相关产品推荐更多 >
万千商家帮你免费找货
0 人在求购买到急需产品
- 详细信息
- 文献和实验
- 技术资料
- 抗体名:
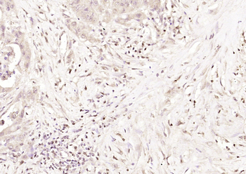
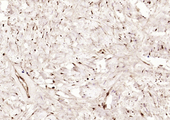
Phospho-CK II beta (Ser209) Rabbit Polyclonal Antibody抗体
- 抗体英文名:
Phospho-CK II beta (Ser209) Rabbit Polyclonal Antibody
- 靶点:
CSNK2B
- 浓度:
1mg/ml
- 应用范围:
IF, IHC-Fr, IHC-P
- 宿主:
Rabbit
- 适应物种:
Human
- 保质期:
6-12个月
- 抗原来源:
详询
- 目录编号:
orb156369
- 级别:
科研级
- 库存:
88
- 供应商:
biorbyt
- 标记物:
Unconjugated
- 克隆性:
Polyclonal
- 形态:
Liquid
- 亚型:
IgG
- 免疫原:
KLH conjugated synthesised phosphopeptide derived from human CK II beta around the phosphorylation site of Ser209 FK(p-S)PV
- 规格:
50 ul
别名:Casein Kinase 2 beta(phospho S209); p-Casein Kinase 2 beta(phospho S209); Casein Kinase 2 beta(p-S209); p-CSK2B(Ser209); phospho-CSK2B(Ser209); Casein kinase 2 beta polypeptide; casein kinase IIβ; Casein kinase II subunit beta; CK II beta; CK2B; CK2N; CSK2B; CSK2B_HUMAN; CSNK 2B; CSNK2B; G5A; MGC138222; MGC138224; Phosvitin; Protein G5a.
免疫原:KLH conjugated synthesised phosphopeptide derived from human CK II beta around the phosphorylation site of Ser209 FK(p-S)PV
预测反应性:Bovine, Mouse, Porcine, Rat
分子量:24 kDa
应用稀释比例:IHC-P=1:100-500, IHC-F=1:100-500, IF=1:100-500
防腐剂:0.01M TBS (pH7.4) with 1% rAlbumin, 0.02% Proclin300 and 50% Glycerol.
纯化:Affinity purified by Protein A
保存说明:Maintain refrigerated at 2-8°C for up to 2 weeks. For long term storage store at -20°C in small aliquots to prevent freeze-thaw cycles.
UniProt ID:P67870
Note:For research use only.


风险提示:丁香通仅作为第三方平台,为商家信息发布提供平台空间。用户咨询产品时请注意保护个人信息及财产安全,合理判断,谨慎选购商品,商家和用户对交易行为负责。对于医疗器械类产品,请先查证核实企业经营资质和医疗器械产品注册证情况。
文献和实验antibody dilution buffer: TBS-T supplemented with2% (w/v) BSA. 6. Antibodies: Phospho-b-catenin Ser33/Ser37/Thr41, phospho-glycogen synthase Ser641, and glycogen synthase (CellSignaling Technologies, Beverly, MA); b-catenin and GSK-3b(BD PharMingen, San
around the phosphorylation site of serine 33 (L-D-SP-G-I)。 http://www.genscript.com/product_001/rec_antibody/code/A00584/category/antibody/Rabbit_Anti_beta-Catenin_Ab-33_polyclonal.html bettyzyj http://www.signalwayantibody.com/resurgam/uppdf/21211.pdf
9921 Phospho-PKC Antibody Sampler Kit 9375 Phospho-PKCalpha/beta II (Thr638/641) Antibody W IP 9374 Phospho-PKCdelta (Thr505) Antibody W IHC 9376 Phospho-PKCdelta/theta (Ser643/676) Antibody W IHC 9377 Phospho-PKCtheta (Thr538
技术资料暂无技术资料 索取技术资料











