相关产品推荐更多 >
万千商家帮你免费找货
0 人在求购买到急需产品
- 详细信息
- 文献和实验
- 技术资料
- 抗体名:
Phospho-ROCK1 (Thr455+Ser456) Rabbit Polyclonal Antibody抗体
- 抗体英文名:
Phospho-ROCK1 (Thr455+Ser456) Rabbit Polyclonal Antibody
- 靶点:
ROCK1
- 浓度:
1mg/ml
- 应用范围:
FC, IF, IHC-Fr, IHC-P, WB
- 宿主:
Rabbit
- 适应物种:
Human, Mouse
- 保质期:
6-12个月
- 抗原来源:
详询
- 目录编号:
orb100140
- 级别:
科研级
- 库存:
88
- 供应商:
biorbyt
- 标记物:
Unconjugated
- 克隆性:
Polyclonal
- 形态:
Liquid
- 亚型:
IgG
- 免疫原:
KLH conjugated synthesised phosphopeptide derived from human ROCK1 around the phosphorylation site of Thr455+Ser456 CR(p-T)(p-S)N
- 规格:
50 ul
产品描述:Phospho-ROCK1 (Thr455+Ser456) Rabbit Polyclonal Antibody
别名:p-ROCK1(Thr455/Ser456); p160 ROCK1; p160ROCK; Renal carcinoma antigen NY REN 35; Rho associated coiled coil containing protein kinase 1; Rho associated protein kinase 1; Rho-associated coiled-coil containing protein kinase 1; ROCK1_HUMAN.
免疫原:KLH conjugated synthesised phosphopeptide derived from human ROCK1 around the phosphorylation site of Thr455+Ser456 CR(p-T)(p-S)N
预测反应性:Canine, Equine, Porcine, Rabbit, Rat
分子量:158 kDa
应用稀释比例:WB=1:500-2000, IHC-P=1:100-500, IHC-F=1:100-500, IF=1:100-500, Flow-Cyt=1ug/Test
防腐剂:0.01M TBS (pH7.4) with 1% rAlbumin, 0.02% Proclin300 and 50% Glycerol.
纯化:Affinity purified by Protein A
保存说明:Maintain refrigerated at 2-8°C for up to 2 weeks. For long term storage store at -20°C in small aliquots to prevent freeze-thaw cycles.
Pubmed:23587628
UniProt ID:Q13464
Note:For research use only.






别名:p-ROCK1(Thr455/Ser456); p160 ROCK1; p160ROCK; Renal carcinoma antigen NY REN 35; Rho associated coiled coil containing protein kinase 1; Rho associated protein kinase 1; Rho-associated coiled-coil containing protein kinase 1; ROCK1_HUMAN.
免疫原:KLH conjugated synthesised phosphopeptide derived from human ROCK1 around the phosphorylation site of Thr455+Ser456 CR(p-T)(p-S)N
预测反应性:Canine, Equine, Porcine, Rabbit, Rat
分子量:158 kDa
应用稀释比例:WB=1:500-2000, IHC-P=1:100-500, IHC-F=1:100-500, IF=1:100-500, Flow-Cyt=1ug/Test
防腐剂:0.01M TBS (pH7.4) with 1% rAlbumin, 0.02% Proclin300 and 50% Glycerol.
纯化:Affinity purified by Protein A
保存说明:Maintain refrigerated at 2-8°C for up to 2 weeks. For long term storage store at -20°C in small aliquots to prevent freeze-thaw cycles.
Pubmed:23587628
UniProt ID:Q13464
Note:For research use only.

Blank control (blue): Hela (fixed with 2% Fixative (10 min), then permeabilized with 90% ice-cold methanol for 30 min on ice). Primary Antibody: Rabbit Anti-phospho-ROCK1 (Thr455+Ser456) antibody (orb100140), Dilution: 1 µg in 100 µL 1X PBS containing 0.5% BSA, Isotype Control Antibody: Rabbit IgG (orange), used under the same conditions), Secondary Antibody: Goat anti-rabbit IgG-PE (white blue), Dilution: 1:200 in 1 X PBS containing 0.5% BSA.

Blank control: MCF-7. Primary Antibody (green line): Rabbit Anti-phospho-ROCK1 (Thr455+Ser456) antibody (orb100140), Dilution: 1 ug/Test, Secondary Antibody (white blue line): Goat anti-rabbit IgG-AF488, Dilution: 0.5 ug/Test. Isotype control (orange line): Normal Rabbit IgG, Protocol, The cells were incubated in 5% BSA to block non-specific protein-protein interactions for 30 min at room temperature. Cells stained with Primary Antibody for 30 min at room temperature. The secondary antibody used for 40 min at room temperature. Acquisition of 20000 events was performed.

Blank control: MCF-7. Primary Antibody (green line): Rabbit Anti-phospho-ROCK1 (Thr455+Ser456) antibody (orb100140), Dilution: 1 ug/Test, Secondary Antibody (white blue line): Goat anti-rabbit IgG-AF488, Dilution: 0.5 ug/Test. Isotype control (orange line): Normal Rabbit IgG, Protocol, The cells were incubated in 5% BSA to block non-specific protein-protein interactions for 30 min at room temperature. Cells stained with Primary Antibody for 30 min at room temperature. The secondary antibody used for 40 min at room temperature. Acquisition of 20000 events was performed.

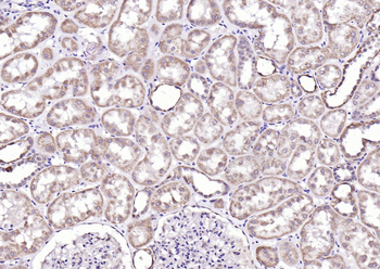
Fixative-fixed, paraffin embedded (Human kidney), Antigen retrieval by boiling in sodium citrate buffer (pH6.0) for 15 min, Block endogenous peroxidase by 3% hydrogen peroxide for 20 minutes, Blocking buffer (normal goat serum) at 37°C for 30 min, Antibody incubation with (phospho-ROCK1 (Thr455+Ser456)) Polyclonal Antibody, Unconjugated (orb100140) at 1:200 overnight at 4°C, followed by operating according to SP Kit (Rabbit) instructionsand DAB staining.

Sample: Cerebrum (Mouse) Lysate at 40 ug, Primary: Anti-phospho-ROCK1 (Thr455+Ser456) (orb100140) at 1/1000 dilution, Secondary: IRDye800CW Goat Anti-Rabbit IgG at 1/20000 dilution, Predicted band size: 158 kD, Observed band size: 158 kD.

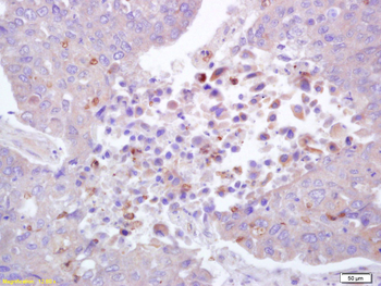
Tissue/cell: human lung carcinoma, 4% Fixative-fixed and paraffin-embedded, Antigen retrieval: citrate buffer (0.01M, pH 6.0), Boiling bathing for 15 min, Block endogenous peroxidase by 3% Hydrogen peroxide for 30 min, Blocking buffer (normal goat serum) at 37℃ for 20 min, Incubation: Anti-phospho-ROCK1 (Thr455/Ser456) Polyclonal Antibody, Unconjugated (orb100140) 1:200, overnight at 4°C, followed by conjugation to the secondary antibody and DAB staining.
风险提示:丁香通仅作为第三方平台,为商家信息发布提供平台空间。用户咨询产品时请注意保护个人信息及财产安全,合理判断,谨慎选购商品,商家和用户对交易行为负责。对于医疗器械类产品,请先查证核实企业经营资质和医疗器械产品注册证情况。
文献和实验该产品被引用文献
Andalib, Mohammad Nahid et al. The role of RhoA kinase (ROCK) in cell alignment on nanofibers Acta Biomater, 9, 7737-7745 (2013)
技术资料暂无技术资料 索取技术资料
文献支持
Phospho-ROCK1 (Thr455+Ser456) Rabbit Polyclonal Antibody抗体,orb100140,biorbyt
¥3120









