相关产品推荐更多 >
万千商家帮你免费找货
0 人在求购买到急需产品
- 详细信息
- 技术资料
- 抗体名:
Phospho-Doublecortin (Ser47) Rabbit Polyclonal Antibody抗体
- 抗体英文名:
Phospho-Doublecortin (Ser47) Rabbit Polyclonal Antibody
- 靶点:
DCX
- 浓度:
1mg/ml
- 应用范围:
FC, ICC, IF, IHC-Fr, IHC-P, WB
- 宿主:
Rabbit
- 适应物种:
Human, Mouse, Rat
- 保质期:
6-12个月
- 抗原来源:
详询
- 目录编号:
orb5964
- 级别:
科研级
- 库存:
88
- 供应商:
biorbyt
- 标记物:
Unconjugated
- 克隆性:
Polyclonal
- 形态:
Liquid
- 亚型:
IgG
- 免疫原:
KLH conjugated Synthesised phosphopeptide derived from human Doublecortin around the phosphorylation site of Ser47 AL(p-S)NE
- 规格:
50 ul
产品描述:Phospho-Doublecortin (Ser47) Rabbit Polyclonal Antibody
别名:Doublecortin(phospho S47); p-Doublecortin(phospho S47); DBCN; DBCN; Dbct; Dbct; DC; DC; DCX; DCX; DCX_HUMAN; Doublecortex; Doublecortex; Doublin; FLJ51296; Lis X; Lis X; Lis-X; Lissencephalin X; Lissencephalin X; Lissencephalin-X; Lissencephaly X linked; Lissencephaly X linked; Lissencephaly X linked doublecortin; Lissencephaly X linked doublecortin; LISX; LISX; Neuronal migration protein doublecortin; OTTHUMP00000023859; OTTHUMP00000023860; OTTHUMP00000216315; OTTHUMP00000216316; SCLH; SCLH; XLIS; XLIS.
免疫原:KLH conjugated Synthesised phosphopeptide derived from human Doublecortin around the phosphorylation site of Ser47 AL(p-S)NE
预测反应性:Bovine, Canine, Equine, Gallus
分子量:40 kDa
应用稀释比例:WB=1:500-2000, IHC-P=1:100-500, IHC-F=1:100-500, ICC/IF=1:100-500, IF=1:100-500, Flow-Cyt=1μg/Test
防腐剂:0.01M TBS (pH7.4) with 1% rAlbumin, 0.02% Proclin300 and 50% Glycerol.
纯化:Affinity purified by Protein A
保存说明:Maintain refrigerated at 2-8°C for up to 2 weeks. For long term storage store at -20°C in small aliquots to prevent freeze-thaw cycles.
UniProt ID:O43602
Note:For research use only.




别名:Doublecortin(phospho S47); p-Doublecortin(phospho S47); DBCN; DBCN; Dbct; Dbct; DC; DC; DCX; DCX; DCX_HUMAN; Doublecortex; Doublecortex; Doublin; FLJ51296; Lis X; Lis X; Lis-X; Lissencephalin X; Lissencephalin X; Lissencephalin-X; Lissencephaly X linked; Lissencephaly X linked; Lissencephaly X linked doublecortin; Lissencephaly X linked doublecortin; LISX; LISX; Neuronal migration protein doublecortin; OTTHUMP00000023859; OTTHUMP00000023860; OTTHUMP00000216315; OTTHUMP00000216316; SCLH; SCLH; XLIS; XLIS.
免疫原:KLH conjugated Synthesised phosphopeptide derived from human Doublecortin around the phosphorylation site of Ser47 AL(p-S)NE
预测反应性:Bovine, Canine, Equine, Gallus
分子量:40 kDa
应用稀释比例:WB=1:500-2000, IHC-P=1:100-500, IHC-F=1:100-500, ICC/IF=1:100-500, IF=1:100-500, Flow-Cyt=1μg/Test
防腐剂:0.01M TBS (pH7.4) with 1% rAlbumin, 0.02% Proclin300 and 50% Glycerol.
纯化:Affinity purified by Protein A
保存说明:Maintain refrigerated at 2-8°C for up to 2 weeks. For long term storage store at -20°C in small aliquots to prevent freeze-thaw cycles.
UniProt ID:O43602
Note:For research use only.

Blank control (black line): HepG2 (black) (The cells were fixed with 2% Fixative (10 min), then permeabilized with PBST for 30 min on room temperature), Primary Antibody (green line): Rabbit Anti-Phospho-Doublecortin (Ser128) (orb5964), dilution: 1 µg/10^6 cells, Isotype Control Antibody (orange line): Rabbit IgG. Secondary Antibody (white blue line): Goat anti-rabbit IgG-FITC, dilution: 1 µg/Test.

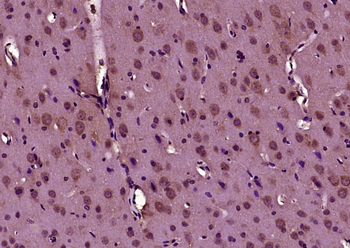
Fixative-fixed, paraffin embedded (Rat brain), Antigen retrieval by boiling in sodium citrate buffer (pH6.0) for 15 min, Block endogenous peroxidase by 3% hydrogen peroxide for 20 minutes, Blocking buffer (normal goat serum) at 37°C for 30 min, Antibody incubation with (Phospho-Doublecortin (Ser128)) Polyclonal Antibody, Unconjugated (orb5964) at 1:400 overnight at 4°C, followed by operating according to SP Kit (Rabbit) instructionsand DAB staining.

Sample: Lane 1: Cerebrum (Mouse) Lysate at 40 ug, Lane 2: Cerebrum (Rat) Lysate at 40 ug, Primary: Anti-Phospho-Doublecortin (Ser47) (orb5964) at 1/1000 dilution, Secondary: IRDye800CW Goat Anti-Rabbit IgG at 1/20000 dilution, Predicted band size: 45 kD, Observed band size: 45 kD.

SHSY5Y cell, 4% Fixative-fixed, Triton X-100 at room temperature for 20 min, Blocking buffer (normal goat serum) at 37°C for 20 min, Antibody incubation with (Phospho-Doublecortin (Ser128)) polyclonal Antibody, Unconjugated (orb5964) 1:100, 90 minutes at 37°C, followed by a conjugated Goat Anti-Rabbit IgG antibody at 37°C for 90 minutes, DAPI (blue) was used to stain the cell nuclei.
风险提示:丁香通仅作为第三方平台,为商家信息发布提供平台空间。用户咨询产品时请注意保护个人信息及财产安全,合理判断,谨慎选购商品,商家和用户对交易行为负责。对于医疗器械类产品,请先查证核实企业经营资质和医疗器械产品注册证情况。
技术资料暂无技术资料 索取技术资料
Phospho-Doublecortin (Ser47) Rabbit Polyclonal Antibody抗体,orb5964,biorbyt
¥3120










