相关产品推荐更多 >
万千商家帮你免费找货
0 人在求购买到急需产品
- 详细信息
- 文献和实验
- 技术资料
- 抗体名:
Phospho-CDKN1A/p21 (Ser130) Rabbit Polyclonal Antibody抗体
- 抗体英文名:
Phospho-CDKN1A/p21 (Ser130) Rabbit Polyclonal Antibody
- 靶点:
CDKN1A
- 浓度:
1mg/ml
- 应用范围:
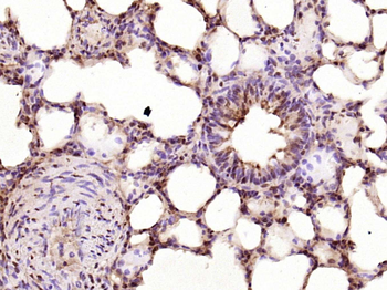
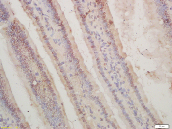
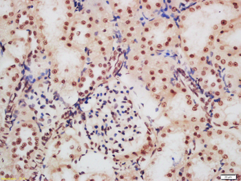
FC, IF, IHC-Fr, IHC-P
- 宿主:
Rabbit
- 适应物种:
Human, Mouse, Rat
- 保质期:
6-12个月
- 抗原来源:
详询
- 目录编号:
orb6571
- 级别:
科研级
- 库存:
88
- 供应商:
biorbyt
- 标记物:
Unconjugated
- 克隆性:
Polyclonal
- 形态:
Liquid
- 亚型:
IgG
- 免疫原:
KLH conjugated Synthesised phosphopeptide derived from human P21 around the phosphorylation site of Ser130 EG(p-S)PG
- 规格:
50 ul
别名:CDKN1A/p21(phospho Ser130); CDKN1A/p21(phospho S130); p21(phospho Ser130); Activating Fragment 1; CAP20; Cation chloride cotransporter-interacting protein 1; CDK Interacting Protein 1; CDK-interacting protein 1; CDKI; CDKN 1; CDKN1; CDKN1A; CIP1; Cyclin Dependent Kinase Inhibitor 1A; Cyclin-dependent kinase inhibitor 1; Cyclin-dependent kinase inhibitor 1A(P21); Cyclin-dependent kinase inhibitor 1A(p21, Cip1); DNA Synthesis Inhibitor; MDA 6; MDA-6; MDA6; Melanoma Differentiation Associated Protein 6; Melanoma differentiation-associated protein 6; Melanoma differentiation-associated protein; p21; P21 protein; p21CIP1; p21WAF; PIC1; SDI1; SLC12A9; WAF1; Wildtype p53 Activating Fragment 1; Wildtype p53-activated fragment 1; CDN1A_HUMAN.
免疫原:KLH conjugated Synthesised phosphopeptide derived from human P21 around the phosphorylation site of Ser130 EG(p-S)PG
预测反应性:Mouse, Rat
分子量:18 kDa
应用稀释比例:IHC-P=1:100-500, IHC-F=1:100-500, IF=1:100-500, Flow-Cyt=1ug/Test
防腐剂:0.01M TBS (pH7.4) with 1% rAlbumin, 0.02% Proclin300 and 50% Glycerol.
纯化:Affinity purified by Protein A
保存说明:Maintain refrigerated at 2-8°C for up to 2 weeks. For long term storage store at -20°C in small aliquots to prevent freeze-thaw cycles.
Pubmed:22960658
UniProt ID:P38936
Note:For research use only.








风险提示:丁香通仅作为第三方平台,为商家信息发布提供平台空间。用户咨询产品时请注意保护个人信息及财产安全,合理判断,谨慎选购商品,商家和用户对交易行为负责。对于医疗器械类产品,请先查证核实企业经营资质和医疗器械产品注册证情况。
文献和实验Mapping Protein Distributions on Polytene Chromosomes by Immunostaining
dilutions for rabbit polyclonal antibodies range between 1:50 and 1:500. For double-labeling experiments, use primary antibodies raised in two different species. Antibodies, secondary Secondary antibodies are diluted in PBS containing 2% normal
Restriction endonuclease digestion A six-cutter (e.g. Eco RI) will cut on average every 4.1 Kb . Complete digestion of human DNA with this type of enzyme will result in approximately 1 x 106 unique fragments. What is the probability
Immunohistochemisty-Enzymatic Protocol
Overview R&D Systems provides monoclonal, polyclonal and biotinylated antibodies for immunohistochemical use. The following protocol has been developed and optimized by R&D Systems'' Immunohistochemical Laboratory. R&D Systems
技术资料暂无技术资料 索取技术资料











