相关产品推荐更多 >
万千商家帮你免费找货
0 人在求购买到急需产品
- 详细信息
- 文献和实验
- 技术资料
- 抗体名:
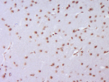
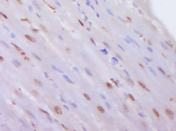
Histone H3 (Di Methyl K4) Rabbit Polyclonal Antibody抗体
- 抗体英文名:
Histone H3 (Di Methyl K4) Rabbit Polyclonal Antibody
- 靶点:
H3C1
- 浓度:
1mg/ml
- 应用范围:
FC, IF, IHC-Fr, IHC-P, WB
- 宿主:
Rabbit
- 适应物种:
Human, Mouse, Rat
- 保质期:
6-12个月
- 抗原来源:
详询
- 目录编号:
orb6156
- 级别:
科研级
- 库存:
88
- 供应商:
biorbyt
- 标记物:
Unconjugated
- 克隆性:
Polyclonal
- 形态:
Liquid
- 亚型:
IgG
- 免疫原:
KLH conjugated synthesised methylpeptide derived from human Histone H3 around the methylation site of Di Methyl K4 RT(Di Methyl-K)QT
- 规格:
50 ul
别名:Histone H3(Di Methyl Lys4); H3K4me2; Di methyl Histone H3(Lys4); Di methyl Histone H3(K4); H3 histone family member E pseudogene; H3 histone family, member A; H3/A; H31_HUMAN; H3F3; H3FA; Hist1h3a; HIST1H3B; HIST1H3C; HIST1H3D; HIST1H3E; HIST1H3F; HIST1H3G; HIST1H3H; HIST1H3I; HIST1H3J; HIST3H3; histone 1, H3a; Histone cluster 1, H3a; Histone H3 3 pseudogene; Histone H3.1; Histone H3/a; Histone H3/b; Histone H3/c; Histone H3/d; Histone H3/f; Histone H3/h; Histone H3/i; Histone H3/j; Histone H3/k; Histone H3/l; H3.1; H3/d; H3C1; H3C10; H3C11; H3C12; H3C2; H3C3; H3C4; H3C7; H3C8; H3FD;
免疫原:KLH conjugated synthesised methylpeptide derived from human Histone H3 around the methylation site of Di Methyl K4 RT(Di Methyl-K)QT
预测反应性:Bovine, Drosophila, Porcine, Rabbit
分子量:15 kDa
应用稀释比例:WB=1:500-2000, IHC-P=1:100-500, IHC-F=1:100-500, IF=1:100-500, Flow-Cyt=0.2μg /Test
防腐剂:0.01M TBS (pH7.4) with 1% rAlbumin, 0.02% Proclin300 and 50% Glycerol.
纯化:Affinity purified by Protein A
保存说明:Maintain refrigerated at 2-8°C for up to 2 weeks. For long term storage store at -20°C in small aliquots to prevent freeze-thaw cycles.
UniProt ID:P68431
Note:For research use only.





风险提示:丁香通仅作为第三方平台,为商家信息发布提供平台空间。用户咨询产品时请注意保护个人信息及财产安全,合理判断,谨慎选购商品,商家和用户对交易行为负责。对于医疗器械类产品,请先查证核实企业经营资质和医疗器械产品注册证情况。
文献和实验Affi nity Purifi cation of MLL3/MLL4 Histone H3K4 Methyltransferase Complex
Methylation on histone H3 lysine 4 (H3K4) correlates with actively transcribed genes. In mammalian cells, there exist multiple Set1-like histone H3K4 methyltransferase complexes, which have overlapping but distinct subunit compositions
Identifying Differential Histone Modification Sites from ChIPseq Data
a hidden Markov model (HMM) to infer the states of histone modification changes at each genomic location. We evaluated the performance of ChIPDiff by comparing the H3K27me3 modification sites between mouse embryonic stem cell (ESC) and neural progenitor
Evaluation of Histone-Modifying Enzymes in Stem Cell Populations
The histone demethylases are a relatively novel family of histone-modifying enzymes. Their gene expression suggests that each of the subfamily members may have a discrete role in cell function. The KDM5 family of H3K4 histone demethylases
技术资料暂无技术资料 索取技术资料











