相关产品推荐更多 >
万千商家帮你免费找货
0 人在求购买到急需产品
- 详细信息
- 技术资料
- 抗体名:
VAT1L Rabbit Polyclonal Antibody抗体
- 抗体英文名:
VAT1L Rabbit Polyclonal Antibody
- 靶点:
VAT1L
- 浓度:
1mg/ml
- 应用范围:
IF, IHC-Fr, IHC-P, WB
- 宿主:
Rabbit
- 适应物种:
Mouse, Rat
- 保质期:
6-12个月
- 抗原来源:
详询
- 目录编号:
orb2136
- 级别:
科研级
- 库存:
88
- 供应商:
biorbyt
- 标记物:
Unconjugated
- 克隆性:
Polyclonal
- 形态:
Liquid
- 亚型:
IgG
- 免疫原:
KLH conjugated synthetic peptide derived from human KIAA1576/VAT1L (171-270/419aa)
- 规格:
50 ul
产品描述:VAT1L Rabbit Polyclonal Antibody
别名:VAT1L_HUMAN; Synaptic vesicle membrane protein VAT-1 homolog-like; EC:1.-.-.-; KIAA1576; vesicle amine transport 1 like;
免疫原:KLH conjugated synthetic peptide derived from human KIAA1576/VAT1L (171-270/419aa)
预测反应性:Canine, Equine, Gallus, Human, Porcine, Sheep
分子量:46 kDa
应用稀释比例:WB=1:500-2000, IHC-P=1:100-500, IHC-F=1:100-500, IF=1:50-200
防腐剂:0.01M TBS (pH7.4) with 1% rAlbumin, 0.02% Proclin300 and 50% Glycerol.
纯化:Affinity purified by Protein A
保存说明:Maintain refrigerated at 2-8°C for up to 2 weeks. For long term storage store at -20°C in small aliquots to prevent freeze-thaw cycles.
UniProt ID:Q9HCJ6
Note:For research use only.



别名:VAT1L_HUMAN; Synaptic vesicle membrane protein VAT-1 homolog-like; EC:1.-.-.-; KIAA1576; vesicle amine transport 1 like;
免疫原:KLH conjugated synthetic peptide derived from human KIAA1576/VAT1L (171-270/419aa)
预测反应性:Canine, Equine, Gallus, Human, Porcine, Sheep
分子量:46 kDa
应用稀释比例:WB=1:500-2000, IHC-P=1:100-500, IHC-F=1:100-500, IF=1:50-200
防腐剂:0.01M TBS (pH7.4) with 1% rAlbumin, 0.02% Proclin300 and 50% Glycerol.
纯化:Affinity purified by Protein A
保存说明:Maintain refrigerated at 2-8°C for up to 2 weeks. For long term storage store at -20°C in small aliquots to prevent freeze-thaw cycles.
UniProt ID:Q9HCJ6
Note:For research use only.

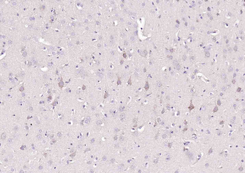
paraffin embedded (rat brain), Antigen retrieval by boiling in sodium citrate buffer (pH6.0) for 15 min, Block endogenous peroxidase by 3% hydrogen peroxide for 20 minutes, Blocking buffer (normal goat serum) at 37°C for 30 min, Antibody incubation with (VAT1L) Polyclonal Antibody, Unconjugated (orb2136) at 1:200 overnight at 4°C, followed by operating according to SP Kit (Rabbit) instructionsand DAB staining.

Fixative-fixed, paraffin embedded (Rat brain), Antigen retrieval by boiling in sodium citrate buffer (pH6.0) for 15 min, Block endogenous peroxidase by 3% hydrogen peroxide for 20 minutes, Blocking buffer (normal goat serum) at 37°C for 30 min, Antibody incubation with (VAT1L) Polyclonal Antibody, Unconjugated (orb2136) at 1:400 overnight at 4°C, followed by operating according to SP Kit (Rabbit) instructionsand DAB staining.

Sample: Lane 1: Mouse Cerebrum tissue lysates, Lane 2: Mouse Cerebellum tissue lysates, Lane 3: Rat Cerebrum tissue lysates, Lane 4: Rat Cerebellum tissue lysates, Primary: Anti-VAT1L (orb2136) at 1/1000 dilution, Secondary: IRDye800CW Goat Anti-Rabbit IgG at 1/20000 dilution, Predicted band size: 46 kDa, Observed band size: 47 kDa.
风险提示:丁香通仅作为第三方平台,为商家信息发布提供平台空间。用户咨询产品时请注意保护个人信息及财产安全,合理判断,谨慎选购商品,商家和用户对交易行为负责。对于医疗器械类产品,请先查证核实企业经营资质和医疗器械产品注册证情况。
技术资料暂无技术资料 索取技术资料
VAT1L Rabbit Polyclonal Antibody抗体,orb2136,biorbyt
¥3120








![Anti-CD8 beta [YTS 156.7.7]抗体,orb411575,biorbyt](https://img1.dxycdn.com/p/s14/2025/1203/171/0004241594798316991.jpg!wh200)

