相关产品推荐更多 >
万千商家帮你免费找货
0 人在求购买到急需产品
- 详细信息
- 文献和实验
- 技术资料
- 抗体名:
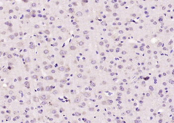
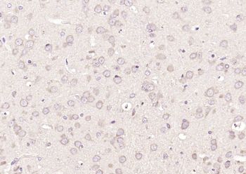
RASGRF1 Rabbit Polyclonal Antibody抗体
- 抗体英文名:
RASGRF1 Rabbit Polyclonal Antibody
- 靶点:
RASGRF1
- 浓度:
1mg/ml
- 应用范围:
IF, IHC-Fr, IHC-P
- 宿主:
Rabbit
- 适应物种:
Mouse, Rat
- 保质期:
6-12个月
- 抗原来源:
详询
- 目录编号:
orb6852
- 级别:
科研级
- 库存:
88
- 供应商:
biorbyt
- 标记物:
Unconjugated
- 克隆性:
Polyclonal
- 形态:
Liquid
- 亚型:
IgG
- 免疫原:
KLH conjugated synthetic peptide derived from human RASGRF1 (351-450/1181aa)
- 规格:
50 ul
别名:CDC25; CDC25L; GNRP; GRF1; GRF55; Guanine nucleotide exchange factor; Guanine nucleotide releasing factor 55 kD; Guanine nucleotide releasing protein; Guanine nucleotide-releasing protein; H GRF55; HGRF55; PP13187; Ras protein specific guanine nucleotide releasing factor 1; Ras specific guanine nucleotide releasing factor; Ras specific guanine nucleotide releasing factor CDC25 homolog; Ras specific nucleotide exchange factor CDC25; Ras-GRF1; Ras-specific guanine nucleotide-releasing factor 1; Ras-specific nucleotide exchange factor CDC25; RASGRF1; RGRF1_HUMAN.
免疫原:KLH conjugated synthetic peptide derived from human RASGRF1 (351-450/1181aa)
预测反应性:Canine, Equine, Gallus, Guinea pig, Human, Porcine
分子量:145 kDa
应用稀释比例:IHC-P=1:100-500, IHC-F=1:100-500, IF=1:100-500
防腐剂:0.01M TBS (pH7.4) with 1% rAlbumin, 0.02% Proclin300 and 50% Glycerol.
纯化:Affinity purified by Protein A
保存说明:Maintain refrigerated at 2-8°C for up to 2 weeks. For long term storage store at -20°C in small aliquots to prevent freeze-thaw cycles.
UniProt ID:Q13972
Note:For research use only.


风险提示:丁香通仅作为第三方平台,为商家信息发布提供平台空间。用户咨询产品时请注意保护个人信息及财产安全,合理判断,谨慎选购商品,商家和用户对交易行为负责。对于医疗器械类产品,请先查证核实企业经营资质和医疗器械产品注册证情况。
文献和实验Polyclonal Antibody Production
Zealand White Rabbits and have them delivered to the ARC. Don’t put all your eggs in one basket only using one rabbit. Let them get accustomed to there home there for two weeks before the first pre-bleed. Pre-bleed
Polyclonal Antibody Production
Polyclonal Antibody Production Very useful for rapid and simple generation of antibodies for western blots, ELISA assays, and immunoprecipitation. Rabbit Immunization Initial Preparation Your antigen
Preparation of Polyclonal Antibodies to Retinoid Receptors
rabbit-antibody production and affinity purification. Suggestions for potential applications in the study of retinoid-molecular biology are also discussed.
技术资料暂无技术资料 索取技术资料











