相关产品推荐更多 >
万千商家帮你免费找货
0 人在求购买到急需产品
- 详细信息
- 技术资料
- 抗体名:
CD97 Rabbit Polyclonal Antibody抗体
- 抗体英文名:
CD97 Rabbit Polyclonal Antibody
- 靶点:
ADGRE5
- 浓度:
1mg/ml
- 应用范围:
FC, IF, IHC-Fr, IHC-P
- 宿主:
Rabbit
- 适应物种:
Human
- 保质期:
6-12个月
- 抗原来源:
详询
- 目录编号:
orb13718
- 级别:
科研级
- 库存:
88
- 供应商:
biorbyt
- 标记物:
Unconjugated
- 克隆性:
Polyclonal
- 保存条件:
参考产品说明书
- 形态:
Liquid
- 亚型:
IgG
- 免疫原:
KLH conjugated synthetic peptide derived from human CD97 antigen subunit beta (741-835/835aa)
- 规格:
50 ul
产品描述:CD97 Rabbit Polyclonal Antibody
别名:CD97 antigen subunit beta; Leukocyte antigen CD97; CD 97; CD97; CD97 antigen; CD97 molecule; CD97_HUMAN; Leukocyte antigen CD97; Seven span transmembrane protein; Seven transmembrane helix receptor; Seven transmembrane heterodimeric receptor associated with inflammation; TM7LN 1; TM7LN1.
免疫原:KLH conjugated synthetic peptide derived from human CD97 antigen subunit beta (741-835/835aa)
预测反应性:Bovine, Canine, Mouse, Porcine, Rat
分子量:34/92 kDa
应用稀释比例:IHC-P=1:100-500, IHC-F=1:100-500, IF=1:100-500, Flow-Cyt=1μg/Test
防腐剂:0.01M TBS (pH7.4) with 1% rAlbumin, 0.02% Proclin300 and 50% Glycerol.
纯化:Affinity purified by Protein A
保存说明:Maintain refrigerated at 2-8°C for up to 2 weeks. For long term storage store at -20°C in small aliquots to prevent freeze-thaw cycles.
UniProt ID:P48960
Note:For research use only.


别名:CD97 antigen subunit beta; Leukocyte antigen CD97; CD 97; CD97; CD97 antigen; CD97 molecule; CD97_HUMAN; Leukocyte antigen CD97; Seven span transmembrane protein; Seven transmembrane helix receptor; Seven transmembrane heterodimeric receptor associated with inflammation; TM7LN 1; TM7LN1.
免疫原:KLH conjugated synthetic peptide derived from human CD97 antigen subunit beta (741-835/835aa)
预测反应性:Bovine, Canine, Mouse, Porcine, Rat
分子量:34/92 kDa
应用稀释比例:IHC-P=1:100-500, IHC-F=1:100-500, IF=1:100-500, Flow-Cyt=1μg/Test
防腐剂:0.01M TBS (pH7.4) with 1% rAlbumin, 0.02% Proclin300 and 50% Glycerol.
纯化:Affinity purified by Protein A
保存说明:Maintain refrigerated at 2-8°C for up to 2 weeks. For long term storage store at -20°C in small aliquots to prevent freeze-thaw cycles.
UniProt ID:P48960
Note:For research use only.

Blank control (blue): U937 (fixed with 2% Fixative (10 min)). Primary Antibody: Rabbit Anti-CD97 antibody (orb13718), Dilution: 1 µg in 100 µl 1X PBS containing 0.5% BSA, Isotype Control Antibody: Rabbit IgG (orange), used under the same conditions, Secondary Antibody: Goat anti-rabbit IgG-PE (white blue), Dilution: 1:200 in 1X PBS containing 0.5% BSA.

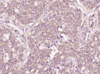
Fixative-fixed, paraffin embedded (human colon carcinoma), Antigen retrieval by boiling in sodium citrate buffer (pH6.0) for 15 min, Block endogenous peroxidase by 3% hydrogen peroxide for 20 minutes, Blocking buffer (normal goat serum) at 37°C for 30 min, Antibody incubation with (CD97) Polyclonal Antibody, Unconjugated (orb13718) at 1:400 overnight at 4°C, followed by operating according to SP Kit (Rabbit) instructionsand DAB staining.
风险提示:丁香通仅作为第三方平台,为商家信息发布提供平台空间。用户咨询产品时请注意保护个人信息及财产安全,合理判断,谨慎选购商品,商家和用户对交易行为负责。对于医疗器械类产品,请先查证核实企业经营资质和医疗器械产品注册证情况。
技术资料暂无技术资料 索取技术资料
CD97 Rabbit Polyclonal Antibody抗体,orb13718,biorbyt
¥3120










