相关产品推荐更多 >

NONO Antibody 抗体,orb1731612,Biorbyt
¥3795
Phospho-C-Myc (Thr358) Rabbit Polyclonal Antibody抗体,orb5694,biorbyt
¥3120
GORASP1 Antibody - N-terminal region : FITC 抗体,orb2101236,Biorbyt
¥8216
4933434E20Rik Antibody - N-terminal region : FITC 抗体,orb2106507,Biorbyt
¥8216
DEPTOR Antibody - middle region : Biotin 抗体,orb2094949,Biorbyt
¥8216
万千商家帮你免费找货
0 人在求购买到急需产品
- 详细信息
- 技术资料
- 抗体名:
OAS2 Rabbit Polyclonal Antibody抗体
- 抗体英文名:
OAS2 Rabbit Polyclonal Antibody
- 靶点:
OAS2
- 浓度:
1mg/ml
- 应用范围:
IF, IHC-Fr, IHC-P
- 宿主:
Rabbit
- 适应物种:
Mouse
- 保质期:
6-12个月
- 抗原来源:
详询
- 目录编号:
orb158043
- 级别:
科研级
- 库存:
88
- 供应商:
biorbyt
- 标记物:
Unconjugated
- 克隆性:
Polyclonal
- 形态:
Liquid
- 亚型:
IgG
- 免疫原:
KLH conjugated synthetic peptide derived from human OAS2 (401-500/719aa)
- 规格:
50 ul
产品描述:OAS2 Rabbit Polyclonal Antibody
别名:(2-5'')oligo(A) synthase 2; (2-5')oligo(A) synthetase 2; 2''-5''-oligoadenylate synthase 2; 2'-5'-oligoadenylate synthetase 2; 2'-5'-oligoadenylate synthetase 2, 69/71kDa; 2-5A synthase 2; 2-5A synthetase 2; MGC78578; OAS2; OAS2_HUMAN; p69 OAS/p71 OAS; p69OAS/p71OAS.
免疫原:KLH conjugated synthetic peptide derived from human OAS2 (401-500/719aa)
预测反应性:Canine, Human, Porcine
分子量:82 kDa
应用稀释比例:IHC-P=1:100-500, IHC-F=1:100-500, IF=1:100-500
防腐剂:0.01M TBS (pH7.4) with 1% rAlbumin, 0.02% Proclin300 and 50% Glycerol.
纯化:Affinity purified by Protein A
保存说明:Maintain refrigerated at 2-8°C for up to 2 weeks. For long term storage store at -20°C in small aliquots to prevent freeze-thaw cycles.
UniProt ID:P29728
Note:For research use only.


别名:(2-5'')oligo(A) synthase 2; (2-5')oligo(A) synthetase 2; 2''-5''-oligoadenylate synthase 2; 2'-5'-oligoadenylate synthetase 2; 2'-5'-oligoadenylate synthetase 2, 69/71kDa; 2-5A synthase 2; 2-5A synthetase 2; MGC78578; OAS2; OAS2_HUMAN; p69 OAS/p71 OAS; p69OAS/p71OAS.
免疫原:KLH conjugated synthetic peptide derived from human OAS2 (401-500/719aa)
预测反应性:Canine, Human, Porcine
分子量:82 kDa
应用稀释比例:IHC-P=1:100-500, IHC-F=1:100-500, IF=1:100-500
防腐剂:0.01M TBS (pH7.4) with 1% rAlbumin, 0.02% Proclin300 and 50% Glycerol.
纯化:Affinity purified by Protein A
保存说明:Maintain refrigerated at 2-8°C for up to 2 weeks. For long term storage store at -20°C in small aliquots to prevent freeze-thaw cycles.
UniProt ID:P29728
Note:For research use only.

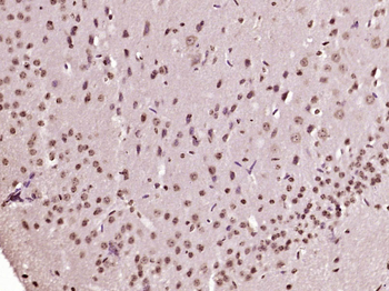
paraffin embedded (Mouse brain), Antigen retrieval by boiling in sodium citrate buffer (pH6.0) for 15 min, Block endogenous peroxidase by 3% hydrogen peroxide for 20 minutes, Blocking buffer (normal goat serum) at 37°C for 30 min, Antibody incubation with (OAS2) Polyclonal Antibody, Unconjugated (orb158043) at 1:400 overnight at 4°C, followed by operating according to SP Kit (Rabbit) instructionsand DAB staining.

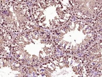
Fixative-fixed, paraffin embedded (Mouse testis), Antigen retrieval by boiling in sodium citrate buffer (pH6.0) for 15 min, Block endogenous peroxidase by 3% hydrogen peroxide for 20 minutes, Blocking buffer (normal goat serum) at 37°C for 30 min, Antibody incubation with (OAS2) Polyclonal Antibody, Unconjugated (orb158043) at 1:400 overnight at 4°C, followed by operating according to SP Kit (Rabbit) instructionsand DAB staining.
风险提示:丁香通仅作为第三方平台,为商家信息发布提供平台空间。用户咨询产品时请注意保护个人信息及财产安全,合理判断,谨慎选购商品,商家和用户对交易行为负责。对于医疗器械类产品,请先查证核实企业经营资质和医疗器械产品注册证情况。
技术资料暂无技术资料 索取技术资料
OAS2 Rabbit Polyclonal Antibody抗体,orb158043,biorbyt
¥3120





