相关产品推荐更多 >
万千商家帮你免费找货
0 人在求购买到急需产品
- 详细信息
- 技术资料
- 抗体名:
IEX1 Rabbit Polyclonal Antibody抗体
- 抗体英文名:
IEX1 Rabbit Polyclonal Antibody
- 靶点:
IER3
- 浓度:
1mg/ml
- 应用范围:
ELISA
- 宿主:
Rabbit
- 适应物种:
Human
- 保质期:
6-12个月
- 抗原来源:
详询
- 目录编号:
orb100011
- 级别:
科研级
- 库存:
88
- 供应商:
biorbyt
- 标记物:
Unconjugated
- 克隆性:
Polyclonal
- 形态:
Liquid
- 亚型:
IgG
- 免疫原:
KLH conjugated synthetic peptide derived from human IEX1/Differentiation dependent gene 2 protein (85-156/156aa)
- 规格:
50 ul
产品描述:IEX1 Rabbit Polyclonal Antibody
别名:IEX1; PRG1; Anti death protein; Differentiation dependent gene 2 protein; DIF 2; DIF2; Differentiation dependent gene 2; Differentiation dependent gene 2 protein; Differentiation-dependent gene 2 protein; Expressed in pancreatic carcinoma; GLY 96; GLY96; Gly96 mouse homolog of; IER 3; IER3; IEX 1; IEX 1L; IEX1_HUMAN; IEX1L; Immediate early protein GLY96; Immediate early response 3; Immediate early response 3 protein; Immediately early gene X 1; PACAP responsive gene 1; PACAP responsive gene 1 protein; PACAP-responsive gene 1 protein; PRG 1; Protein DIF 2; Protein DIF-2; Protein PRG1; Radiation-inducible immediate-early gene IEX-1.
免疫原:KLH conjugated synthetic peptide derived from human IEX1/Differentiation dependent gene 2 protein (85-156/156aa)
预测反应性:Bovine, Canine, Equine, Human, Mouse, Porcine, Rabbit, Rat, Sheep
分子量:17 kDa
应用稀释比例:ELISA=1:5000-10000
防腐剂:0.01M TBS (pH7.4) with 1% rAlbumin, 0.02% Proclin300 and 50% Glycerol.
纯化:Affinity purified by Protein A
保存说明:Maintain refrigerated at 2-8°C for up to 2 weeks. For long term storage store at -20°C in small aliquots to prevent freeze-thaw cycles.
UniProt ID:P46695
Note:For research use only.

别名:IEX1; PRG1; Anti death protein; Differentiation dependent gene 2 protein; DIF 2; DIF2; Differentiation dependent gene 2; Differentiation dependent gene 2 protein; Differentiation-dependent gene 2 protein; Expressed in pancreatic carcinoma; GLY 96; GLY96; Gly96 mouse homolog of; IER 3; IER3; IEX 1; IEX 1L; IEX1_HUMAN; IEX1L; Immediate early protein GLY96; Immediate early response 3; Immediate early response 3 protein; Immediately early gene X 1; PACAP responsive gene 1; PACAP responsive gene 1 protein; PACAP-responsive gene 1 protein; PRG 1; Protein DIF 2; Protein DIF-2; Protein PRG1; Radiation-inducible immediate-early gene IEX-1.
免疫原:KLH conjugated synthetic peptide derived from human IEX1/Differentiation dependent gene 2 protein (85-156/156aa)
预测反应性:Bovine, Canine, Equine, Human, Mouse, Porcine, Rabbit, Rat, Sheep
分子量:17 kDa
应用稀释比例:ELISA=1:5000-10000
防腐剂:0.01M TBS (pH7.4) with 1% rAlbumin, 0.02% Proclin300 and 50% Glycerol.
纯化:Affinity purified by Protein A
保存说明:Maintain refrigerated at 2-8°C for up to 2 weeks. For long term storage store at -20°C in small aliquots to prevent freeze-thaw cycles.
UniProt ID:P46695
Note:For research use only.

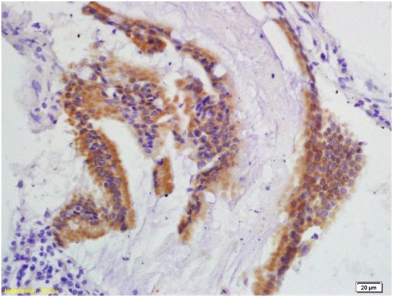
Paraffin-embedded human colon carcinoma tissue fixed . Antigen retrieval by boiling with citrate buffer. Blocking buffer is goat serum (37 degrees for 20 min.).IEX1 antibody at 1:200 dilution with overnight incubation at 4 degrees
风险提示:丁香通仅作为第三方平台,为商家信息发布提供平台空间。用户咨询产品时请注意保护个人信息及财产安全,合理判断,谨慎选购商品,商家和用户对交易行为负责。对于医疗器械类产品,请先查证核实企业经营资质和医疗器械产品注册证情况。
技术资料暂无技术资料 索取技术资料
IEX1 Rabbit Polyclonal Antibody抗体,orb100011,biorbyt
¥3120










