相关产品推荐更多 >
万千商家帮你免费找货
0 人在求购买到急需产品
- 详细信息
- 文献和实验
- 技术资料
- 抗体名:
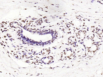
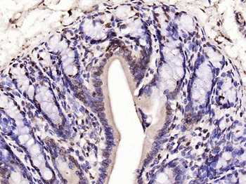
Histone H3 (Di Methyl K9) Rabbit Polyclonal Antibody抗体
- 抗体英文名:
Histone H3 (Di Methyl K9) Rabbit Polyclonal Antibody
- 靶点:
H3C1
- 浓度:
1mg/ml
- 应用范围:
FC, IF, IHC-Fr, IHC-P
- 宿主:
Rabbit
- 适应物种:
Human, Rat
- 保质期:
6-12个月
- 抗原来源:
详询
- 目录编号:
orb6158
- 级别:
科研级
- 库存:
88
- 供应商:
biorbyt
- 标记物:
Unconjugated
- 克隆性:
Polyclonal
- 形态:
Liquid
- 亚型:
IgG
- 免疫原:
KLH conjugated synthesised methylpeptide derived from human Histone H3 around the methylation site of Di Methyl K9 AR(Di Methyl-K)ST
- 规格:
50 ul
别名:Histone H3(Di Methyl Lys9); H3K19me2; Di methyl Histone H3(Lys9); Di methyl Histone H3(K9); H3 histone family member E pseudogene; H3 histone family, member A; H3/A; H31_HUMAN; H3F3; H3FA; Hist1h3a; HIST1H3B; HIST1H3C; HIST1H3D; HIST1H3E; HIST1H3F; HIST1H3G; HIST1H3H; HIST1H3I; HIST1H3J; HIST3H3; histone 1, H3a; Histone cluster 1, H3a; Histone H3 3 pseudogene; Histone H3.1; Histone H3/a; Histone H3/b; Histone H3/c; Histone H3/d; Histone H3/f; Histone H3/h; Histone H3/i; Histone H3/j; Histone H3/k; Histone H3/l; H3.1; H3/d; H3C1; H3C10; H3C11; H3C12; H3C2; H3C3; H3C4; H3C7; H3C8; H3FD;
免疫原:KLH conjugated synthesised methylpeptide derived from human Histone H3 around the methylation site of Di Methyl K9 AR(Di Methyl-K)ST
预测反应性:Bovine, Drosophila, Mouse, Porcine, Rabbit
分子量:15 kDa
应用稀释比例:IHC-P=1:100-500, IHC-F=1:100-500, IF=1:100-500, Flow-Cyt=1μg /Test
防腐剂:0.01M TBS (pH7.4) with 1% rAlbumin, 0.02% Proclin300 and 50% Glycerol.
纯化:Affinity purified by Protein A
保存说明:Maintain refrigerated at 2-8°C for up to 2 weeks. For long term storage store at -20°C in small aliquots to prevent freeze-thaw cycles.
UniProt ID:P68431
Note:For research use only.




风险提示:丁香通仅作为第三方平台,为商家信息发布提供平台空间。用户咨询产品时请注意保护个人信息及财产安全,合理判断,谨慎选购商品,商家和用户对交易行为负责。对于医疗器械类产品,请先查证核实企业经营资质和医疗器械产品注册证情况。
文献和实验Competing Chromosomal Proteins from Drosophila Polytene Chromosomes Using Modified Histone Peptides
to chromatin, by its histone tail interaction or by other interactions, then you would not expect to see loss of binding upon peptide competition. A good positive control for the assay is to use H3K9 dimethylated peptide to compete HP1 from the pericentric
Installation of Site‐Specific Methylation into Histones Using Methyl Lysine Analogs
aminoethylcysteine, an isosteric analog of methyl lysine. Using different alkylating reagents, it is possible to install analogs of mono?, di?, or trimethyl lysine. While these analogs are not identical to methyl lysine residues, they show similar biochemical
浅析染色质免疫沉淀(ChIP)技术在 DNA 与蛋白质相互作用研究中的重要性
。结果显示 GSTP1 基因在处理组和非处理组之间有显著差异,这表明 Se 处理的癌细胞 GSTP1 启动子相关的 H3-K9 乙酰化水平提高、 H3-K3 甲基化水平降低,预示 Se 可能具有调节染色质表观结构的功能。 正因为 ChIP 技术对于表观遗传学及信号转导研究是如此之重要,默克密理博特别为该领域的科学家们专门开发了的 ChIP 解决方案,其中完备的 ChIP 试剂盒免去提前准备各种试剂(包括鲑鱼精子 DNA 包被的琼脂糖珠子、Protein A/G 等)的麻烦,专用的 ChIP 抗体
技术资料暂无技术资料 索取技术资料











