 靶点:
STAT4
- 浓度:
1mg/ml
- 应用范围:
ELISA, ICC, WB
- 宿主:
Rabbit
- 适应物种:
Human
- 保质期:
6-12个月
- 抗原来源:
详询
- 目录编号:
orb158505
- 级别:
科研级
- 库存:
88
- 供应商:
biorbyt
- 标记物:
Unconjugated
- 克隆性:
Polyclonal
- 形态:
Liquid
- 亚型:
IgG
- 免疫原:
KLH conjugated synthetic peptide derived from human STAT4 (111-210/748aa)
- 规格:
50 ul
产品描述:STAT4 Rabbit Polyclonal Antibody
别名:signal transducers and activators of transduction 4; CIS4; HSPC060; SOCS4; SOCS6; SSI4; STAI4; STAT 4; STAT4; STATI4; Suppressor of cytokine signaling 6; STAT4_HUMAN.
免疫原:KLH conjugated synthetic peptide derived from human STAT4 (111-210/748aa)
预测反应性:Bovine, Canine, Human, Mouse, Porcine, Rabbit, Rat
分子量:85 kDa
应用稀释比例:WB=1:500-2000, ICC/IF=1:100-500, ELISA=1:5000-10000
防腐剂:0.01M TBS (pH7.4) with 1% rAlbumin, 0.02% Proclin300 and 50% Glycerol.
纯化:Affinity purified by Protein A
保存说明:Maintain refrigerated at 2-8°C for up to 2 weeks. For long term storage store at -20°C in small aliquots to prevent freeze-thaw cycles.
UniProt ID:Q14765
Note:For research use only.

别名:signal transducers and activators of transduction 4; CIS4; HSPC060; SOCS4; SOCS6; SSI4; STAI4; STAT 4; STAT4; STATI4; Suppressor of cytokine signaling 6; STAT4_HUMAN.
免疫原:KLH conjugated synthetic peptide derived from human STAT4 (111-210/748aa)
预测反应性:Bovine, Canine, Human, Mouse, Porcine, Rabbit, Rat
分子量:85 kDa
应用稀释比例:WB=1:500-2000, ICC/IF=1:100-500, ELISA=1:5000-10000
防腐剂:0.01M TBS (pH7.4) with 1% rAlbumin, 0.02% Proclin300 and 50% Glycerol.
纯化:Affinity purified by Protein A
保存说明:Maintain refrigerated at 2-8°C for up to 2 weeks. For long term storage store at -20°C in small aliquots to prevent freeze-thaw cycles.
UniProt ID:Q14765
Note:For research use only.

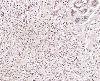
paraffin embedded (human breast carcinoma), Antigen retrieval by boiling in sodium citrate buffer (pH6.0) for 15 min, Block endogenous peroxidase by 3% hydrogen peroxide for 20 minutes, Blocking buffer (normal goat serum) at 37°C for 30 min, Incubation with (STAT4) Polyclonal Antibody, Unconjugated (orb158505) at 1:200 overnight at 4°C, followed by operating according to SP Kit (Rabbit) instructionsand DAB staining.
风险提示:丁香通仅作为第三方平台,为商家信息发布提供平台空间。用户咨询产品时请注意保护个人信息及财产安全,合理判断,谨慎选购商品,商家和用户对交易行为负责。对于医疗器械类产品,请先查证核实企业经营资质和医疗器械产品注册证情况。
技术资料暂无技术资料 索取技术资料
STAT4 Rabbit Polyclonal Antibody抗体,orb158505,biorbyt
¥3120










