相关产品推荐更多 >

(Mouse) Dlk1 Antibody (C-term) 抗体,orb1926911,Biorbyt
¥7293
FGF-23 Antibody / Fibroblast Growth Factor 23 抗体,orb1825782,Biorbyt
¥5265
CLRN3 Antibody - middle region : Biotin 抗体,orb2086732,Biorbyt
¥8216
Cytochrome P450 21A2 Antibody抗体,orb256486,biorbyt
¥1560
Phospho-Insulin Receptor (Tyr999) Antibody (BF555) 抗体,orb1589889,Biorbyt
¥4796
万千商家帮你免费找货
0 人在求购买到急需产品
- 详细信息
- 技术资料
- 抗体名:
AKR1D1 Rabbit Polyclonal Antibody抗体
- 抗体英文名:
AKR1D1 Rabbit Polyclonal Antibody
- 靶点:
AKR1D1
- 浓度:
1mg/ml
- 应用范围:
IF, IHC-Fr, IHC-P
- 宿主:
Rabbit
- 适应物种:
Rat
- 保质期:
6-12个月
- 抗原来源:
详询
- 目录编号:
orb5719
- 级别:
科研级
- 库存:
88
- 供应商:
biorbyt
- 标记物:
Unconjugated
- 克隆性:
Polyclonal
- 保存条件:
参考产品说明书
- 形态:
Liquid
- 亚型:
IgG
- 免疫原:
KLH conjugated synthetic peptide derived from human AKR1D1 (101-200/326aa)
- 规格:
50 ul
产品描述:AKR1D1 Rabbit Polyclonal Antibody
别名:3-oxo-5-beta-steroid 4-dehydrogenase; 3o5bred; AK1D1_HUMAN; AKR1D1; aldo keto reductase family 1 member D1(delta 4 3 ketosteroid 5 beta reductase); Aldo keto reductase family 1 member D1; Aldo-keto reductase family 1 member D1; CBAS2; delta(4) 3 ketosteroid 5 beta reductase; delta(4) 3 oxosteroid 5 beta reductase; delta(4)-3-ketosteroid 5-beta-reductase; delta(4)-3-oxosteroid 5-beta-reductase; SRD5B1; steroid 5 beta reductase beta polypeptide 1(3 oxo 5 beta steroid delta 4 dehydrogenase beta 1); steroid 5 beta reductase.
免疫原:KLH conjugated synthetic peptide derived from human AKR1D1 (101-200/326aa)
预测反应性:Bovine, Canine, Equine, Human, Mouse, Rabbit
分子量:37 kDa
应用稀释比例:IHC-P=1:100-500, IHC-F=1:100-500, IF=1:100-500
防腐剂:0.01M TBS (pH7.4) with 1% rAlbumin, 0.02% Proclin300 and 50% Glycerol.
纯化:Affinity purified by Protein A
保存说明:Maintain refrigerated at 2-8°C for up to 2 weeks. For long term storage store at -20°C in small aliquots to prevent freeze-thaw cycles.
UniProt ID:P51857
Note:For research use only.


别名:3-oxo-5-beta-steroid 4-dehydrogenase; 3o5bred; AK1D1_HUMAN; AKR1D1; aldo keto reductase family 1 member D1(delta 4 3 ketosteroid 5 beta reductase); Aldo keto reductase family 1 member D1; Aldo-keto reductase family 1 member D1; CBAS2; delta(4) 3 ketosteroid 5 beta reductase; delta(4) 3 oxosteroid 5 beta reductase; delta(4)-3-ketosteroid 5-beta-reductase; delta(4)-3-oxosteroid 5-beta-reductase; SRD5B1; steroid 5 beta reductase beta polypeptide 1(3 oxo 5 beta steroid delta 4 dehydrogenase beta 1); steroid 5 beta reductase.
免疫原:KLH conjugated synthetic peptide derived from human AKR1D1 (101-200/326aa)
预测反应性:Bovine, Canine, Equine, Human, Mouse, Rabbit
分子量:37 kDa
应用稀释比例:IHC-P=1:100-500, IHC-F=1:100-500, IF=1:100-500
防腐剂:0.01M TBS (pH7.4) with 1% rAlbumin, 0.02% Proclin300 and 50% Glycerol.
纯化:Affinity purified by Protein A
保存说明:Maintain refrigerated at 2-8°C for up to 2 weeks. For long term storage store at -20°C in small aliquots to prevent freeze-thaw cycles.
UniProt ID:P51857
Note:For research use only.

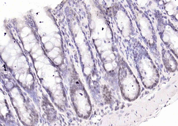
paraffin embedded (rat colon), Antigen retrieval by boiling in sodium citrate buffer (pH6.0) for 15 min, Block endogenous peroxidase by 3% hydrogen peroxide for 20 minutes, Blocking buffer (normal goat serum) at 37°C for 30 min, Antibody incubation with (AKR1D1) Polyclonal Antibody, Unconjugated (orb5719) at 1:200 overnight at 4°C, followed by operating according to SP Kit (Rabbit) instructionsand DAB staining.

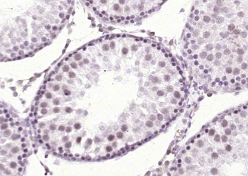
Fixative-fixed, paraffin embedded (rat testis), Antigen retrieval by boiling in sodium citrate buffer (pH6.0) for 15 min, Block endogenous peroxidase by 3% hydrogen peroxide for 20 minutes, Blocking buffer (normal goat serum) at 37°C for 30 min, Antibody incubation with (AKR1D1) Polyclonal Antibody, Unconjugated (orb5719) at 1:200 overnight at 4°C, followed by operating according to SP Kit (Rabbit) instructionsand DAB staining.
风险提示:丁香通仅作为第三方平台,为商家信息发布提供平台空间。用户咨询产品时请注意保护个人信息及财产安全,合理判断,谨慎选购商品,商家和用户对交易行为负责。对于医疗器械类产品,请先查证核实企业经营资质和医疗器械产品注册证情况。
技术资料暂无技术资料 索取技术资料
AKR1D1 Rabbit Polyclonal Antibody抗体,orb5719,biorbyt
¥3120





