相关产品推荐更多 >
万千商家帮你免费找货
0 人在求购买到急需产品
- 详细信息
- 文献和实验
- 技术资料
- 抗体名:
14-3-3 epsilon Rabbit Polyclonal Antibody抗体
- 抗体英文名:
14-3-3 epsilon Rabbit Polyclonal Antibody
- 靶点:
YWHAE
- 浓度:
1mg/ml
- 应用范围:
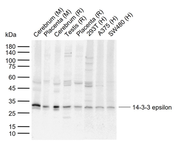
IF, IHC-Fr, IHC-P, WB
- 宿主:
Rabbit
- 适应物种:
Human, Mouse, Rat
- 保质期:
6-12个月
- 抗原来源:
详询
- 目录编号:
orb6357
- 级别:
科研级
- 库存:
88
- 供应商:
biorbyt
- 标记物:
Unconjugated
- 克隆性:
Polyclonal
- 形态:
Liquid
- 亚型:
IgG
- 免疫原:
KLH conjugated synthetic peptide derived from human 14-3-3E (151-255/255aa)
- 规格:
50 ul
别名:14-3-3 epsilon; 14 3 3 E; 14 3 3 epsilon; 14 3 3E; 14-3-3 E; 14-3-3 protein epsilon; 14-3-3E; 1433E_HUMAN; KCIP 1; KCIP-1; KCIP1; MDCR; MDS; mitochondrial import stimulation factor L subunit; protein kinase C inhibitor protein-1; Protein kinase C inhibitor protein1; Tyrosine 3 monooxygenase/tryptophan 5 monooxygenase activation protein, epsilon polypeptide; tyrosine 3/tryptophan 5-monooxygenase activation protein epsilon polypeptide; Tyrosine 3/tryptophan 5 monooxygenase activation protein epsilon polypeptide; YWHAE.
免疫原:KLH conjugated synthetic peptide derived from human 14-3-3E (151-255/255aa)
预测反应性:Bovine, Gallus, Rabbit, Sheep
分子量:29 kDa
应用稀释比例:WB=1:500-2000, IHC-P=1:100-500, IHC-F=1:100-500, IF=1:100-500
防腐剂:0.01M TBS (pH7.4) with 1% rAlbumin, 0.02% Proclin300 and 50% Glycerol.
纯化:Affinity purified by Protein A
保存说明:Maintain refrigerated at 2-8°C for up to 2 weeks. For long term storage store at -20°C in small aliquots to prevent freeze-thaw cycles.
Pubmed:28835462
UniProt ID:P62258
Note:For research use only.




风险提示:丁香通仅作为第三方平台,为商家信息发布提供平台空间。用户咨询产品时请注意保护个人信息及财产安全,合理判断,谨慎选购商品,商家和用户对交易行为负责。对于医疗器械类产品,请先查证核实企业经营资质和医疗器械产品注册证情况。
文献和实验of the tryptic peptides derived from the purified enzyme revealed two amino acid sequences homologous to the 14-3-3 proteins. A polyclonal antibody was raised against purified ST-IV. A 33 kDa protein was co-immunoprecipitated from rat brain extracts with the anti
Introduction of human 14-3-3 proteins
of the tryptic peptides derived from the purified enzyme revealed two amino acid sequences homologous to the 14-3-3 proteins.A polyclonal antibody was raised against purified ST-IV.A 33 kDa protein was co-immunoprecipitated from rat brain extracts with the anti
ALKALINE PHOSPHATASE (APAAP) TECHNIQUE
antibody. 30 minutes. 5. Jet wash in tris/HC1 saline buffer pH 7.6. 6. Wash in buffer. 3 minutes. Steps 7-9 for POLYCLONAL Primary Antisera Only 7. Incubate in mouse anti-rabbit immunoglobulins. 30 minutes. 8. Jet wash in buffer.
技术资料暂无技术资料 索取技术资料











