相关产品推荐更多 >
万千商家帮你免费找货
0 人在求购买到急需产品
- 详细信息
- 技术资料
- 抗体名:
GLUR2 Rabbit Polyclonal Antibody抗体
- 抗体英文名:
GLUR2 Rabbit Polyclonal Antibody
- 靶点:
GRIA2
- 浓度:
1mg/ml
- 应用范围:
FC, IF, IHC-Fr, IHC-P, WB
- 宿主:
Rabbit
- 适应物种:
Human, Mouse, Rat
- 保质期:
6-12个月
- 抗原来源:
详询
- 目录编号:
orb13619
- 级别:
科研级
- 库存:
88
- 供应商:
biorbyt
- 标记物:
Unconjugated
- 克隆性:
Polyclonal
- 保存条件:
参考产品说明书
- 形态:
Liquid
- 亚型:
IgG
- 免疫原:
KLH conjugated synthetic peptide derived from human GluR2 (151-250/883aa)
- 规格:
50 ul
产品描述:GLUR2 Rabbit Polyclonal Antibody
别名:Ionotropic Glutamate receptor 2; Gria2; Glur-2; GluR-B; Glur2; GluR-2; GluR-K2; Glutamate receptor 2; Glutamate receptor ionotropic, AMPA 2; glutamate receptor, ionotropic, N-methyl D-aspartate 1; NMDA receptor subunit; AMPA-selective glutamate receptor 2; AMPA 2; AMPA 2; AMPA selective glutamate receptor 2; AMPA-selective glutamate receptor 2; AMPA2; GluA2; GLUR 2; GluR B; GluR K2; GluR-2; GluR-B; GluR-K2; GLUR2; GLURB; Glutamate receptor 2; Glutamate receptor ionotropic AMPA 2; Glutamate receptor ionotropic; Gria2; GRIA2_HUMAN; HBGR2.
免疫原:KLH conjugated synthetic peptide derived from human GluR2 (151-250/883aa)
预测反应性:Canine, Porcine
分子量:97 kDa
应用稀释比例:WB=1:500-2000, IHC-P=1:100-500, IHC-F=1:100-500, IF=1:100-500, Flow-Cyt=1μg /test
防腐剂:0.01M TBS (pH7.4) with 1% rAlbumin, 0.02% Proclin300 and 50% Glycerol.
纯化:Affinity purified by Protein A
保存说明:Maintain refrigerated at 2-8°C for up to 2 weeks. For long term storage store at -20°C in small aliquots to prevent freeze-thaw cycles.
UniProt ID:P42262
Note:For research use only.







别名:Ionotropic Glutamate receptor 2; Gria2; Glur-2; GluR-B; Glur2; GluR-2; GluR-K2; Glutamate receptor 2; Glutamate receptor ionotropic, AMPA 2; glutamate receptor, ionotropic, N-methyl D-aspartate 1; NMDA receptor subunit; AMPA-selective glutamate receptor 2; AMPA 2; AMPA 2; AMPA selective glutamate receptor 2; AMPA-selective glutamate receptor 2; AMPA2; GluA2; GLUR 2; GluR B; GluR K2; GluR-2; GluR-B; GluR-K2; GLUR2; GLURB; Glutamate receptor 2; Glutamate receptor ionotropic AMPA 2; Glutamate receptor ionotropic; Gria2; GRIA2_HUMAN; HBGR2.
免疫原:KLH conjugated synthetic peptide derived from human GluR2 (151-250/883aa)
预测反应性:Canine, Porcine
分子量:97 kDa
应用稀释比例:WB=1:500-2000, IHC-P=1:100-500, IHC-F=1:100-500, IF=1:100-500, Flow-Cyt=1μg /test
防腐剂:0.01M TBS (pH7.4) with 1% rAlbumin, 0.02% Proclin300 and 50% Glycerol.
纯化:Affinity purified by Protein A
保存说明:Maintain refrigerated at 2-8°C for up to 2 weeks. For long term storage store at -20°C in small aliquots to prevent freeze-thaw cycles.
UniProt ID:P42262
Note:For research use only.

Blank control: RSC96 (blue), Isotype Control Antibody: Rabbit IgG (orange), Secondary Antibody: Goat anti-rabbit IgG-AF647 (white blue), Dilution: 1:100 in 1X PBS containing 0.5% BSA, Primary Antibody Dilution: 1 ugl in 100 uL 1X PBS containing 0.5% BSA (green).

Blank control: RSC96 (blue), Isotype Control Antibody: Rabbit IgG-AF647 (orange), Primary Antibody Dilution: 5 uL in 100 uL 1X PBS containing 0.5% BSA (green).

Blank control: RSC96 (blue), Isotype Control Antibody: Rabbit IgG-AF647 (orange), Primary Antibody Dilution: 5 uL in 100 uL 1X PBS containing 0.5% BSA (green).

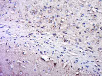
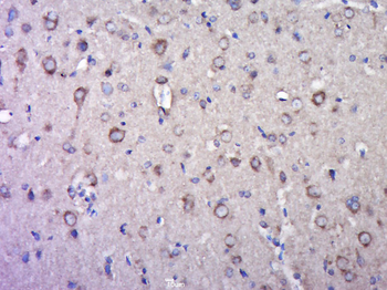
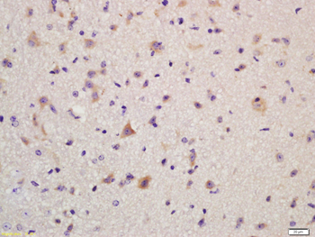
Fixative-fixed, paraffin embedded (Mouse brain), Antigen retrieval by boiling in sodium citrate buffer (pH6.0) for 15 min, Block endogenous peroxidase by 3% hydrogen peroxide for 20 minutes, Blocking buffer (normal goat serum) at 37°C for 30 min, Antibody incubation with (GLUR2) Polyclonal Antibody, Unconjugated (orb13619) at 1:500 overnight at 4°C, followed by a conjugated secondary for 20 minutes and DAB staining.

Fixative-fixed, paraffin embedded (Rat brain), Antigen retrieval by boiling in sodium citrate buffer (pH6.0) for 15 min, Block endogenous peroxidase by 3% hydrogen peroxide for 20 minutes, Blocking buffer (normal goat serum) at 37°C for 30 min, Antibody incubation with (GLUR2) Polyclonal Antibody, Unconjugated (orb13619) at 1:500 overnight at 4°C, followed by a conjugated secondary for 20 minutes and DAB staining.

Sample: HepG2 Cell Lysate at 30 ug, Primary: Anti-GluR2 (orb13619) at 1/300 dilution, Secondary: IRDye800CW Goat Anti-Rabbit IgG at 1/20000 dilution, Predicted band size: 97 kD, Observed band size: 117 kD.

Tissue/Cell: mouse brain tissue, 4% Fixative-fixed and paraffin-embedded, Antigen retrieval: citrate buffer (0.01M, pH 6.0), Boiling bathing for 15 min, Block endogenous peroxidase by 3% Hydrogen peroxide for 30 min, Blocking buffer (normal goat serum) at 37°C for 20 min, Incubation: Anti-GLUR2 Polyclonal Antibody, Unconjugated (orb13619) 1:200, overnight at 4°C, followed by conjugation to the secondary antibody and DAB staining.
风险提示:丁香通仅作为第三方平台,为商家信息发布提供平台空间。用户咨询产品时请注意保护个人信息及财产安全,合理判断,谨慎选购商品,商家和用户对交易行为负责。对于医疗器械类产品,请先查证核实企业经营资质和医疗器械产品注册证情况。
技术资料暂无技术资料 索取技术资料
GLUR2 Rabbit Polyclonal Antibody抗体,orb13619,biorbyt
¥3120










