相关产品推荐更多 >
万千商家帮你免费找货
0 人在求购买到急需产品
- 详细信息
- 文献和实验
- 技术资料
- 抗体名:
Ceramide synthase 2 Rabbit Polyclonal Antibody抗体
- 抗体英文名:
Ceramide synthase 2 Rabbit Polyclonal Antibody
- 靶点:
CERS2
- 浓度:
1mg/ml
- 应用范围:
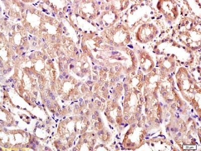
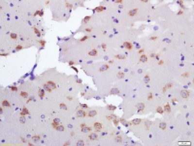
ELISA, IF, IHC-Fr, IHC-P, WB
- 宿主:
Rabbit
- 适应物种:
Rat
- 保质期:
6-12个月
- 抗原来源:
详询
- 目录编号:
orb6298
- 级别:
科研级
- 库存:
88
- 供应商:
biorbyt
- 标记物:
Unconjugated
- 克隆性:
Polyclonal
- 形态:
Liquid
- 亚型:
IgG
- 免疫原:
KLH conjugated synthetic peptide derived from human LASS2 (201-300/380aa)
- 规格:
50 ul
别名:LASS2; TMSG-1; CerS 2; CerS2; L3 antibody LAG1 homolog ceramide synthase 2; LAG1 longevity assurance 2; LAG1 longevity assurance homolog 2; LASS 2; Longevity assurance(LAG1 S. cerevisiae) homolog 2; TMSG 1; TMSG1; Tumor metastasis suppressor; Tumor metastasis suppressor gene 1 protein; FLJ10243; MGC987; SP 260; SP260.
免疫原:KLH conjugated synthetic peptide derived from human LASS2 (201-300/380aa)
预测反应性:Bovine, Equine, Gallus, Human, Mouse, Porcine, Rabbit
分子量:45 kDa
应用稀释比例:WB=1:500-2000, IHC-P=1:100-500, IHC-F=1:100-500, IF=1:100-500, ELISA=1:5000-10000
防腐剂:0.01M TBS (pH7.4) with 1% rAlbumin, 0.02% Proclin300 and 50% Glycerol.
纯化:Affinity purified by Protein A
保存说明:Maintain refrigerated at 2-8°C for up to 2 weeks. For long term storage store at -20°C in small aliquots to prevent freeze-thaw cycles.
UniProt ID:Q96G23
Note:For research use only.



风险提示:丁香通仅作为第三方平台,为商家信息发布提供平台空间。用户咨询产品时请注意保护个人信息及财产安全,合理判断,谨慎选购商品,商家和用户对交易行为负责。对于医疗器械类产品,请先查证核实企业经营资质和医疗器械产品注册证情况。
文献和实验secondary antibody review -- data from 99 publications
cytometry used as a control to detect cell responses targeted antigen 7 Alexa Fluor 488 7 Cy3 8 goat IgG Alexa Fluor 488 1:2000 detect antibody binding in human embryonic kidney 293T cells Invitrogen 9 donkey
Expanding Mouse Ventricular Cardiomyocytes Through GSK‐3 Inhibition
) Connexin‐43 (Cx43, rabbit polyclonal, Sigma, cat. no. C6219, 1 mg/ml, 1:150) Secondary antibodies
of First Hospital of Harbin Medical University. RPMI 1640 was purchased from GIBCO. Propidium iodide and Rnase were from Sigma Chemical Co. A murine monoclonal antibody against human Bcl-2 and Bax oncoprotein and antimi ce rabbit polyclonal antibody were purchased
技术资料暂无技术资料 索取技术资料










