相关产品推荐更多 >
万千商家帮你免费找货
0 人在求购买到急需产品
- 详细信息
- 文献和实验
- 技术资料
- 抗体名:
Sodium Iodide Symporter Antibody (PerCP)抗体
- 抗体英文名:
Sodium Iodide Symporter Antibody (PerCP)
- 靶点:
Sodium Iodide Symporter
- 浓度:
1 mg/ml
- 应用范围:
AM, ICC, IF, IHC, WB
- 宿主:
Mouse
- 适应物种:
Human, Mouse, Rat
- 保质期:
6-12个月
- 抗原来源:
详询
- 目录编号:
orb149678
- 级别:
科研级
- 库存:
88
- 供应商:
biorbyt
- 标记物:
PerCP
- 克隆性:
Monoclonal
- 亚型:
IgG1 Kappa
- 免疫原:
Mannose binding protein hNIS fusion (AA468-643)
- 规格:
100 ug
别名:NIS, SLC5A5, solute carrier family 5, Na (+)I(-) cotransporter
免疫原:Mannose binding protein hNIS fusion (AA468-643)
克隆性:FP5
分子量:15kDa
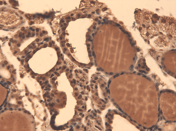
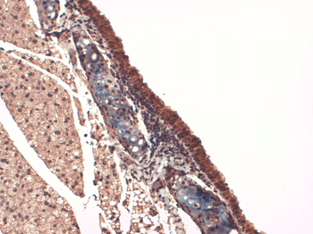
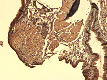
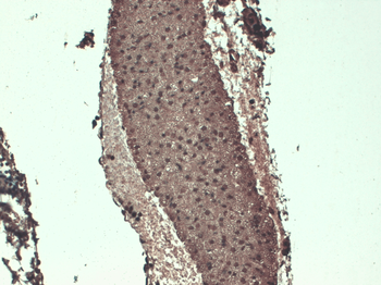
应用稀释比例:WB (1:1000), IHC (1:1000)
应用注释:1 µg/ml of SMC-391 was sufficient for detection of hNIS in 20 µg of transfected COS-7 cell membrane lysate by ECL immunoblot analysis using Goat anti-mouse IgG:HRP as the secondary antibody.
防腐剂:95.46mM Phosphate, 2.48mM MES and 2mM EDTA
纯化:Protein G Purified
保存说明:Conjugated antibodies should be stored according to the product label
NCBI:NP_000444.1
Entrez:6528
UniProt ID:Q92911
Note:For research use only.





风险提示:丁香通仅作为第三方平台,为商家信息发布提供平台空间。用户咨询产品时请注意保护个人信息及财产安全,合理判断,谨慎选购商品,商家和用户对交易行为负责。对于医疗器械类产品,请先查证核实企业经营资质和医疗器械产品注册证情况。
文献和实验Direct Immunofluorescence Labeling
Recipes Fluorochrome-Conjugated Antibodies: Test antibody: Mouse monoclonal conjugated to FITC, PE, PerCP or PE-CY5 Tandem (tradenames: Cy-Chrome or Tri-Color). If you''re planning to label cells with 2 or more antibodies simultaneously
Phenotype-specific immunodetection of cyclins using 488/630 nm dual laser flow cytometry
antibody against surface marker of interest 0.1% paraformaldehyde in PBS 70% EtOH in glycerol (stored at 4°C) staining buffer (1% BSA in PBS with 0.005% Tween 20 and 0.1% sodium azide) propidium iodide (50 m g/ml solution with 100 U/ml DNase-free
Simultaneous analysis of DNA content and surface immunophenotype using gentle ethanol fixation&
with two or three fluorochrome-conjugated antibodies. RNase should be added for DNA dyes that can bind dsRNA (such as propidium iodide). 70% EtOH in ddH2 0 50% fetal bovine serum (FBS) in PBS with 0.1% sodium azide 70% EtOH in glycerol staining buffer (2% FBS in PBS
技术资料暂无技术资料 索取技术资料











