相关产品推荐更多 >
万千商家帮你免费找货
0 人在求购买到急需产品
- 详细信息
- 技术资料
- 抗体名:
THRB1 Rabbit Polyclonal Antibody抗体
- 抗体英文名:
THRB1 Rabbit Polyclonal Antibody
- 靶点:
THRB
- 浓度:
1mg/ml
- 应用范围:
FC, IF, IHC-Fr, IHC-P, WB
- 宿主:
Rabbit
- 适应物种:
Human, Mouse, Rat
- 保质期:
6-12个月
- 抗原来源:
详询
- 目录编号:
orb158598
- 级别:
科研级
- 库存:
88
- 供应商:
biorbyt
- 标记物:
Unconjugated
- 克隆性:
Polyclonal
- 形态:
Liquid
- 亚型:
IgG
- 免疫原:
KLH conjugated synthetic peptide derived from human Thyroid Hormone Receptor beta (201-300/461aa)
- 规格:
50 ul
产品描述:THRB1 Rabbit Polyclonal Antibody
别名:Thyroid Hormone Receptor beta; Avian erythroblastic leukemia viral(v erb a) oncogene homolog 2; C ERBA 2; C ERBA BETA; c-erbA-2; c-erbA-beta; ERBA 2; ERBA BETA; ERBA2; Erythroblastic leukemia viral(v erb a) oncogene homolog 2 avian; generalized resistance to thyroid hormone; GRTH; MGC126109; MGC126110; NR1A2; Nuclear receptor subfamily 1 group A member 2; Oncogene ERBA2; PRTH; THB_HUMAN; THR 1; THR1; THRB 1; THRB 2; THRB; THRB2; Thyroid hormone nuclear receptor beta variant 1; Thyroid hormone receptor beta 1; Thyroid hormone receptor beta 2; Thyroid hormone receptor beta; Thyroid hormone receptor, beta(erythroblastic leukemia viral(v erb a) oncogene homolog 2, avian); THβ1; THβ2.
免疫原:KLH conjugated synthetic peptide derived from human Thyroid Hormone Receptor beta (201-300/461aa)
预测反应性:Bovine, Gallus, Rabbit, Sheep
分子量:53 kDa
应用稀释比例:WB=1:500-2000, IHC-P=1:100-500, IHC-F=1:100-500, IF=1:100-500, Flow-Cyt=1ug/Test
防腐剂:0.01M TBS (pH7.4) with 1% rAlbumin, 0.02% Proclin300 and 50% Glycerol.
纯化:Affinity purified by Protein A
保存说明:Maintain refrigerated at 2-8°C for up to 2 weeks. For long term storage store at -20°C in small aliquots to prevent freeze-thaw cycles.
UniProt ID:P10828
Note:For research use only.










别名:Thyroid Hormone Receptor beta; Avian erythroblastic leukemia viral(v erb a) oncogene homolog 2; C ERBA 2; C ERBA BETA; c-erbA-2; c-erbA-beta; ERBA 2; ERBA BETA; ERBA2; Erythroblastic leukemia viral(v erb a) oncogene homolog 2 avian; generalized resistance to thyroid hormone; GRTH; MGC126109; MGC126110; NR1A2; Nuclear receptor subfamily 1 group A member 2; Oncogene ERBA2; PRTH; THB_HUMAN; THR 1; THR1; THRB 1; THRB 2; THRB; THRB2; Thyroid hormone nuclear receptor beta variant 1; Thyroid hormone receptor beta 1; Thyroid hormone receptor beta 2; Thyroid hormone receptor beta; Thyroid hormone receptor, beta(erythroblastic leukemia viral(v erb a) oncogene homolog 2, avian); THβ1; THβ2.
免疫原:KLH conjugated synthetic peptide derived from human Thyroid Hormone Receptor beta (201-300/461aa)
预测反应性:Bovine, Gallus, Rabbit, Sheep
分子量:53 kDa
应用稀释比例:WB=1:500-2000, IHC-P=1:100-500, IHC-F=1:100-500, IF=1:100-500, Flow-Cyt=1ug/Test
防腐剂:0.01M TBS (pH7.4) with 1% rAlbumin, 0.02% Proclin300 and 50% Glycerol.
纯化:Affinity purified by Protein A
保存说明:Maintain refrigerated at 2-8°C for up to 2 weeks. For long term storage store at -20°C in small aliquots to prevent freeze-thaw cycles.
UniProt ID:P10828
Note:For research use only.

Blank control: A431. Primary Antibody (green line): Rabbit Anti-THRB1 antibody (orb158598), dilution: 1 ug/Test, Secondary Antibody: Goat anti-rabbit IgG-AF488, dilution: 0.5 ug/Test. Protocol, The cells were fixed with 4% PFA (10 min at room temperature) and then permeabilized with 90% ice-cold methanol for 20 min at -20°C. The cells were then incubated in 5% BSA to block non-specific protein-protein interactions for 30 min at room temperature. Cells stained with Primary Antibody for 30 min at room temperature. The secondary antibody used for 40 min at room temperature. Acquisition of 20000 events was performed.

Blank control: A431. Primary Antibody (green line): Rabbit Anti-THRB1 antibody, dilution: 1 ug/Test, Secondary Antibody: Goat anti-rabbit IgG-FITC, dilution: 0.5 ug/Test. Protocol, The cells were fixed with 4% PFA (10 min at room temperature) and then permeabilized with 90% ice-cold methanol for 20 min at -20°C. The cells were then incubated in 5% BSA to block non-specific protein-protein interactions for 30 min at room temperature. Cells stained with Primary Antibody for 30 min at room temperature. The secondary antibody used for 40 min at room temperature. Acquisition of 20000 events was performed.

Blank control: A431. Primary Antibody (green line): Rabbit Anti-THRB1 antibody, dilution: 1 ug/Test, Secondary Antibody: Goat anti-rabbit IgG-FITC, dilution: 0.5 ug/Test. Protocol, The cells were fixed with 4% PFA (10 min at room temperature) and then permeabilized with 90% ice-cold methanol for 20 min at -20°C. The cells were then incubated in 5% BSA to block non-specific protein-protein interactions for 30 min at room temperature. Cells stained with Primary Antibody for 30 min at room temperature. The secondary antibody used for 40 min at room temperature. Acquisition of 20000 events was performed.

Blank control: A431. Primary Antibody (green line): Rabbit Anti-THRB1 antibody, dilution: 1 ug/Test, Secondary Antibody: Goat anti-rabbit IgG-FITC, dilution: 0.5 ug/Test. Protocol, The cells were fixed with 4% PFA (10 min at room temperature) and then permeabilized with 90% ice-cold methanol for 20 min at -20°C. The cells were then incubated in 5% BSA to block non-specific protein-protein interactions for 30 min at room temperature. Cells stained with Primary Antibody for 30 min at room temperature. The secondary antibody used for 40 min at room temperature. Acquisition of 20000 events was performed.

Blank control: HepG2. Primary Antibody (green line): Rabbit Anti-THRB1 antibody (orb158598), dilution: 1 µg/10^6 cells, Isotype Control Antibody (orange line): Rabbit IgG. Secondary Antibody: Goat anti-rabbit IgG-PE, dilution: 1 µg/Test. Protocol The cells were fixed with 4% PFA (10 min at room temperature) and then permeabilized with 90% ice-cold methanol for 20 min at -20°C. The cells were then incubated in 5% BSA to block non-specific protein-protein interactions for 30 min at at room temperature. Cells stained with Primary Antibody for 30 min at room temperature. The secondary antibody used for 40 min at room temperature. Acquisition of 20000 events was performed.

Blank control: HepG2. Primary Antibody (green line): Rabbit Anti-THRB1 antibody (orb158598), dilution: 1 µg/10^6 cells, Isotype Control Antibody (orange line): Rabbit IgG. Secondary Antibody: Goat anti-rabbit IgG-AF647, dilution: 1 µg/Test. Protocol, The cells were fixed with 4% PFA (10 min at room temperature) and then permeabilized with 90% ice-cold methanol for 20 min at -20°C. The cells were then incubated in 5% BSA to block non-specific protein-protein interactions for 30 min at room temperature. Cells stained with Primary Antibody for 30 min at room temperature. The secondary antibody used for 40 min at room temperature. Acquisition of 20000 events was performed.

Blank control: HepG2. Primary Antibody (green line): Rabbit Anti-THRB1 antibody (orb158598), dilution: 1 µg/10^6 cells, Isotype Control Antibody (orange line): Rabbit IgG. Secondary Antibody: Goat anti-rabbit IgG-AF647, dilution: 1 µg/Test. Protocol, The cells were fixed with 4% PFA (10 min at room temperature) and then permeabilized with 90% ice-cold methanol for 20 min at -20°C. The cells were then incubated in 5% BSA to block non-specific protein-protein interactions for 30 min at room temperature. Cells stained with Primary Antibody for 30 min at room temperature. The secondary antibody used for 40 min at room temperature. Acquisition of 20000 events was performed.

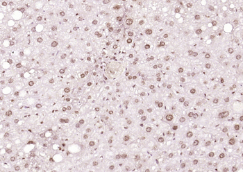
Fixative-fixed, paraffin embedded (mouse liver), Antigen retrieval by boiling in sodium citrate buffer (pH6.0) for 15 min, Block endogenous peroxidase by 3% hydrogen peroxide for 20 minutes, Blocking buffer (normal goat serum) at 37°C for 30 min, Antibody incubation with (THRB1) Polyclonal Antibody, Unconjugated (orb158598) at 1:200 overnight at 4°C, followed by operating according to SP Kit (Rabbit) instructionsand DAB staining.

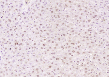
Fixative-fixed, paraffin embedded (rat liver), Antigen retrieval by boiling in sodium citrate buffer (pH6.0) for 15 min, Block endogenous peroxidase by 3% hydrogen peroxide for 20 minutes, Blocking buffer (normal goat serum) at 37°C for 30 min, Antibody incubation with (THRB1) Polyclonal Antibody, Unconjugated (orb158598) at 1:200 overnight at 4°C, followed by operating according to SP Kit (Rabbit) instructionsand DAB staining.

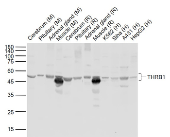
Sample: Lane 1: Cerebrum (Mouse) Lysate at 40 ug, Lane 2: Pituitary (Mouse) Lysate at 40 ug, Lane 3: Adrenal gland (Mouse) Lysate at 40 ug, Lane 4: Muscle (Mouse) Lysate at 40 ug, Lane 5: Cerebrum (Rat) Lysate at 40 ug, Lane 6: Pituitary (Rat) Lysate at 40 ug, Lane 7: Adrenal gland (Rat) Lysate at 40 ug, Lane 8: Muscle (Rat) Lysate at 40 ug, Lane 9: K562 (Human) Cell Lysate at 30 ug, Lane 10: Siha (Human) Cell Lysate at 30 ug, Lane 11: A431 (Human) Cell Lysate at 30 ug, Lane 12: HepG2 (Human) Cell Lysate at 30 ug, Primary: Anti-THRB1 (orb158598) at 1/1000 dilution, Secondary: IRDye800CW Goat Anti-Rabbit IgG at 1/20000 dilution, Predicted band size: 53/46 kD, Observed band size: 53/46 kD.
风险提示:丁香通仅作为第三方平台,为商家信息发布提供平台空间。用户咨询产品时请注意保护个人信息及财产安全,合理判断,谨慎选购商品,商家和用户对交易行为负责。对于医疗器械类产品,请先查证核实企业经营资质和医疗器械产品注册证情况。
技术资料暂无技术资料 索取技术资料
THRB1 Rabbit Polyclonal Antibody抗体,orb158598,biorbyt
¥3120










