相关产品推荐更多 >
万千商家帮你免费找货
0 人在求购买到急需产品
- 详细信息
- 技术资料
- 抗体名:
HSP90 Antibody (FITC)抗体
- 抗体英文名:
HSP90 Antibody (FITC)
- 靶点:
HSP90
- 浓度:
1 mg/ml
- 应用范围:
AM, ELISA, ICC, IF, IHC, IP, WB
- 宿主:
Mouse
- 适应物种:
Canine, Fish, Gallus, Hamster, Human, Mouse, Rabbit, Rat
- 保质期:
6-12个月
- 抗原来源:
详询
- 目录编号:
orb146804
- 级别:
科研级
- 库存:
88
- 供应商:
biorbyt
- 标记物:
FITC
- 克隆性:
Monoclonal
- 亚型:
IgG2a
- 免疫原:
Recombinant human HSP90beta
- 规格:
200 ug
产品描述:Mouse monoclonal to Hsp90 (FITC). HSP90 is an abundantly and ubiquitously expressed heat...
别名:HSP90, HSP90AB1, HSP90-beta, HSPCB, HSPC2, Heat shock protein HSP 90-beta, Heat shock 84 kDa protein, HSP84, HSP90B
免疫原:Recombinant human HSP90beta
克隆性:H9010
分子量:90kDa
应用稀释比例:WB (1:2500), IHC (1:100)
应用注释:1 µg/ml of SMC-107 was sufficient for detection of HSP90beta in 20 µg of heat shocked HeLa cell lysate by colorimetric immunoblot analysis using Goat anti-mouse IgG:HRP as the secondary antibody.
防腐剂:640.91mM DMSO, 136.36 mM Ethanolamine, 126.89 mM chlorides, 9.09mM phosphates, 9.09mM NaHCO3
纯化:Protein G Purified
保存说明:Conjugated antibodies should be stored according to the product label
NCBI:NP_031381.2
Entrez:3326
UniProt ID:P08238
Note:For research use only.








别名:HSP90, HSP90AB1, HSP90-beta, HSPCB, HSPC2, Heat shock protein HSP 90-beta, Heat shock 84 kDa protein, HSP84, HSP90B
免疫原:Recombinant human HSP90beta
克隆性:H9010
分子量:90kDa
应用稀释比例:WB (1:2500), IHC (1:100)
应用注释:1 µg/ml of SMC-107 was sufficient for detection of HSP90beta in 20 µg of heat shocked HeLa cell lysate by colorimetric immunoblot analysis using Goat anti-mouse IgG:HRP as the secondary antibody.
防腐剂:640.91mM DMSO, 136.36 mM Ethanolamine, 126.89 mM chlorides, 9.09mM phosphates, 9.09mM NaHCO3
纯化:Protein G Purified
保存说明:Conjugated antibodies should be stored according to the product label
NCBI:NP_031381.2
Entrez:3326
UniProt ID:P08238
Note:For research use only.

Immunohistochemistry analysis using Mouse Anti-Hsp90 Monoclonal Antibody, Clone H9010. Tissue: inflamed colon. Species: Mouse. Fixation: Formalin. Primary Antibody: Mouse Anti-Hsp90 Monoclonal Antibody at 1:10000 for 12 hours at 4°C. Secondary Antibody: Alexa Fluor 555 Goat Anti-Mouse (red) at 1:5000 for 1 hour at RT. Localization: Inflammatory and epithelial mucosa. Magnification: 40x. Inflammatory and epithelial mucosa.

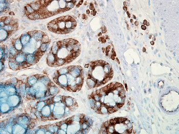
Immunohistochemistry analysis using Mouse Anti-Hsp90 Monoclonal Antibody, Clone H9010. Tissue: colon carcinoma. Species: Human. Fixation: Formalin. Primary Antibody: Mouse Anti-Hsp90 Monoclonal Antibody at 1:10000 for 12 hours at 4°C. Secondary Antibody: Biotin Goat Anti-Mouse at 1:2000 for 1 hour at RT. Counterstain: Mayer Hematoxylin (purple/blue) nuclear stain at 200 μl for 2 minutes at RT. Localization: Inflammatory cells. Magnification: 40x.

Western Blot analysis of Human cell lysates from various cell lines showing detection of Hsp90 protein using Mouse Anti-Hsp90 Monoclonal Antibody, Clone H9010. Load: 15 μg. Block: 1.5% BSA for 30 minutes at RT. Primary Antibody: Mouse Anti-Hsp90 Monoclonal Antibody at 1:1000 for 2 hours at RT. Secondary Antibody: Sheep Anti-Mouse IgG: HRP for 1 hour at RT.

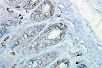
Immunohistochemistry analysis using Mouse Anti-Hsp90 Monoclonal Antibody, Clone H9010. Tissue: inflamed colon. Species: Mouse. Fixation: Formalin. Primary Antibody: Mouse Anti-Hsp90 Monoclonal Antibody at 1:10000 for 12 hours at 4°C. Secondary Antibody: Biotin Goat Anti-Mouse at 1:2000 for 1 hour at RT. Counterstain: Mayer Hematoxylin (purple/blue) nuclear stain at 200 μl for 2 minutes at RT. Localization: Inflammatory cells. Magnification: 40x.

Immunohistochemistry analysis using Mouse Anti-Hsp90 Monoclonal Antibody, Clone H9010. Tissue: backskin. Species: Mouse. Fixation: Bouin's Fixative and paraffin-embedded. Primary Antibody: Mouse Anti-Hsp90 Monoclonal Antibody at 1:100 for 1 hour at RT. Secondary Antibody: FITC Goat Anti-Mouse (green) at 1:50 for 1 hour at RT. Localization: Epidermis.

Western Blot analysis of Human Cervical cancer cell line (HeLa) lysate showing detection of Hsp90 protein using Mouse Anti-Hsp90 Monoclonal Antibody, Clone H9010. Primary Antibody: Mouse Anti-Hsp90 Monoclonal Antibody at 1:1000. Secondary Antibody: HRP Goat Anti-Mouse.

Western blot analysis of Human Lysates showing detection of Hsp90 protein using Mouse Anti-Hsp90 Monoclonal Antibody, Clone H9010. Primary Antibody: Mouse Anti-Hsp90 Monoclonal Antibody at 1:1000. Comparison of clone H9010 behavior with Hsp90 human beta (1) and Hsp90 human alpha (2).

Immunohistochemistry analysis using Mouse Anti-Hsp90 Monoclonal Antibody, Clone H9010. Tissue: colon carcinoma. Species: Human. Fixation: Formalin. Primary Antibody: Mouse Anti-Hsp90 Monoclonal Antibody at 1:10000 for 12 hours at 4°C. Secondary Antibody: Alexa Fluor 555 Goat Anti-Mouse (red) at 1:5000 for 1 hour at RT. Magnification: 40x.
风险提示:丁香通仅作为第三方平台,为商家信息发布提供平台空间。用户咨询产品时请注意保护个人信息及财产安全,合理判断,谨慎选购商品,商家和用户对交易行为负责。对于医疗器械类产品,请先查证核实企业经营资质和医疗器械产品注册证情况。
技术资料暂无技术资料 索取技术资料
HSP90 Antibody (FITC)抗体,orb146804,biorbyt
¥9230









