相关产品推荐更多 >
万千商家帮你免费找货
0 人在求购买到急需产品
- 详细信息
- 技术资料
- 抗体名:
Phospho-AKT1 (Ser129) Rabbit Polyclonal Antibody抗体
- 抗体英文名:
Phospho-AKT1 (Ser129) Rabbit Polyclonal Antibody
- 靶点:
AKT1
- 浓度:
1mg/ml
- 应用范围:
FC, IF, IHC-Fr, IHC-P, WB
- 宿主:
Rabbit
- 适应物种:
Human, Mouse, Rat
- 保质期:
6-12个月
- 抗原来源:
详询
- 目录编号:
orb6781
- 级别:
科研级
- 库存:
88
- 供应商:
biorbyt
- 标记物:
Unconjugated
- 克隆性:
Polyclonal
- 形态:
Liquid
- 亚型:
IgG
- 免疫原:
KLH conjugated Synthesised phosphopeptide derived from human Akt1 around the phosphorylation site of Ser129 DN(p-S)GA
- 规格:
50 ul
产品描述:Phospho-AKT1 (Ser129) Rabbit Polyclonal Antibody
别名:AKT1(phospho Ser129); p-AKT1(phospho S129); AKT 1; AKT; AKT1; AKT-1; AKT1_HUMAN; C AKT; cAKT; MGC9965; MGC99656; Oncogene AKT1; PKB; PKB alpha; PKB-ALPHA; PRKBA; Protein Kinase B alpha; Protein kinase B; Proto-oncogene c-Akt; RAC alpha; RAC alpha serine/threonine protein kinase; RAC; RAC PK alpha; Rac protein kinase alpha; RAC Serine/Threonine Protein Kinase; RAC-alpha serine/threonine-protein kinase; RAC-PK-alpha; v akt murine thymoma viral oncogene homolog 1; vAKT Murine Thymoma Viral Oncogene Homolog 1.
免疫原:KLH conjugated Synthesised phosphopeptide derived from human Akt1 around the phosphorylation site of Ser129 DN(p-S)GA
预测反应性:Canine, Equine, Gallus
分子量:56 kDa
应用稀释比例:WB=1:500-2000, IHC-P=1:100-500, IHC-F=1:100-500, IF=1:100-500, Flow-Cyt=2ug/Test
防腐剂:0.01M TBS (pH7.4) with 1% rAlbumin, 0.02% Proclin300 and 50% Glycerol.
纯化:Affinity purified by Protein A
保存说明:Maintain refrigerated at 2-8°C for up to 2 weeks. For long term storage store at -20°C in small aliquots to prevent freeze-thaw cycles.
UniProt ID:P31749
Note:For research use only.





别名:AKT1(phospho Ser129); p-AKT1(phospho S129); AKT 1; AKT; AKT1; AKT-1; AKT1_HUMAN; C AKT; cAKT; MGC9965; MGC99656; Oncogene AKT1; PKB; PKB alpha; PKB-ALPHA; PRKBA; Protein Kinase B alpha; Protein kinase B; Proto-oncogene c-Akt; RAC alpha; RAC alpha serine/threonine protein kinase; RAC; RAC PK alpha; Rac protein kinase alpha; RAC Serine/Threonine Protein Kinase; RAC-alpha serine/threonine-protein kinase; RAC-PK-alpha; v akt murine thymoma viral oncogene homolog 1; vAKT Murine Thymoma Viral Oncogene Homolog 1.
免疫原:KLH conjugated Synthesised phosphopeptide derived from human Akt1 around the phosphorylation site of Ser129 DN(p-S)GA
预测反应性:Canine, Equine, Gallus
分子量:56 kDa
应用稀释比例:WB=1:500-2000, IHC-P=1:100-500, IHC-F=1:100-500, IF=1:100-500, Flow-Cyt=2ug/Test
防腐剂:0.01M TBS (pH7.4) with 1% rAlbumin, 0.02% Proclin300 and 50% Glycerol.
纯化:Affinity purified by Protein A
保存说明:Maintain refrigerated at 2-8°C for up to 2 weeks. For long term storage store at -20°C in small aliquots to prevent freeze-thaw cycles.
UniProt ID:P31749
Note:For research use only.

Blank control: A549. Primary Antibody (green line): Rabbit Anti-phospho-AKT1 (Ser129) antibody (orb6781), dilution: 2 µg/10^6 cells, Isotype Control Antibody (orange line): Rabbit IgG. Secondary Antibody: Goat anti-rabbit IgG-FITC, dilution: 1 µg/Test. Protocol, The cells were incubated in 5% BSA to block non-specific protein-protein interactions for 30 min at room temperature. Cells stained with Primary Antibody for 30 min at room temperature. The secondary antibody used for 40 min at room temperature. Acquisition of 20000 events was performed.

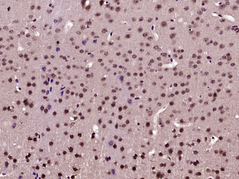
Fixative-fixed, paraffin embedded (Mouse brain), Antigen retrieval by boiling in sodium citrate buffer (pH6.0) for 15 min, Block endogenous peroxidase by 3% hydrogen peroxide for 20 minutes, Blocking buffer (normal goat serum) at 37°C for 30 min, Antibody incubation with (phospho-AKT1 (Ser129)) Polyclonal Antibody, Unconjugated (orb6781) at 1:400 overnight at 4°C, followed by operating according to SP Kit (Rabbit) instructions and DAB staining.

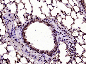
Fixative-fixed, paraffin embedded (Mouse lung), Antigen retrieval by boiling in sodium citrate buffer (pH6.0) for 15 min, Block endogenous peroxidase by 3% hydrogen peroxide for 20 minutes, Blocking buffer (normal goat serum) at 37°C for 30 min, Antibody incubation with (phospho-AKT1 (Ser129)) Polyclonal Antibody, Unconjugated (orb6781) at 1:400 overnight at 4°C, followed by operating according to SP Kit (Rabbit) instructions and DAB staining.

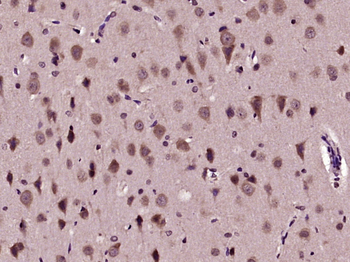
Fixative-fixed, paraffin embedded (Rat brain), Antigen retrieval by boiling in sodium citrate buffer (pH6.0) for 15 min, Block endogenous peroxidase by 3% hydrogen peroxide for 20 minutes, Blocking buffer (normal goat serum) at 37°C for 30 min, Antibody incubation with (phospho-AKT1 (Ser129)) Polyclonal Antibody, Unconjugated (orb6781) at 1:400 overnight at 4°C, followed by operating according to SP Kit (Rabbit) instructions and DAB staining.

Sample: Lane 1: SiHa (Human) Cell Lysate at 30 ug, Lane 2: MCF-7 (Human) Cell Lysate at 30 ug, Primary: Anti-phospho-AKT1 (Ser129) (orb6781) at 1/1000 dilution, Secondary: IRDye800CW Goat Anti-Rabbit IgG at 1/20000 dilution, Predicted band size: 59'61 kD, Observed band size: 59 kD.
风险提示:丁香通仅作为第三方平台,为商家信息发布提供平台空间。用户咨询产品时请注意保护个人信息及财产安全,合理判断,谨慎选购商品,商家和用户对交易行为负责。对于医疗器械类产品,请先查证核实企业经营资质和医疗器械产品注册证情况。
技术资料暂无技术资料 索取技术资料
Phospho-AKT1 (Ser129) Rabbit Polyclonal Antibody抗体,orb6781,biorbyt
¥3120










